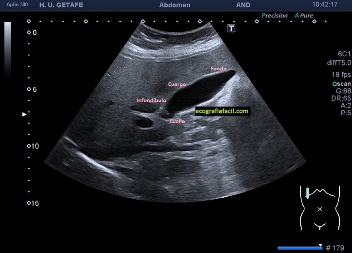
Una de las regiones más estudiadas en la ecografía abdominal es la vesícula. En ella se concentra patología importante. Como te he contado siempre, lo importante es reconocer la semiología normal de la ecoestructura para poder saber si los cambios en la ecoarquitectura de la zona a estudio podrían ser considerandos como patológicos.
Lo primero, conocer la anatomía, no siempre se ve así de bonita…y el cuello es esencial buscarlo siempre, puede haber piedras impactadas ahí, en ocasiones de pequeño tamaño, lo que hace que tengamos que ser concienzudas.

En esta serie de microposts que inicié ayer, vamos a ver la diferencia entre una vesícula normal (1), con barro (2 y 3) y con colelitiasis (4). Mira…

En esta primera imagen observas la normalidad de la vesícula biliar, donde puedes ver una ecoarquitectura sacular, anecoica, de paredes finas, con una excelente capacidad de transmitir el sonido. Las ayunas hacen que la vesícula se vea repleccionada.

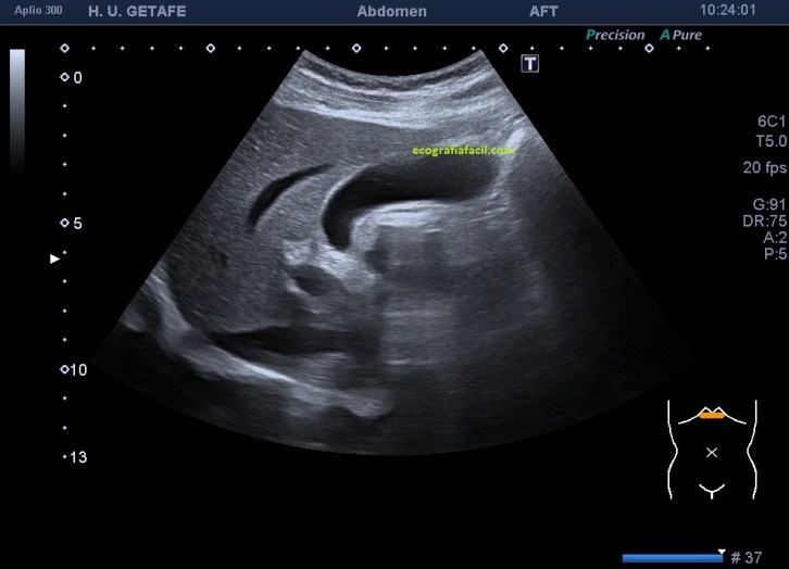
En este imagen ves una vesícula estudiada en longitudinal, con abordaje transcostal, muy similar a la imagen número 1, pero completamente distinta. En esta ocasión ves una vesícula heterogénea y ecogénica con diferentes ecogenicidades internas que corresponden a las diferentes densidades que presenta el líquido dentro de la ecoestructura. Es la típica manera en la que encontramos las vesículas con barro y sin litiasis.
Podemos encontrarnos niveles hidro-hidro, donde podemos ver, el contenido biliar normal, anecoico como en la imagen 1, con barro, cuya ecogenicidad correspondería con la imagen 2 y tendrías la imagen 3.


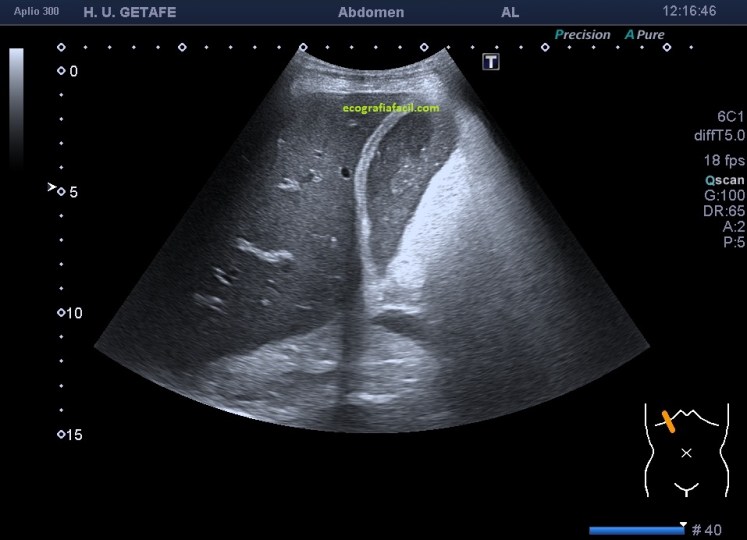
Finalmente, la imagen 4, donde encontramos una vesícula sin barro biliar y con una gran colelitiasis que provoca una evidente sombra acústica posterior. La vesícula es anecoica, sin presencia de barro, el paciente puede ser completamente asintomático y no saber que esa ecoestructura, redondeada, hiperecogénica causante de sombra acústica posterior y móvil, que así suelen ser las colelitiasis, se alberga en el interior de su vesícula. Las colelitiasis suelen ser variable en número, tamaño e incluso forma.
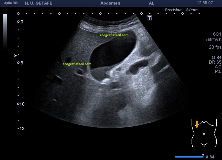
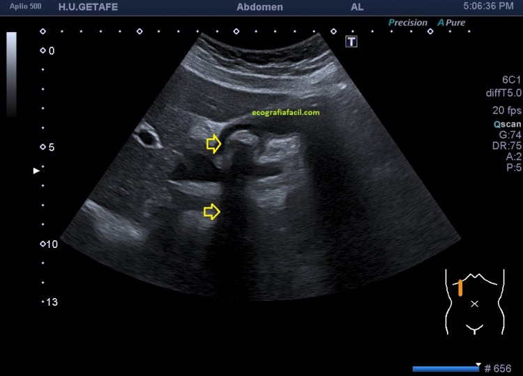
En ocasiones, barro y piedras, pueden coexistir en el contexto de patologías en esta región. Puedes verlo en la imagen 5 con la semiología ya descrita anterioremnte.

Finalmente, atentos siempre a situaciones de semiología anómala, no conocida o extraña como la de la imagen 6, donde podemos ver afectación tumoral de la vesícula y donde vemos signos ecográficos muy llamativos, como puede ser la heterogenicidad y la deformidad de la ecoestructura, donde vemos como el fundus vesicular se ve desesctruturado, como con microcalcificaciones y áreas de mala transmisión de sonido…la otra parte de la vesícula anecoica, normal.

No puedo acompañarte,Verano, pero siempre pienso en ti…
1M de gracias por compartir conocimientos. . Saludos
Me gustaMe gusta
De nada.Un placer.
Me gustaMe gusta