En este nuevo Post de blog he preparado un resumen de todos lo protocolos de los que hablé tiempo atrás y lo hago a petición de una lectora que me pidió que si podría unir en un solo post toda esta info. Sé que muchxs consultais este Blog para la realización de trabajos en vuestros centros formativos, me encanta poder ayudar, y aunque es un tema tratado, en ocasiones entiendo que todo resumido es más fácil de consultar.
De todos modos aquí tienes el primer post (desde donde puedes empezar) de la parte del Blog que dediqué a la Ecografía Pediátrica.
Ahora estoy algo más parado, llego agotado a esta época del año, pero el Verano se acerca, el semestre termina y pronto empezaré a subir cositas nuevas y muy interesantes…
In this new post of blog I have prepared a summary of all the protocols that I talked about a while ago and I do it at the request of a reader who asked me if I could join in a single post all this info. I know that many people consult this Blog for the realization of works in your training centers, I love being able to help, and although it is a topic, sometimes I understand that everything summarized is easier to consult.
Now I’m a little more unemployed, I’m exhausted at this time of year, but Summer is coming, the semester is over and soon I’ll start uploading new and very interesting things …
1. El operador:
Es una técnica operador-dependiente. La apreciación subjetiva de las imágenes por parte de un observador requiere de la máxima atención, un equipo de características óptimas para la realización de esta técnica y un profesional preparado para identificar aquellas patologías que pudieran aparecer.
El Técnico ha de estar formado, debe tener experiencia y debe realizar el estudio con la máxima eficacia. Debe poseer autocrítica para mejorar día a día y no perder nunca las ganas de aprender.
La confianza del radiólogo en el técnico que realiza la exploración debe ser total, el técnico que realiza la prueba son los ojos del radiólogo que finalmente será el que ejecute y firme el informe.
Debemos leer siempre la información clínica del paciente que venga descrita en la petición de la prueba y recabar del paciente o de su acompañante aquella información que pueda ser relevante para el estudio.
El técnico es el encargado de optimizar la sala y el material de la ésta. El equipo debe estar en óptimas condiciones de uso. La sala debe estar a temperatura adecuada y debe tener luz regulable en intensidad.
It is an operator-dependent technique. The subjective appreciation of images by an observer requires maximum attention, a team of optimal characteristics for the realization of this technique and a professional prepared to identify those pathologies that may appear.
The Technician must be trained, must have experience and must perform the study with maximum efficiency. You must have self-criticism to improve day by day and never lose the desire to learn.
The radiologist’s confidence in the technician performing the examination must be total, the technician who performs the test is the eyes of the radiologist who will finally be the one who executes and signs the report.
We must always read the clinical information of the patient that is described in the request for the test and ask the patient or his companion for information that may be relevant to the study.
The technician is in charge of optimizing the room and the material of it. The equipment must be in optimal conditions of use. The room should be at the right temperature and should have dimmable light intensity.

Figura X-1
2. El Paciente:
El paciente pediátrico lo es desde su nacimiento hasta los 14 años de edad. Debemos comprender que no es un adulto en miniatura y que puede padecer dolor de diferente etiología y cuya única manera de expresarlo a edad temprana será el llanto.
Se facilitará la presencia de un familiar o acompañante que pueda ayudar a que el paciente esté menos asustado y le dé cierta seguridad, entendamos que es un lugar hostil para el niño/a.
Cuando el paciente pueda colaborar le daremos las instrucciones claras y precisas para que la técnica sea buena. Si eso no fuese posible pediremos ayuda y le daremos las instrucciones a su acompañante.
Podemos emplear técnicas o trucos para que los niños se encuentren cómodos y sobre todo los más pequeños estén lo más tranquilos posibles, el uso del chupete, una música relajante o una sala decorada de motivos infantiles puede ayudar a que el niño se encuentre mejor.
The pediatric patient is from birth to 14 years of age. We must understand that he is not an adult in miniature and that he can suffer pain of different etiology and whose only way of expressing it at an early age will be crying.
It will facilitate the presence of a family member or companion who can help the patient is less frightened and gives some security, we understand that it is a hostile place for the child.
When the patient can collaborate we will give clear and precise instructions so that the technique is good. If that is not possible, we will ask for help and we will give the instructions to your companion.
We can use techniques or tricks so that children are comfortable and especially the little ones are as quiet as possible, the use of a pacifier, a relaxing music or a room decorated with children’s motives can help the child is better.
3. ¿Por qué?
La ecografía es portátil, podemos ir con nuestro equipo a las unidades de neonatos, su visualización es en tiempo real, ninguna otra técnica ofrece esta ventaja, y además es rápida, barata y no utiliza radiación ionizante y evita sedaciones que serían obligatorias con otras técnicas como el TAC o la RMN.
Su fiabilidad diagnóstica es altísima y está indicada para multitud de patologías como son la Hidrocefalia, Malformaciones, Hemorragias, Masas, Megalias, lesiones vasculares, Litiasis y un largo etcetera…
The ultrasound is portable, we can go with our equipment to the neonatal units, its visualization is in real time, no other technique offers this advantage, and it is also fast, cheap and does not use ionizing radiation and avoids sedation that would be obligatory with other techniques such as CT or MRI.
Its diagnostic reliability is very high and is indicated for a multitude of pathologies such as Hydrocephalus, Malformations, Hemorrhages, Masses, Megalias, vascular lesions, Lithiasis and a long etcetera …

