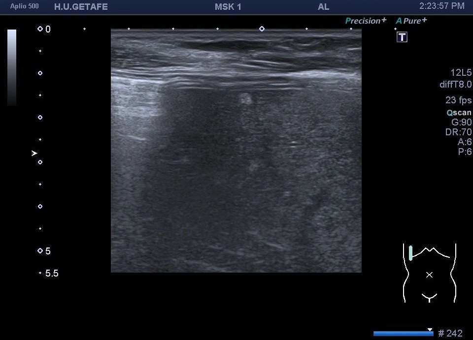
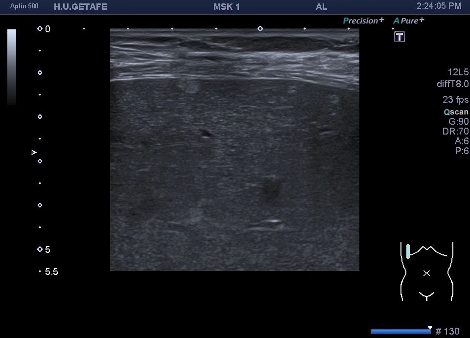
329. Hemangioma hepático. Vista con Sonda lineal.

Los hemangiomas hepáticos son lesiones muy frecuentes en el estudio del protocolo de abdomen.

Son ecoestructuras que alteran la normal ecoarquitectura del paréquima hepático.

Hiperecogénicas, redondas u ovaladas, de brillo variable, menores de 3 cms.

única o varias pueden parecer distribuidas aleatoriamente por el tejido hepático.

Pero en esta ocasión te quiero mostrar una cosa muy a tener en cuenta. En este caso es un estudio muscular dorsal y como hallazgo casual encontramos un montón de micro hemangiomas todos menores de 5 mm y que se hacen visibles por el uso de la sonda lineal de alta frecuencia.

Enseñanza: Que el árbol no te impida ver el bosque.

2 comentarios sobre “329. Hemangioma hepático. Vista con Sonda lineal.

  1. Muy buena la didáctica mi estimado. M gustaría saber más de la variante, tengo en teoría que existen la típica(que es este caso que nos comparte) y atípica, no tengo muy claro sobre sus hallazgos ecograficos o diferencial de la típica. Gracias, saludos.

    Me gusta

Deja un comentario