En este Post os voy a contar una situación real, de las que vivimos a diario, pero que explica perfectamente lo importante de las preparaciones de los pacientes, cuestión que en el día a día, sufrimos, quienes nos dedicamos a esto de la ecografía. Por motivos que no entenderé muy bien, la mayoría de las veces los pacientes, por un motivo u otro casi nunca viene bien preparados, sobre todo, si el estudio es reno-vesical.
Bien, el paciente de hoy es un paciente tipo, hombre, de mediana edad, fumador. Acude por molestias abdominales relacionadas con la digestión, no refiere sintomatología de origen urológico. El volante no indicaba su condición de fumador, hablando con el paciente me confirma que lo es, me gusta preguntar, sobre todo en estas edades, si lo son. Respondió afirmativamente, fue al principio de la prueba. Después la prueba siguió el transcurso habitual hasta el final.
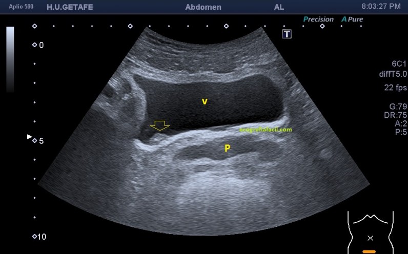
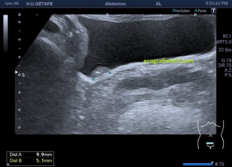
Al final del estudio llegué a la imagen de una vejiga sin repleción que me servía para realizar medida de la próstata, pero cuando estaba revisando el órgano en cuestión me dió mala espina una casi inapreciable alteración de la pared de la vejiga, podía ser perfectamente un defecto de la pared al no estar la vejiga replecionada, pero le pedí rellenar la vejiga, y cuando el paciente me avisó que tenía ganas de orinar, le volví a pasar y encontré lo que os comento a continuación.

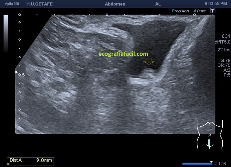
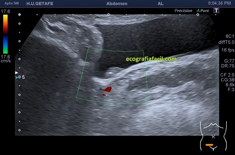
La imagen 2,3,4 y 5 demuestran una lesión de pared vesical, ovalada, hiperecogénica, muy pequeña, con un calcio en su interior (flecha amarilla), pequeña para poder demostrar vascularización, sospecha en el informe de tumor maligno de vejiga, el paciente entra en circuito de neoplasia precoz. A las pocas semanas fue operado, no hizo falta quitarle la vejiga. La detección fue en este caso, vital.
En este tipo de lesiones, si conseguimos demostrar vascularización, es diagnóstico confirmado de Urotelioma.
Observa como cambia todo entre la imagen 1 y 2, marcando la flecha amarilla el mismo lugar y la variación sustancial de como se ve una lesión en una vejiga distendida y en otra que no lo está, ojo que estas situaciones son cotidianas y el paciente puede ser asintomático.




El resumen, hay que estudiar la vejiga en el protocolo de abdomen y ésta debe estar debidamente preparada, y que si no lo estuviera debemos replecionarla ya que es un hecho, y este caso de hoy lo demuestra, si no vemos la vejiga, debemos replecionarla para valorarla correctamente. Para rellenar vejiga debemos pedirle al paciente que ingiera líquido en cantidad abundante y nos debe avisar cuando tenga sensación de orinar.
Happy day, Vegan.