Figura X-2
4. Equipamiento:
Necesitamos un ecógrafo con al menos dos sondas, una de baja frecuencia para pacientes pediátricos mayores y estudios que requieran más profundidad, abdomen y cerebro, y además una sonda de alta frecuencia para partes blandas, musculoesquelético y en general aquellos estudios de baja profundidad que necesiten alta frecuencia.
Las sondas lápiz son muy útiles para movernos en espacios pequeños como las incubadoras y accesos complicados como aquellos que nos proporcionarán pacientes grandes prematuros.
Muy a grandes rasgos podemos decir que las sondas se dividen en dos grandes grupos:
– Alta frecuencia: Estos transductores se utilizaran para estudios que requieran mucha nitidez de imagen y poca profundidad, como por ejemplo, Caderas, Testículos, Pared abdominal, Cuello, Partes blandas, Ecografía musculo-esquelética, etc…
– Baja frecuencia donde lo que prima es la profundidad del estudio, es decir, a los centímetros que tenemos que trabajar y donde la nitidez no sea tan importante, como por ejemplo el estudio ecográfico del Abdomen y la Ecografía transfontanelar.
El transductor o sonda ecográfica transforma la energía eléctrica que se le aplica en energía mecánica. Al aplicar un voltaje a sus cristales, éstos se deforman y se crea una onda de presión. A la inversa, si se les aplica presión (por ejemplo, una onda de US de retorno), también se deforman y se produce un voltaje.
Constan de 3 elementos colocados en un contenedor y conectados por su parte posterior a la electrónica del sistema:
– CERÁMICA (cristal): Se trata de una cerámica de tipo PZT (titanato y circonato de plomo) con grandes propiedades piezoeléctricas. Suelen ser múltiples (hasta 128 cristales), manipulables y ajustables entre sí para constituir conjuntos curvilíneos o lineales. Es importante evitar la transmisión de las vibraciones de un cristal a otro, para lo cual pueden situarse ranuras entre cristales. Son sensibles al calor, por lo que no pueden esterilizarse por este método.
– AMORTIGUADOR: Está colocado detrás de la cerámica. Tiene 3 funciones:
– Amortiguar las vibraciones de la cerámica tras los impulsos eléctricos
– Absorber las ondas US emitidas hacia atrás
– Estabilidad y conservación del cristal
– ADAPTADOR DE IMPEDANCIA: Está colocado delante de la cerámica. Aisla la piel del paciente de la electricidad del sistema, y actúa como lente acústica (a veces se coloca otra lente acústica focalizante entre el adaptador de impedancia y la cerámica). Su principal función es evitar la fuerte reflexión que se produciría desde la piel hacia la sonda debido al importante cambio de impedancia, facilitando así la transmisión a través de la piel. El material del adaptador debe tener una impedancia intermedia entre el cristal y el tejido.
Todos los equipos deben de tener cine, que nos ayudará a capturar imágenes en movimiento en pacientes poco colaboradores.
We need an ultrasound scanner with at least two probes, a low frequency one for older pediatric patients and studies that require more depth, abdomen and brain, and also a high frequency probe for soft tissues, musculoskeletal and in general those studies of low depth that need high frequency.
The pencil probes are very useful to move in small spaces such as incubators and complicated accesses such as those that will provide large premature patients.
Very roughly we can say that the probes are divided into two large groups:
– High frequency: These transducers will be used for studies that require a lot of image clarity and shallowness, such as, for example, Hips, Testicles, Abdominal wall, Neck, Soft parts, Musculoskeletal ultrasound, etc …
– Low frequency where what is the most important is the depth of the study, that is to say, the centimeters that we have to work and where the clarity is not so important, as for example the ultrasound study of the abdomen and the transfontanelar ultrasound.
The transducer or ultrasound probe transforms the electrical energy that is applied to mechanical energy. By applying a voltage to their crystals, they deform and a pressure wave is created. Conversely, if pressure is applied (for example, a return US wave), they also deform and a voltage is produced.
They consist of 3 elements placed in a container and connected by their back to the electronics of the system:
– CERAMIC (crystal): It is a pottery type PZT (titanate and lead zirconate) with large piezoelectric properties. They tend to be multiple.
– SHOCK ABSORBER: It is placed behind the ceramic. It has 3 functions:
– Dim the vibrations of the ceramic after the electrical impulses
– Absorb US waves emitted backwards
– Stability and conservation of glass
– IMPEDANCE ADAPTER: It is placed in front of the ceramic. It isolates the patient’s skin from the electricity of the system, and acts as an acoustic lens (sometimes another focalizing acoustic lens is placed between the impedance adapter and the ceramic). Its main function is to avoid the strong reflection that would occur from the skin to the probe due to the important impedance change, thus facilitating the transmission through the skin. The adapter material must have an intermediate impedance between the glass and the tissue.
All teams must have a cinema, which will help us capture moving images in patients who are not very cooperative.

