La Eco Pediátrica tiene tres exploraciones que son las más solicitadas por lxs pediatras.
- Eco de Caderas
- Eco de Abdomen
- Eco de SNC:
- Eco Transfontanelar
- Eco Canal Vertebral
Dedicamos este Post a la Ecografía de Caderas Neonatal:
Lo más importante es hacerse una composición de lugar de lo que engloba este estudio:
- Debemos conocer la anatomía regional.
- Debemos saber la imagen que tenemos que conseguir y la ecoestructura que estamos buscando.
- Debemos conocer la patología habitual y por tanto saber como es la normalidad.
La Anatomía es vital. Te enlazo esta foto, pero quiero que busques en ella y te quedes con:
- Cabeza de Fémur
- Hueso Iliaco
- Acetábulo
- Pubis
Toda la anatomía es importante, pero estos cuatro son los puntos cardinales del estudio ecográfico de la Cadera Neonatal. Lo comprenderás a continuación. Esa anatomía que estás viendo en la foto va a ser estudiada desde el lateral, en longitudinal, como corte más importante, es decir, es como si hicieses un corte coronal al cuerpo, ¿te haces a la idea?
De la Anatomía Ecográfica o ecoestructura tenemos que identificar los mismos 4 puntos de arriba, además de anatomía locoregional muy importante también.
The Pediatric Echo has three explorations that are the most requested by paediatricians. Echo of Hips Abdomen eco SNC Eco: Eco Transforntanelar Eco Vertebral Canal We dedicate this Post to the Neonatal Hip Ultrasound: The most important thing is to make a composition instead of what this study includes: We must know the regional anatomy. We must know the image we have to achieve and the eco-structure we are looking for. We must know the habitual pathology and therefore know how is normality. Anatomy is vital. I link this photo, but I want you to look in it and stay with: Femur head Bone Iliaco Acetabulum Pubis The whole anatomy is important, but these four are the cardinal points of the sonographic study of the Neonatal Hip. You will understand it below. That anatomy that you are seeing in the photo is going to be studied from the side, in longitudinal, as the most important cut, that is, it is as if you made a coronal cut to the body, do you make the idea? From the Ultrasound Anatomy or Ecostructure we have to identify the same 4 points above, in addition to very important locoregional anatomy as well.

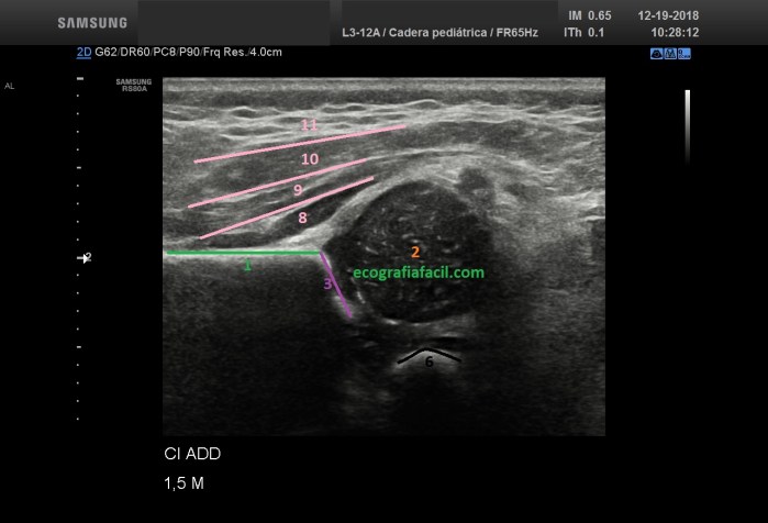
- 1. Iliaco
- 2. Cabeza femoral
- 3. Acetábulo
- 6. Pubis
- 8. Glúteo Menor
- 9. Glúteo mediano
- 10. Tensor de la Fascia lata.
- 11. Tejido celular subcutáneo
Sí me he saltado números, pero son aquellos que he considerado como menos importantes con el fin de facilitarte el aprendizaje de aquellos que me parecen vitales respecto del Técnico de Radiología.
Este dibujo que tienes arriba no es más que la representación gráfica del corte o la imagen que tienes que conseguir cuando hagas un estudio de Cadera Neonatal, tiene que quedarte así de bonita:
1. Iliaco 2. Femoral head 3. Acetabulum 6. Pubis 8. Gluteus Minor 9. Medium gluteus 10. Tensioner of the fascia lata. 11. Subcutaneous cellular tissue
Yes I have skipped numbers, but they are those that I have considered as less important in order to facilitate the learning of those that seem vital to me regarding the Radiology Technician. This drawing you have above is nothing more than the graphic representation of the cut or the image that you have to get when you do a Neonatal Hip study, you have to stay that beautiful:

Perfecto, ya controlamos la anatomía y la anatomía ecográfica, lo que tenemos que ver, vamos…
Ahora debemos saber porqué estamos realizando este estudio, que se persigue, cual es el objetivo… El objetivo de este estudio cuando vemos una petición de la/el pediatra, es descartar algún grado de Displasia de Cadera Neonatal en adelante DDC, y el objetivo principal es hacerlo precozmente.
Pincha aquí para que puedas ver los diferentes grados y cómo puede llegar a afectar a la articulación según el grado.
Unas consideraciones básicas de la enfermedad que desde mi punto de vista debemos saber:
- La DDC es alteración del desarrollo normal de la articulación previo o posterior al nacimiento.
- SE MANIFIESTA EN EL PRIMER AÑO DE VIDA
- Es Multifactorial, es decir, muchos factores pueden hacer que la enfermedad se desarrolle, a saber:
- ANTECEDENTES familiares DE LDDCPARTO DE NALGASNIÑA, el índice es mayor es este sexoTORTÍCOLIS CONGÉNITAOLIGOAMNIOSDEFORMIDAD MMII, simplemente un pliegue asimétrico en la anatomía de la/el paciente, por ejemplo que en la nalga derecha tenga tres pliegues y el izquierda solo dos, en la exploración en la consulta de pediatría, es suficiente para poder pedir esta exploración.
- Puede provocar diferentes formas de inestabilidad y enfermedades que dejen secuelas como una cojera permanente.
- EXPLORACIÓN FÍSICA por parte de la pediatra con los test de Ortolani y Barlow dirigirá la prueba. Un «click» de cadera es suficiente para poder pedir una ecografía de caderas.
- DETECCIÓN PRECOZ ES VITAL PARA SU TRATAMIENTO CON ÉXITO
- 1,5 POR CADA MIL NIÑXS PADECEN ESTA PATOLOGÍA
Perfect, we already control the anatomy and the ultrasound anatomy, what we have to see, come on … Now we must know why we are doing this study, which is pursued, what is the objective … The objective of this study when we see a request of the pediatrician, is to rule out some degree of Neonatal Hip Dysplasia onwards DDC, and the The main objective is to do it precociously. Click here to see the different grades and how it can affect the articulation according to the grade. Some basic considerations of the disease that from my point of view we should know: CDD is an alteration in the normal development of the joint before or after birth. IT IS MANIFESTED IN THE FIRST YEAR OF LIFE It is multifactorial, that is, many factors can cause the disease to develop, namely: FAMILY BACKGROUND OF LDDCPARTO DE NALGASNIÑA, the index is higher is this sex CONGENITAL TORTÍCOLIS OLIGOAMNIOS DEFINITION MMII, simply an asymmetric fold in the anatomy of the patient, for example that in the right buttock has three folds and the left only two, in the examination in the pediatric office, it is sufficient to be able to request this exploration. It can cause different forms of instability and diseases that leave sequelae such as a permanent limp. PHYSICAL EXPLORATION by the pediatrician with the Ortolani and Barlow tests will direct the test. One «click» of the hip is enough to be able to request an ultrasound of the hips. EARLY DETECTION IS VITAL FOR YOUR TREATMENT WITH SUCCESS 1.5 FOR EVERY THOUSAND CHILDREN SUFFER FROM THIS PATHOLOGY
Material que vamos a necesitar es:
- Preset específico en nuestro equipo
- PACIENTE MENOR DE 6 MESES, por encima de esta edad el núcleo de osificación de la cabeza del fémur impedirá que podamos ver el pubis y por tanto esta exploración será NO VÁLIDA, se tendrá que efectuar RX Pelvis.
- Eventualmente y en casos de cadera luxada, puede ser solicitada una ecografía nada más nacer la/el bebé.
- SONDA LINEAL DE ALTA FRECUENCIA Y GEL
Técnica Ecográfica:
- TÉCNICA DINÁMICA QUE PERMITE DETERMINAR POSICIÓN Y ESTABILIDAD DE LA CABEZA FEMORAL, ASÍ COMO DESARROLLO ACETABULAR
- INSTRUCCIONES AL ACOMPAÑANTE DEL NIÑO
- INMOVILIZACIÓN FIRME
- CALIDAD Y PRECISIÓN
- Cortes longitudinales, coronales al cuerpo, en adducción forzada y en posición neutra (pierna estirada), eventualmente podemos realizar corte axial de la cadera.
- Debemos indicar siempre en la pantalla, la cadera que estamos estudiando, si es en Adducción Forzada o Neutra y la edad de la/el bebé. Recuadro amarillo imagen siguiente.
- En el mismo corte deben verse siempre y nítidamente Iliaco, Acetábulo, Cabeza Femoral, Musculatura y Pubis en la Adducción, sumándole el Trocánter Mayor a la posición neutra.
La técnica no es fácil, eso sí, cuando hagas la primera, las siguientes son todas iguales. Colocar a la/el bebé, bien posicionado de lado apoyando el lado contralateral, bien sujeto, palpa el trocánter mayor y ahí posiciona la sonda como ves en las imágenes…no te muevas mucho, ahora solo es buscar hasta encontrar la imagen idónea, tendrás que usar el Cine del ecográfico. Suerte y paciencia.
Material that we will need is: Specific preset in our team PATIENT LESS THAN 6 MONTHS, above this age the ossification nucleus of the head of the femur will prevent us from seeing the pubis and therefore this exploration will be NOT VALID, RX Pelvis will have to be performed. HIGH FREQUENCY LINEAR PROBE AND GEL
Ultrasound Technique: DYNAMIC TECHNIQUE THAT ALLOWS TO DETERMINE POSITION AND STABILITY OF THE FEMORAL HEAD, AS WELL AS ACETABULAR DEVELOPMENT INSTRUCTIONS TO THE CHILD’S COMPANION FIRM IMMOBILIZATION QUALITY AND PRECISION Longitudinal cuts, coronal to the body, in forced adduction and in neutral position (stretched leg), eventually we can perform axial hip cutting. We must always indicate on the screen, the hip we are studying, whether it is in forced or neutral adduction and the age of the baby. In the same section, Iliaco, Acetabulum, Femoral Head, Musculature and Pubis in the Adduction must always be clearly seen, adding the Greater Trochanter to the neutral position.
The technique is not easy, though, when you do the first, the following are all the same. Place the baby, well positioned on the side supporting the contralateral side, well attached, palpate the greater trochanter and positional there the probe as you see in the images … do not move much, now it is only to search until you find the ideal image , you will have to use the Ultrasound Cinema. Good Luck and patience.

