Es habitual que en la Ecografía de mama encontremos pacientes que están en proceso de lactancia junto a sus bebés. Esto supone siempre cambios, alteraciones en la ecoarquitectura de la glándula cuya semiología es variada, pero que me parece muy importante que conozcas y por eso te presento hoy este Post en el que vamos a ver la diferencias entre una mama antes y después de la lactancia…
Te invito a que pinches en el enlace de la primera línea para repasar un poco los conocimientos a cerca de la mama cuando está en un periodo de normalidad. Ahora te voy a poner una serie de imágenes, en ellas vamos a comparar el tejido mamario de una misma mujer con una diferencia de menos de una año, estando sin lactancia y con la lactancia. Fíjate en los pictogramas para que te hagas una referencia anatómica de donde estamos estudiando y compares.
It is usual that in breast ultrasound we find patients who are in the process of breastfeeding with their babies. This is always changes, alterations in the ecoarchitecture of the gland whose semiology is varied, but I think it is very important that you know and that is why I present this post today in which we will see the differences between a breast before and after breastfeeding …
I invite you to click on the link of the first line to review a little knowledge about the breast when it is in a normal period. Now I’m going to put a series of images, in them we will compare the breast tissue of the same woman with a difference of less than a year, being without breastfeeding and breastfeeding. Look at the pictograms so that you can make an anatomical reference of where we are studying and compare.




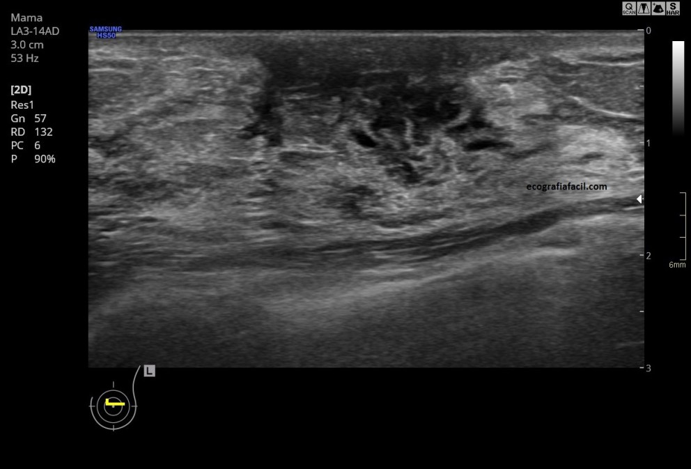
En la figura 1 y 2 vemos una imagen de la región retroareolar, en la imagen 2 ves claramente los conductos dilatados alargados y anecoicos tras del pezón.
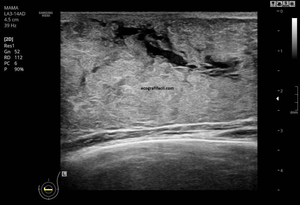
En la imagen 3 y 4 vemos una imagen clarificadora de lo que es una ecografía de mama «normal» y la misma imagen meses después cuando la mama está en proceso de lactancia.
Lo que vemos semiológicamente comparando imagen 3 y 4, es una estructura aumentada de tamaño, más abigarrada y donde observamos que el tejido glandular está aumentadísimo, aumentado también en su hiperfrefringencia, incluso, la lesión que se observa en la imagen 3 se ve como difuminada en la imagen 4…todos esos cambios que se observan claramente en la última imagen.
Conductos dilatados, anecoicos, distribuidos por todo el tejido hiperecogénico típico de esta situación de la lactancia.
In figure 1 and 2 we see an image of the retroareolar region, in image 2 you see clearly the dilated ducts.
In images 3 and 4 we see a clarifying image of what is a «normal» breast ultrasound and the same image months later when the breast is in the process of breastfeeding.
What we see semiologically comparing images 3 and 4, is an enlarged structure, more variegated and where we observe that the glandular tissue is greatly increased, also increased in its hyperfrequency, even, the lesion seen in image 3 is seen as blurred in image 4 … all those changes that are clearly observed in the last image.
Dilated, anechoic ducts, distributed throughout the hyperechogenic tissue typical of this situation of lactation.
Me hubiese gustado publicar ayer, pero no pudo ser así que os dejo este Post que aunque cortito, me parece que es clarificador y sigo trabajando en algo muy chulo que ojalá pronto os pueda traer por aquí..Buenas Noches.