Figura X-3
5. Protocolos y patología más destacadas.
Vamos a desarrollar los protocolos más importantes y las patologías más destacadas
que habitualmente encontramos en las consultas de ecografía de nuestros centros de trabajo.
5. Protocols and pathology more prominent.
We will develop the most important protocols and the most outstanding pathologies
that we usually find in the ultrasound consultations of our work centers.
5.1 Eco Abdominal:
Indicaciones:
Abdomen agudo, ITU, Ectasias piélicas, hematuria, insuficiencia renal, hidronefrosis, megauréteres, litiasis y en general cualquier sospecha clínica de patología abdominal.
Técnica exploratoria:
Paciente en decúbito supino, en ayunas, necesitaremos un transductor con la frecuencia y tamaño adecuado para el estudio y la edad del paciente. En los más pequeños empezaremos a estudiar el abdomen por la vejiga ya que enseguida que note el frío del gel en la tripa se hará pis.
El estudio ecográfico incluirá Páncreas, lóbulo hepático izquierdo, Porta izquierda, Suprahepática izquierda, Cava y aorta, Suprahepáticas, Porta derecha, Vías biliares y Vesícula Biliar, Lóbulo hepático derecho, comparativa del conjunto hepato-renal, Riñón derecho y Glándula Adrenal Derecha, Bazo, Adrenal Izquierda, Riñón Izquierdo, Aorta y Cava, y en la pelvis menor, Vejiga, Próstata y Vesículas Seminares o Útero y Ovarios.

Figura X-4
Vamos a hacer un repaso esquemático por aquellas patologías mas importantes que afectarán al abdomen del paciente de pediatría y que revertirán en un mayor número de peticiones de ecografía para el servicio de rx.
5.1.1 ITUs:
Las infecciones del tracto urinario en la infancia representan con mucho las peticiones de ecografía abdominal en pacientes que están ingresados en las plantas de pediatría.
5.1.2 La Pielonefritis:
Es uno de los entes patológicos derivados de la complicación de una infección urinaria siendo una inflamación tubulointersticial del riñón a causa de una infección urinaria por reflujo o por diseminación hematógena.
Los signos ecográficos son:
1. Aumento del tamaño renal
2. Alteración de la ecogenicidad.
3. Compresión del seno renal.
4. Masa o masas mal definidas.
5. Gas en el parénquima renal.

Figura X-5
5.1.3 Estenosis Hipertrófica de Píloro.
El paciente tiene vómitos y llanto incontrolable.
La técnica proporciona una alta precisión diagnóstica, casi del 100% siendo de realización fácil. Usaremos una sonda de alta frecuencia. Buscaremos píloro situando al paciente en oblicuo posterior derecho para su localización.
Los signos ecográficos son:
1. Masa muscular engrosada hipoecogénica inmediatamente superficial a la capa más ecogénica de la capa mucosa del conducto pilórico. Esa masa muscular será patológica si su medida es mayor de 2 mm y el canal pilórico debe tener un máximo de 15 mm.
2. Peristaltismo de lucha en antro.