Cortes:
CORTE SAGITAL CON CADERA ADDUCCIÓN FORZADA, observa la colocación de la sonda y de la/el paciente, la sujeción ejercida por el familiar.
SAGITAL CUT WITH HIPS FORDUCED ADDUCTION, observes the placement of the probe and the patient, the restraint exercised by the relative.


CORTE SAGITAL CON CADERA NEUTRA (PIERNA ESTIRADA), como marca la flecha azul es momento de estirar la pierna, con este movimiento vamos a cambiar la posición de la articulación y se nos va a meter el trocánter mayor dejándonos su sombra posterior (flecha blanca), esto será un criterio de calidad para saber que lo estamos haciendo bien.
SAGITAL CUT WITH NEUTRAL HIP (STRETCHED LEG), as it marks the blue arrow it is time to stretch the leg, with this movement we are going to change the position of the joint and we are going to get the greater trochanter leaving us its posterior shadow (white arrow) , this will be a quality criterion to know that we are doing well.


CORTE TRANSVERSAL CON CADERA NEUTRA, esta corte es complementario, pero no es vital para el estudio.
TRANSVERSAL CUT WITH NEUTRAL HIP, this cut is complementary and is not vital for the study.


Hemos descrito el estudio en inmovilización, o técnica de Graf. Esta técnica también puede hacerse dinámica para valorar estabilidad en movimiento.
El trabajo de la Radióloga o radiólogo es valorar básicamente dos aspectos:
El Recubrimiento Acetabular: En esta imagen tenemos una línea que es imaginaria y que sería la que proyectaría el Iliaco si continuásemos su trazada…bien, esta línea divide la cabeza femoral en dos partes, donde la parte profunda (línea negra) de la circunferencia tiene que ser mayor que la parte superficial (línea blanca).
Se valorará el porcentaje de recubrimiento acetabular que debe ser Mayor o igual a 60%, como en la imagen inferior, siendo 50% si la circunferencia fuese dividida en dos partes iguales.
We have described the study in immobilization, or Graf technique. This technique can also be made dynamic to assess stability in movement. The work of the Radiologist or radiologist is to assess basically two aspects: The Acetabular Coating: In this image we have a line that is imaginary and that would be the one that would project the Iliaco if we continued its trajectory … well, this line divides the femoral head into two parts, where the deep part (black line) of the circumference must be greater than the surface part (white line). The percentage of acetabular coating that must be greater than or equal to 60%, as in the lower image, will be assessed, being 50% if the circumference were divided into two equal parts.

