219. Mastopatía diabética.

Una de las semiología no compatibles con la normalidad que de modo habitual vemos en la sala de ecografía de mama a la hora de ejecutar un protocolo de mama es la mastopatía. De modo general, en la mastopatía podemos ver cambios en la ecoarquitectura normal de la mama. Estos cambios son variados y caen a un pequeño «cajón desastre» que es la mencionada Mastopatía.

El caso que te traigo hoy me llamó mucho la atención por que nunca había tenido uno delante y quería explicarlo y detallarlo con imagen para que si veis este tipo de cambios y los correlacionais con la historia de la paciente, lo tengáis en cuenta. Como digo, este caso cumplía todos los criterios de una Mastopatía diabética:

  1. Mujer entre 30 y 50 años.
  2. Diabética de larga evolución.
  3. Mamas de predominio fibroso con contornos pseudonodulares mal definidos.

El estudio ecográfico mostró:

  1. Mamas de predominio fibroso.
  2. Acúmulos de tejido asímétricos de tejido fibroso de aspecto altamente denso e hipoecogénico de contorno mal definido en ambas mamas con ausencia de doppler color.

La radióloga recomendó estudio histopatológico mediante BAG a la que la paciente fue sometida confirmando benignidad y por tanto cambios en relación con la Mastopatía Diabética.

Esta patología es recidivante, en los posteriores controles a la que la paciente fue sometida se hallaron cambios con respecto a estudios anteriores en el mismo sentido de esta patología asociada a la diabetes, cambios que precisan estudio histológico en cada una de las ocasiones que la paciente acudió a revisión.

Dentro de los patrones ecográficos mamarios que afecta a la ecoarquitectura normal de la mama hay algunos cuya semiología es sospechosa de cáncer de mama para las radiólogas, estos son:

-Sombra posterior

-Aspecto hipoecogénico

-Espiculados

-Bordes irregulares

-Grueso halo ecogénico

Microlobulación

-Más alto que ancho

-Calcios

-Vascularización

Bien, dentro de estas características de alta sospecha hay patología que engloban muchos de estos patrones, por ejemplo, la Necrosis Grasa y otro es la Mastopatía diabética. Por eso cuando una paciente es diagnosticada de esta patología se le realiza toda la batería de estudios, incluyendo RMN con contraste intravenoso aunque la última palabra la tiene Anatomía Patológica.

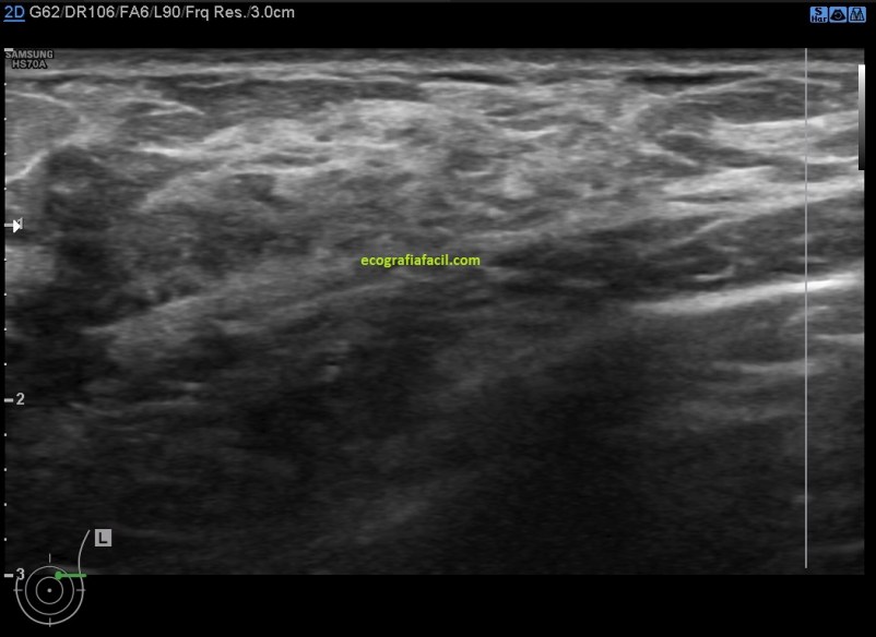
Imágenes:

1. Normalidad
2. Mastopatía
3. Mastopatía Diabética
4. Mastopatía Diabética
5. Mastopatía Diabética
6. Mastopatía Diabética. Doppler Color.

En la imagen 1 tienes la normalidad, con anatomía, que te sirva para tener una base para que puedas valorar lo que ves en las imágenes siguientes. En la imagen 2 tiene una mama de una mujer joven, con el tejido fibroso ocupando gran parte de la mama, pudiera ser una mastopatía.

De la imagen 3 a la 6 tienes el aspecto semiolólogico normal de una mama diagnosticada de Mastopatía Diabética.

Este tipo de pacientes, cuando vienen a revisión que suele ser cada 6 meses se les hace batería completa, incluyendo intervencionismo. Las radiólogas siempre nos dicen que tengamos especial cuidado con estas mamas, un cáncer de mama puede pasar absolutamente desapercibido, por eso el cuidado en el manejo de estas pacientes es considerado de altísimo riesgo aunque su patología sea una patología benigna.


150. Índice.


No siempre es impaciencia. A veces, es el miedo a perder eso que es especial.

Deja un comentario