Figura X-6
5.1.4 Invaginación intestinal:
Es la causa mas frecuente de obstrucción intestinal de intestino delgado entre los 6 meses y los 4 años.
Cursa con dolor abdominal espasmódico e intermitente con vómitos y heces en jalea de grosella.
La ecografía es una técnica de mera confirmación.
Usaremos una sonda de alta frecuencia
Los signos ecográficos son:
1. Masa oval hipoecogénica
2. Anillo hipoecogénico con ecogenicidad central
3. Múltiples capas y anillos concéntricos
4. Pequeña cantidad de líquido peritoneal, mucha indicaría perforación.

Figura X-7
5.1.5 Apendicitis:
Es el estudio de la fosa iliaca derecha con una sonda lineal de alta frecuencia. Es muy útil cuando el clínico tiene signos ambiguos para el diagnóstico.
Los signos ecográficos son:
1. Estructura tubular con extremo ciego no compresible
2. Diámetro de tubo mayor de 6 mm
3. Líquido atrapado en apéndice no perforado
4. Signo de la diana
5. Apendicolito visualizado como una sombra acústica tras un foco ecogénico
6. Hipervascularización del apéndice con Doppler-Color.

Figura X-8
5.1 Eco Abdominal:
Indications:
Acute abdomen, UTI, Pyeic ectasias, hematuria, renal insufficiency, hydronephrosis, megaureters, lithiasis and in general any clinical suspicion of abdominal pathology.
Exploratory technique:
Patient in supine decubitus, fasting, we will need a transducer with the appropriate frequency and size for the study and the age of the patient. In the youngest we will begin to study the abdomen through the bladder because as soon as you notice the coldness of the gel in the gut it will pee.
Ultrasound study will include Pancreas, left hepatic lobe, left portal, left suprahepatic, Cava and aorta, suprahepatic, right portal, bile and gallbladder, right hepatic lobe, comparative hepatorenal, right kidney and right adrenal gland, spleen , Left Adrenal, Left Kidney, Aorta and Cava, and in the minor pelvis, Bladder, Prostate and Seminal Vesicles or Uterus and Ovaries.
Figure X-4
We are going to do a schematic review for those more important pathologies that will affect the abdomen of the pediatric patient and that will revert in a greater number of ultrasound requests for the rx service.
5.1.1 ITUs:
Urinary tract infections in childhood represent by far the requests of abdominal ultrasound in patients who are admitted to pediatric plants.
5.1.2 Pyelonephritis:
It is one of the pathological entities derived from the complication of a urinary infection being a tubulointerstitial inflammation of the kidney due to a urinary infection due to reflux or hematogenous spread.
The echographic signs are:
1. Increase in kidney size
2. Alteration of echogenicity.
3. Compression of the renal sinus.
4. Mass or poorly defined masses.
5. Gas in the renal parenchyma.
Figure X-5
5.1.3 Hypertrophic Pyloric Stenosis.
The patient has vomiting and uncontrollable crying.
The technique provides a high diagnostic precision, almost 100% being easy to perform. We will use a high frequency probe. We will look for the pylorus by placing the patient in the right posterior oblique for its location.
The echographic signs are:
1. Hypoechogenic thickened muscle mass immediately superficial to the most echogenic layer of the mucosal layer of the pyloric duct. This muscle mass will be pathological if its measurement is greater than 2 mm and the pyloric channel should have a maximum of 15 mm.
2. Peristalsis of fighting in antrum.
5.1.4 Intestinal invasion:
It is the most frequent cause of intestinal obstruction of the small intestine between 6 months and 4 years.
He has spasmodic and intermittent abdominal pain with vomiting and stool in currant jelly.
Ultrasound is a technique of mere confirmation.
We will use a high frequency probe
The echographic signs are:
1. Hypoechoic oval mass
2. Hypoecogenic ring with central echogenicity
3. Multiple layers and concentric rings
4. Small amount of peritoneal fluid, much would indicate perforation.
Figure X-7
5.1.5 Appendicitis:
It is the study of the right iliac fossa with a high frequency linear probe. It is very useful when the clinician has ambiguous signs for the diagnosis.
The echographic signs are:
1. Tubular structure with non-compressible blind end
2. Tube diameter greater than 6 mm
3. Liquid trapped in non-perforated appendix
4. Sign of the bullseye
5. Appendicolite visualized as an acoustic shadow behind an echogenic focus
6. Hypervascularization of the appendix with Doppler-Color.
5.2 Eco de Cuello:
Indicaciones:
Patologías que afecten al Tiroides, adenopatías o inflaciones de las glándulas salivares así como patologías de índole traumatológico como las Tortícolis congénita. Además neoplasias, lesiones vasculares, lesiones congénitas o cualquier inflamación que pueda ser estudiada con esta técnica.
Técnica exploratoria:
Paciente decúbito supino con hiperextensión del cuello, usaremos sondas de alta frecuencia para una mayor nitidez.
Estudiaremos Tiroides, Ganglios y vasos del cuello y específicamente el músculo esternocleidomastoideo si se tratase de una sospecha de Fibromatosis Colli.
El Tiroides incluye el estudio de ambos lóbulos tiroideos, Istmo, Ganglios y Vasos adyacentes.

