En ocasiones tenemos que revisar pacientes que llegan a la sala con una mastectomía y debemos estudiar la mama que aún queda y la cicatriz y la axila de la mastectomía correspondiente, en ocasiones podemos encontrar una prótesis, en otras, grasa de colgajo abdominal, en otras nada…la cicatriz.
En el caso de esta mujer, llegó a la sala con una doble mastectomía por un carcinoma ducal infiltrante bilateral síncrono con reconstrucción autóloga. Revisiones normales.
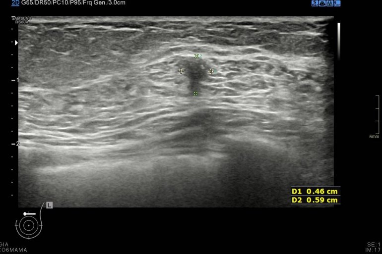
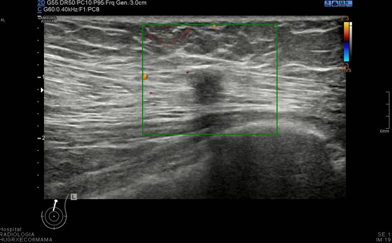
Durante la exploración se observan cambios secundarios a mastectomía bilateral, pero en línea intercuadrántica superior de mama izquierda, en el espesor del musculatura pectoral vi un nódulo hipoecogénico de 6 mm de bordes irregulares (imágenes 2 a 5) que me pareció muy feo, me asusté y aunque no era palpable inmediatamente se lo comenté a la doctora encargada de la exploración, lo calificó de Birads 4C y le pidió resonancia magnética.
Imágenes:

Lo primero de todo la anatomía de la ecoestructura, es vital para comprender lo que se ve. Además ligada con la semiología, puedes ver como la grasa de la reconstrucción con colgajo abdominal es muy parecida a la grasa normal que puedes encontrar en la mama que no ha sido intervenida. Siempre tener una visión global de la ecoarquitectura, conocimiento de la normalidad de todos los tejidos englobados en la ecografía y eventual mamografía de la mama para poder localizar cambios anómalos.




Tras los estudios posteriores realizados como ampliación de estudio, arrojaron cambios postquirúrgicos en el pectoral que explicaban la imagen descrita anteriormente y que puedes ver en la imágenes que te he puesto.
Afortunadamente fueron buenas noticias, el resultado fue benigno a pesar de la alta sospecha, a consecuencia de los cambios posquirúrgicos que afectaban a la porción muscular de la exploración ecográfica. Siempre en mamas operadas los cambios postquirúrgicos pueden ofrecer zona llamativas, nosotros siempre atentos y ante cualquier duda lo dejamos reflejado en el pre-informe o se lo contamos directamente a la radióloga responsable, nunca nos quedamos con dudas, siempre documentar los hallazgos correctamente con máxima calidad de imagen, siempre es nuestra carta de presentación.
Te dejo este Post, cortito, en esta calurosa noche-madrugada de verano, que me super encanta…
Es un placer para mi poder anunciar en este Blog un evento en el que unos cuantos EcoAdictos, que me superencanta, llevamos trabajando incansable en esta maravillosa locura que se va a celebrar en Octubre 2022, los día 13,14 y 15. Es el I Congreso Nacional de Ecografía para TSID que se va a celebrar en la fecha indicada en el Hospital Universitario de Getafe auspiciado y organizado por el Colegio Profesional De Técnicos Superiores Sanitarios de la Comunidad Valenciana.
El congreso dispondrá de magníficas comunicaciones científicas presenciales, que serán también emitidas en streaming, talleres prácticos y muchas más cosas que pronto irán saliendo a la luz.
Seguimos trabajando incansablemente en poder ofrecer más información y muy pronto estará disponible. Hasta el momento te dejo el vídeo donde tienes la información de la que se dispone ahora momento, espero que te guste y te reserves esos días.
Video de Instagram:
Video de Youtube:
Las cosas buenas siempre llegan a aquellos que SE ROMPEN EL ALMA PARA CONSEGUIRLO.
Soy ginecologa obstetra principiante en ecografia recién voy cursando un diplomado. Me gustaría aprender más. El congreso tendrá acceso virtual? Ya que soy de Bolivia Santa Cruz de la Sierra. Gracias de antemano
Me gustaMe gusta
Lo tendrá
Me gustaMe gusta