El Grado de Madurez, que vendrá dado por el ángulo alfa, que es el ángulo formado por el iliaco y acetábulo o techo óseo, a medida que aumenta, indica mayor madurez siendo:
- + de 60º siempre normal
- Entre 50º y 60º normal si la/el bebé es menor de 2 meses y patológico si es mayor de 2 meses de edad
- Ángulo Alfa menor de 50º será siempre siempre patológico
The Degree of Maturity, which will be given by the angle alpha, which is the angle formed by the iliac and acetabulum or bone ceiling, as it increases, indicates greater maturity, being: + 60º always normal Between 50º and 60º normal if the baby is less than 2 months old and pathological if it is older than 2 months of age Alpha angle less than 50º will always be always pathological

Clasificación para hallazgos ecográficos a tener en cuenta:
- CADERA INMADURA
- –Cobertura acetabular > 60%
- –Ángulo alfa < 60º
- –En la maniobra de stress no se modifica
- –Se normaliza sin ningún tratamiento, requiere control ecográfico.
- CADERA INESTABLE
- Ángulo alfa < 60º
- Se luxa con la maniobra de stress
- CADERA SUBLUXADA
- Ángulo alfa 50º-40º
- Deformidad del acetábulo
- CADERA LUXADA
- Ángulo alfa <40º
- Cabeza del fémur fuera de la cavidad acetabular
Existe un ángulo Beta que no lo voy a incluir puesto que está en desuso.
Classification for sonographic findings to consider:
HIP IMMATURE – Acetabular opening> 60% -Angle angle <60º -In the stress maneuver it is not modified -It is normalized without any treatment, requires ultrasound control.
UNSTABLE HIP Alpha angle <60º It luxates with the stress maneuver
SUBLUXED HIP Alpha angle 50º-40º Acetabulum deformity
LUXATED HIP Alpha angle <40º Head of the femur outside the acetabular cavity
Para terminar solo me queda mostrarte como se ve una exploración normal y otra patológica:

Las imágenes hablan por si mismas, la perfecta correlación de estructuras en la armónica normalidad y la ausencia de ángulo entre iliaco y acetábulo en la patológica…
The images speak for themselves, the perfect correlation of structures in harmonic normality and the absence of angle between iliac and acetabulum in the pathological .
Una máxima de la ecografía de cadera neonatal dice que UNA CADERA PATOLÓGICA JAMÁS CONSEGUIREMOS VERLA NORMAL, pero UNA CADERA NORMAL SÍ PODEMOS HACER QUE PAREZCA PATOLÓGICA, mira:
A maxim of neonatal hip ultrasound says that ONE PATHOLOGICAL HIP NEVER WILL WE SEE IT NORMAL, BUT A NORMAL HIP IF WE CAN MAKE IT LOOK PATHOLOGICAL, look:

La mala práctica induce a error en el diagnóstico, muchxs pacientes, con patología de caderas deben llevar arnés de Pavlik, la técnica correctamente ejecutada anula posibles errores de diagnóstico.
The bad practice leads to error in the diagnosis, many patients, with pathology of hips must wear Pavlik harness, the correctly executed technique cancels possible diagnostic errors.
Naranjas en Agosto…
Amigo: tu blog terminará en las cátedras de medicina…o en los cuadernos de los mejores estudiantes .¡Felicidades y buenas fiestas!
Me gustaLe gusta a 1 persona
Mil Gracias, no sabe usted lo que me ayudan sus palabras a seguir…
Me gustaLe gusta a 1 persona
al menos en argentina, los medicos en diagnostico hacemos cortes axiales y coronales de la cadera, asi como coronales posteriores, donde evaluamos la luxacion posterior de la cabeza femoral, nos ubicamos en el plano coronal que usted muestra, nos situamos posterior, hasta visualizar el cartilago triradiado solo, y realizamos la tecnica de push and plug, y si logramos ver la cabeza femoral es que hay desplazamiento posterior de la misma
Me gustaMe gusta