Figura X-9
La patología es variada como se ha reseñado previamente, destacando las masas cervicales como son:
5.2.1 Adenitis:
La mayoría de las masas cervicales pediátricas son secundarias a linfadenitis aguda siendo esta técnica útil en el seguimiento de procesos inflamatorios agudos.
Signos Ecográficos:
1. Masas hipoecogénicas homogéneas de diferente tamaño siendo de rango patológico por encima de 1 cm.
2. El Doppler mostratrá vasos en el centro hilial.
3. Convertidos en abscesos estas masas ofrecen una pared irregular con lucencia central.

Figura X-10
5.2.2 Fibromatosis Colli:
Es una masa que afecta predominantemente a la cabeza esternal del esternocleidomastoideo relacionada con un traumatismo al nacimiento.
Se presenta en el primer mes de vida y se conoce como tortícolis congénita
Signos Ecográficos:
1. Masa elíptica ligeramente hipoecogénica
2. Eventualemente bilateral
Es primordial hacer una técnica correcta cogiendo todo el músculo en su corte longitudinal y hacer comparativa con el lado contralateral.

Fig X-11
5.2 Neck Echo:
Indications:
Pathologies that affect the Thyroid, adenopathies or inflations of the salivary glands as well as pathologies of a traumatological nature such as congenital Torticollis. In addition, neoplasms, vascular lesions, congenital lesions or any inflammation that can be studied with this technique.
Exploratory technique:
Supine decubitus patient with hyperextension of the neck, we will use high frequency probes for greater clarity.
We will study Thyroid, Ganglia and vessels of the neck and specifically the sternocleidomastoid muscle if it were a suspicion of Fibromatosis Colli.
Thyroid includes the study of both thyroid lobes, Isthmus, Ganglia and adjacent vessels.
Figure X-9
The pathology is varied as previously reported, highlighting cervical masses such as:
5.2.1 Adenitis:
The majority of pediatric cervical masses are secondary to acute lymphadenitis, this technique being useful in the follow-up of acute inflammatory processes.
Ecographic signs:
1. Homogeneous hypoechoic masses of different sizes being of pathological rank above 1 cm.
2. Doppler shows vessels in the hilial center.
3. Converted into abscesses these masses offer an irregular wall with central lucency.
Figure X-10
5.2.2 Colli Fibromatosis:
It is a mass that predominantly affects the sternal head of the sternocleidomastoid associated with trauma at birth.
It occurs in the first month of life and is known as congenital torticollis
Ecographic signs:
1. Elliptical mass slightly hypoechogenic
2. Eventually bilateral
It is essential to make a correct technique by taking all the muscle in its longitudinal section and making comparative with the contralateral side.
Figura X-11
5.3 Ecografía de Testicular:
La técnica incluye el estudio ecográfico de ambas bolsas escrotales para valorar y medir la presencia normal de los testes, su epidídimo, vasos y líquido.
Usaremos sonda de alta frecuencia.
La patología habitual incluye en un altísimo porcentaje a la Criptorquidia, y además otras como Hernias, Epididimitis, Torsiones testiculares…
5.3.1 Criptorquidia:
En el séptimo mes de gestación los testículos descienden del abdomen al escroto.
La mayoría de los testes no descendidos se encuentran en el canal inguinal
Se asocia en edad adulta con malignización, torsión e infertilidad.
Técnica exploratoria:
Con una sonda de alta frecuencia buscaremos los testes en las bolsas escrotales, si no estuviesen situados en su lugar iríamos recorriendo canal inguinal hasta encontrarlos.
Habitualmente se hallan en el canal inguinal, bajo una lamina de grasa, podemos, con la manipulación hacer que el teste caiga a la bolsa escrotal.
5.3 Ultrasound of Testicular:
The technique includes the ultrasound study of both scrotal sacs to assess and measure the normal presence of the testes, their epididymis, vessels and fluid.
We will use high frequency probe.
The habitual pathology includes in a high percentage the cryptorchidism, and also others like Hernias, Epididymitis, Testicular torsions …
5.3.1 Cryptorchidism:
In the seventh month of gestation, the testicles descend from the abdomen to the scrotum.
Most undescended testes are found in the inguinal canal
It is associated in adulthood with malignancy, torsion and infertility.
Exploratory technique:
With a high frequency probe we will look for the testes in the scrotal bags, if they were not in place we would go through the inguinal canal until we found them.
Usually they are in the inguinal canal, under a sheet of fat, we can, with the manipulation to make the test fall into the scrotal sac.

