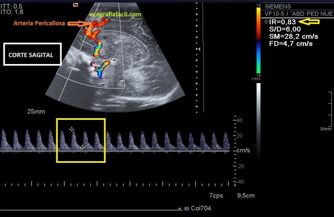
En el estudio con el Doppler del cerebro neonatal y lactante perseguimos la consecución de un valor que nos dará el IR o Índice de Resistencia. En este enlace os dejo un trabajo de la Universidad de Zaragoza donde vais a comprender perfectamente los pormenores de la importancia de este IR, valor que calcularemos mediante el Doppler Pulsado de dos arterias, la Arteria Pericallosa (Corte Sagital) y algunas de las Arterias Cerebrales, te recomiendo estudiarla en corte Coronal. Ambos cortes se realizan a través de la fontanela anterior.
Este registro dará un valor, que según la edad de la/el paciente tendrá unos valores de normalidad en unas tablas. Si este valor está alterado puede deberse a varios motivos de índole patológico, por ejemplo:
–HEMORRAGIA INTRAVENTRICULAR, Valor IR Aumentado.
–HIDROCEFALIA, Valor IR Aumentado.
–ASFIXIA, Valor IR Disminuido.
–DUCTUS: Valor IR alterado por:
- La persistencia, después de nacer, de la comunicación que normalmente existe entre el sistema arterial pulmonar y la aorta durante la vida fetal
In the study with the Doppler of the neonatal and infant brain we pursue the achievement of a value that will give us the IR or Resistance Index. In this link I leave a summary of the University of Zaragoza where you will understand perfectly the details of the importance of this IR, a value that we calculate using the Doppler Pulsed of two arteries, the Pericallosa Artery (Sagittal Cut) and some of the cerebral arteries , I recommend studying it in Corte Coronal. Both cuts are made through the anterior fontanelle.
This record will give a value, which according to the age of the patient will have normal values in some tables. If this value is altered it can be due to several reasons of pathological nature, for example:
-INTRAVENTRICULAR HEMORRHAGE, Increased IR Value.
-HIDROCEPHALY, Increased IR Value.
-ASIXIX, IR Value Decreased.
-DUCTUS: IR value altered by:
The persistence, after birth, of the communication that normally exists between the pulmonary arterial system and the aorta during fetal life
Mira las imágenes:


Observa la flecha amarilla de las imágenes, en un valor conseguido por la medida en el espectro arterial de cada arteria.
Observe the yellow arrow of the images, in a value obtained by the measurement in the arterial spectrum of each artery.
Mi cuerpo es mi diario y mis tatuajes son mi historia…