287. Tumor indeterminado.

Te traigo este caso, paciente ingresado por estudio de masa intraabdominal.

Diagnóstico diferencial de tumor del estroma gastrointestinal (GIST), linfoma, sarcoma, carcinoide, tumor desmoide y mesotelioma peritoneal primario.

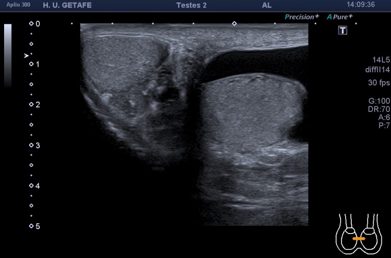
Se pide ecografía testicular por sospecha de hidrocele secundario a afectación del cordón por el tumor intraabdominal, a filiar. No se pudo poner contraste en el CT.

Imágenes:

En la exploración observamos hidrocele unilateral izquierdo. En el canal inguinal puedes ver una estructura similar a una hernia inguinal, que con la maniobra de valsalva permanece inmóvil y por tanto no compatible con hernia a ese nivel de comportamiento normal y que podría estar provocando el hidrocele anteriormente referido.

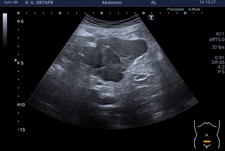
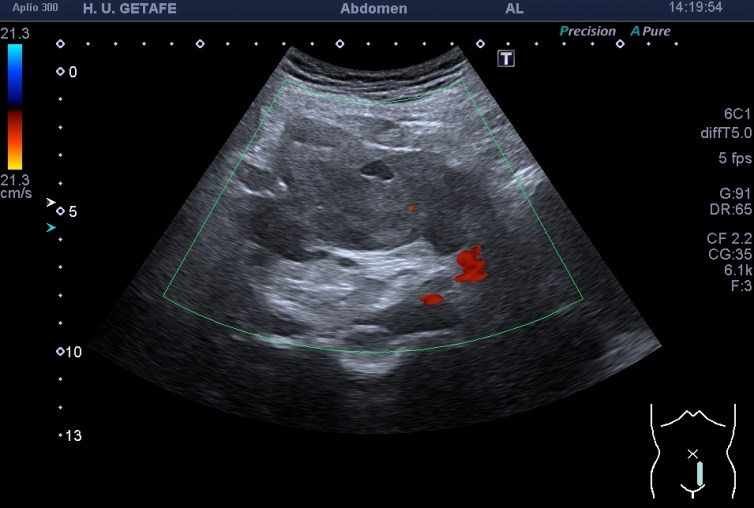
Con la sonda convexa exploré la región pélvica. Masa hipogénica heterogénea,(posibles zonas de necrosis), de contornos lobulados y mal definidos, de aspecto infiltrativo, centrada en el mesosigma. La lesión no depende del sigma, pero está pegada a ella.

Me ha parecido un caso muy completo, a falta de un diagnóstico final, varias patologías asentadas en el espacio intraabdominal que pudieran estar ocasionando una patología extraabdominal. Nos hace comprender como todo está relacionado o pudiere estarlo, todo conectado. No confíes nunca, explora…no dejes de aprender.


La segunda edición de Eco Fácil editado por Marbán está a la venta.

Nuevos protocolos Doppler de Alejandro Soriano Valencia.

Un capítulo dedicado a la exploración del Tórax, básico.

Un capítulo precioso de María Leal Gondra sobre los valores y medidas normales de ecoestrusturas de uso habitual en los protocolos que describe el libro.

Jamás podría imaginar que tras subir aquella cima que me costó tanto, que me hizo sufrir tanto, hoy vuelva a estar arriba, y es maravilloso volver a ver la vista, hoy miro el paisaje con otros ojos muy distintos. He aprendido tanto…Soy tan distinto…


1000 Gracias.

 

5 comentarios sobre “287. Tumor indeterminado.

Deja un comentario