Figura X-12
5.4 El Sistema Nervioso Central Pediátrico:
Para el estudio del Cerebro y la Médula espinal pediátrica requerimos sondas de alta frecuencia pudiendo tener que utilizar frecuencias bajas para zonas de más profundidad.
Incluyen este estudio la Ecografía Transfontanelar y la Ecografía del Canal Medular.
5.4.1 Ecografía transforntanelar:
Objetivos.
1. Maduración cerebral
2. Presencia de anormalidades estructurales y/o daño cerebral
3. El tiempo de daño cerebral
4. Ayuda a tomar decisiones sobre la continuación de cuidados intensivos (PORTÁTIL)
5. Simetría
Para estudiar la cavidad intracerebral usaremos el acceso que nos proporcionan las fontanelas, principalmente la Anterior haciendo corte Coronales y Sagitales incluyendo el estudio vascular para la medida de los índices de resistencia.
Indicaciones:
La técnica está indicada en multitud de procesos, hemorragias, malformaciones, lesiones congénitas, lesiones vasculares, neoplasias, etc…
Técnica Exploratoria:
Utilizaremos sondas de alta frecuencia, salvo en situaciones que necesitemos baja frecuencia para exploraciones que requieran mayor profundidad.
El paciente en decúbito supino, utilizaremos el acceso que nos proporciona la fontanela anterior, pero también podemos utilizar la fontanela anterolateral y la fontanela posterolateral.
Realizaremos coronales donde observaremos estructuras anatómicas como por ejemplo, los lóbulos frontales, ventrículos laterales, lóbulos temporales, cisura interhemisférica, tronco cerebral, plexos coroideos, tálamo, lóbulo parietal, cerebelo y lóbulo occipital, entre otras.
Después los cortes sagitales empezando por el lado derecho del paciente, revisando estructuras como lóbulos frontales y parietales, tálamo y plexos coroideos tanto en el lado derecho como en el izquierdo.
En línea media, lóbulos frontal, parietal y occipital, cuerpo calloso, cavum septi, plexo coroideo, tercer y cuarto ventrículo y surco del cíngulo.

Figura X-13
Después realizaremos registros de las arterias cerebrales medias y pericallosas para medir índice de resistencia. Dicho índice puede alterarse en procesos como las hemorragias intraventriculares, hidrocefalias, asfixias y ductus.

Figura X-14
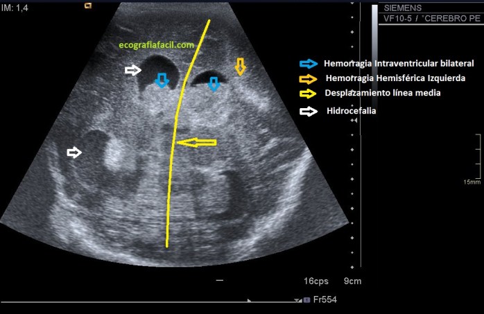
La patología más habitual y para la que se requiere la presencia del radiólogo en las unidades de cuidados intensivos neonatales es la hemorragia intracerebral:
• El riesgo de sufrir esta patología se da en pacientes con:
– Menos de 30 semanas de gestación.
– Pesos inferiores a 1500 grs.
• Existen 4 grados, siendo el más leve el 1 y el más grave el 4.
• Se objetivará la presencia hiperecogénica anormal en el parénquima cerebral debido a la presencia de sangre.
– El diagnóstico diferencial es la leucomalacia intraventricular que es el infarto y la necrosis de la sustancia blanca.

Figura X-15
5.4.2 Ecografía medular:
Es la parte de la ecografía que estudia el canal raquídeo.
Indicaciones:
1. Localización del final de cono medular, que debe estar situada entre L2 y L3.
2. Descartar médula anclada
3. Meningocele y Mielomeningocele
La sospecha de médula anclada está asociada a:
1. Hoyuelos Sacros
2. Cono medular por debajo de L3
El Paciente puede presentar malformaciones físicas y/o déficit neurológicos.
Técnica exploratoria:
Sonda de alta frecuencia, el paciente en decúbito prono, nos situaremos sobre las apófisis espinosas de las lumbares y estudiaremos conducto raquídeo, cono medular que se verá afilado en longitudinal, saco tecal y cola de caballo y los cuerpos vertebrales
La patología más común es el Mielomeningocele.
• Defecto del tubo neural en el cual los huesos de la columna no se forman totalmente, provocando un conducto raquídeo incompleto.
• Esto lleva a que la médula espinal y las meninges (los tejidos que cubren la médula espinal) sobresalgan de la espalda del niño.
• Saco que sobresale de la mitad a la parte baja de la espalda.
• SINTOMAS:
• Pérdida del control de esfínteres
• Falta de sensibilidad parcial o total
• Parálisis total o parcial de las piernas
• Debilidad en las caderas, las piernas o los pies de un recién nacido
• Otros síntomas:
• Pies o piernas anormales, como pie zambo
• Acumulación de líquido dentro del cráneo (hidrocefalia)
5.4 The Pediatric Central Nervous System:
For the study of the Brain and the Pediatric Spinal Cord, we require high frequency probes and may have to use low frequencies for deeper areas.
This study includes Transfontanelar Ultrasound and Ultrasound of the Medullary Canal.
5.4.1 Transforntaneal ultrasound:
Goals.
1. Brain maturation
2. Presence of structural abnormalities and / or brain damage
3. The time of brain damage
4. Help to make decisions about the continuation of intensive care (PORTABLE)
5. Symmetry
To study the intracerebral cavity we will use the access provided by the fontanelles, mainly the Anterior one, making Coronal and Sagittal cuts, including the vascular study for the measurement of resistance indices.
Indications:
The technique is indicated in a multitude of processes, hemorrhages, malformations, congenital lesions, vascular lesions, neoplasms, etc …
Exploratory Technique:
We will use high frequency probes, except in situations that we need low frequency for explorations that require greater depth.
The patient in the supine position, we will use the access provided by the anterior fontanelle, but we can also use the anterolateral fontanelle and the posterolateral fontanelle.
We will perform coronals where we will observe anatomical structures such as, for example, the frontal lobes, lateral ventricles, temporal lobes, interhemispheric fissure, brainstem, choroid plexuses, thalamus, parietal lobe, cerebellum, and occipital lobe, among others.
Then the sagittal cuts starting on the right side of the patient, reviewing structures such as frontal and parietal lobes, thalamus and choroid plexuses on both the right and left sides.
In the midline, frontal lobes, parietal and occipital, corpus callosum, cavum septi, choroid plexus, third and fourth ventricle and groove of the cingulum.
Figure X-13
Then we will record the middle and pericallosal cerebral arteries to measure resistance index. This index can be altered in processes such as intraventricular hemorrhages, hydrocephalus, asphyxia and ductus.
Figure X-14
The most common pathology and for which the presence of the radiologist in the neonatal intensive care units is required is intracerebral hemorrhage:
• The risk of suffering this pathology occurs in patients with:
– Less than 30 weeks of gestation.
– Weights less than 1500 grs.
• There are 4 grades, the lightest being 1 and the most serious the 4.
• The abnormal hyperechogenic presence in the cerebral parenchyma will be objectified due to the presence of blood.
– The differential diagnosis is intraventricular leukomalacia, which is infarction and necrosis of the white matter.
Figure X-15
5.4.2 Spinal echography:
It is the part of the ultrasound that studies the spinal canal.
Indications:
1. Location of the end of the medullary cone, which should be located between L2 and L3.
2. Discard anchored marrow
3. Meningocele and Myelomeningocele
The suspicion of anchored marrow is associated with:
1. Sacred dimples
2. Spinal cone below L3
The patient may present physical malformations and / or neurological deficits.
Exploratory technique:
High frequency probe, the patient in prone position, we will place on the spinous processes of the lumbar and we will study spinal canal, medullary cone that will be sharpened in longitudinal, thecal sac and horsetail and the vertebral bodies
The most common pathology is Myelomeningocele.
• Defect of the neural tube in which the bones of the spine do not form completely, causing an incomplete spinal canal.
• This leads to the spinal cord and the meninges (the tissues that cover the spinal cord) protruding from the child’s back.
• Sack that protrudes from the middle to the lower part of the back.
• SYMPTOM:
• Loss of sphincter control
• Lack of partial or total sensitivity
• Total or partial paralysis of the legs
• Weakness in the hips, legs or feet of a newborn
• Other symptoms:
• Abnormal feet or legs, such as clubfoot
• Accumulation of fluid inside the skull (hydrocephalus)

Figura X-16
5.5 Ecografía de caderas
Finalmente vamos a ver como se realiza la que probablemente es la ecografía mas demandada por los pediatras y que es la Ecografía de Caderas Neonatal.
Indicaciones:
Descartar la enfermedad conocida como displasia de caderas. Esta patología se manifiesta en el primer año de vida y su detección precoz es vital para su tratamiento con éxito.
Los factores de riesgo que aumentan la posibilidad de padecer dicha enfermedad son:
1. Antecedentes familiares de la displasia de caderas.
2. Parto de Nalgas.
3. Pertenecer al género femenino.
4. Fibromatosis colli.
5. Oligoamnios
6. Deformidad de miembros inferiores.
Técnica exploratoria:
Nos permite esta técnica determinar la posición y estabilidad de la articulación de la cadera de forma dinámica.
Requiere de una inmovilización firme del paciente y un trabajo de calidad y precisión.
Incluimos en el examen un corte sagital en Adducción forzada y otro en posición neutra (pierna estirada).
No es posible realizar esta técnica después de los 6 meses de paciente, dado que la osificación de la cabeza femoral impedirá el paso del haz ultrasónico.

Figura X-17

Figura X-18

Figura X-19

Figura X-20
Observaremos en la proyección realizada el Iliaco, acetábulo, Cabeza femoral y Pubis en una misma imagen en la proyección de adducción forzada, en la de posición neutra veremos lo mismo, pero en la cabeza femoral se interpondrá la sombra del trocánter como criterio de calidad.
Es vital el uso del cine como ayuda para la realización de este estudio.
5.5 Ultrasonography of hips
Finally, we are going to see how the most demanded ultrasound is performed by pediatricians and that is Neonatal Hip Ultrasound.
Indications:
Discard the disease known as hip dysplasia. This pathology manifests itself in the first year of life and its early detection is vital for its successful treatment.
The risk factors that increase the possibility of suffering from this disease are:
1. Family history of hip dysplasia.
2. Birth of Buttocks.
3. Belonging to the female gender.
4. Fibromatosis colli.
5. Oligoamnios
6. Deformity of lower limbs.
Exploratory technique:
This technique allows us to determine the position and stability of the hip joint dynamically.
It requires a firm immobilization of the patient and quality work and precision.
We included in the examination a sagittal section in forced adduction and another in neutral position (stretched leg).
It is not possible to perform this technique after 6 months of the patient, since the ossification of the femoral head will impede the passage of the ultrasonic beam.
Figure X-17
Figure X-18
Figure X-19
Figure X-20
We will see in the projection made the Iliac, acetabulum, femoral head and Pubis in the same image in the projection of forced adduction, in the neutral position we will see the same, but in the femoral head the shadow`s trochanter remains as a quality criterion.
It is vital to use cinema as an aid to the realization of this study
Bienvenido Junio, con tus eternas tardes, gracias por este calor de Verano que me da Vida…
Excelente compendio! Saludos
Me gustaMe gusta
Muchas gracias¡¡
Me gustaMe gusta