Durante todos los años que llevo dedicado a la ecografía he tenido la oportunidad de probar muchísimos equipos, muy buenos y muy malos. Si sigues el Blog en redes sociales como instagram habrás podido ver que os he explicado en estos últimos días cómo están evolucionando los equipos, cada vez más modernos, cada vez con menos comandos en la botonera y más dependientes de menús digitales. Los equipos son cada vez más inteligentes, poseen, incluso, big data en los top de gama de las casas comerciales más potentes.
Esta semana he tenido la suerte de probar uno de estos equipos, el Logiq E10 de Ge. Me ha sorprendido enórmemente porque la evolución es sustancialmente mejor que los equipos más modernos que había tenido la oportunidad de probar. Son muchos los recursos que posee este equipo, Inteligencia Artificial, Fusión…ya os iré contando más adelante este tipo de avances, pero hoy quiero contarte algo…me sorprendió los nuevos «doppler», y me explico…En los modos de trabajo tenemos el modo 2D, Doppler Color, Power Doppler y luego el Doppler pulsado para hacer registros, bien los nuevos equipos viene con una evolución en este ámbito que me gustaría contarte.
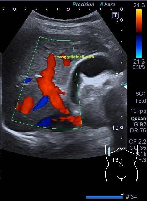
Os voy a dejar una serie de imágenes, quiero que observes como desde la imagen 1 a la imagen 7 el paso del tiempo ha ido cambiando este modo de trabajo, como el avance tecnológico ha ido modelando estos modos de trabajo Doppler en una misma ecoarquitectura muy estudiada como la vena porta en su acceso transcostal, mira:







La imagen 1 era la de un muy buen equipo cuando yo empecé, la imagen 7 es la mejor que he visto hasta hoy día.
La imagen 2 y 3 fue nuestro día a día eco tras eco…doppler color y doppler power, durante años modos de trabajo muy usados, cada vez más, cada vez aportaban más información, un buen doppler siempre habla bien de un equipo de ecografía. Si quieres repasar los conceptos básicos de del Doppler que nos contó Alejandro te lo enlazo para que puedas revisarlo, él es el experto en Doppler y te lo cuenta genial.
Básicamente te cuento que hemos usado el doppler durante décadas para detectar el flujo de los vasos y su velocidad, para ver lesiones y como están vascularizadas, incluso para detectar litiasis. Buscamos flujos rápidos (doppler color) o flujos más lentos (doppler power)…Hoy en día estudiamos estructuras que requieren implementar su estudio con otras técnicas, en ocasiones, para ver cómo es la vascularización de algunas lesiones debemos emplear el contraste ecográfico, por ejemplo.
Los últimos avances en el doppler permiten ver microvascularización en tiempo real, permiten ver cómo son algunas lesiones como los hemangiomas, que pueden ser vistos y estudiados sin necesidad de contraste ecográfico y este tipo de avances son tremendamente sustanciales, reducen molestias al paciente, tiempos de exploración y diagnóstico y por supuesto, gasto.
Son imágenes que se van a ir incorporando a nuestro día a día, el I+D siempre da sus frutos, son estables a largo plazo y las multinacionales siempre quieren mejorar sus equipos. La inversión en alta tecnología siempre sale rentable.
La imagen 4 ya fue un cambio brutal en calidad, pero las imágenes 5,6 y 7 son distintas.
La imagen del doppler color, la de la imagen 5, el color es más voluminoso, parece un color espacial y metálico, mucho más sensible y visual.
Lo realmente importante viene en la imagen 6, se llama Bi Flow, es una técnica «no doppler» y permite estudiar flujos sin tener en cuenta aspectos técnicos como la angulación, es decir, si hay vascularización, la vamos a detectar, suprime el tejido para visualizar el flujo real sin sobrescribir los vasos. Esto me parece absolutamente revolucionario. Es una técnica sustituta del modo angio y podría ser sustituta del modo angio habitual.
La imagen 7 es un submodo de power doppler para capturar el flujo de vasos pequeños muy lento. Esta tecnología mejora la visualización de los vasos muy pequeños, es ideal para estudios tendinosos, ideal para tendinosis y estudio de regiones muy pequeñas, procesos patológicos articulares, en fin, es un gran avance para estudios de ecografía muscular y otros estudios que necesitan visualización de pequeños vasos, por ejemplo en transplante renal, ecografía testicular y otros. En este submodo de trabajo podemos individualizar el vaso sin ver el tejido que lo rodea o tenerlo visible a nuestro gusto
Siempre he dicho que la ecografía avanza como ninguna otra técnica de imagen. Entre la imagen 1 y 7 han podido pasar tan sólo 15 años, lo mejor, es lo que esta técnica puede crecer y la cantidad de información que nos proporcionará. Vivir en un futuro constante habitualmente es malo, pero su parte buena es que te permite saber que las cosas en un futuro pueden mejorar nuestro mundo, este post de hoy es la prueba.
No sé muy bien dónde atracará este barco que está muy cerca de los 200 puertos…no lo supe cuando empecé y no lo sé hoy, pero estoy aprendiendo y disfrutando del viaje, dicen que es lo que importa, aunque a mí, lo que de verdad me importa es que te sirva a TI.
Una playa, una cálida y tranquila puesta de sol…y ya.
Hola dr…
Mi nombre es David Arango. Soy médico veterinario, director junto con mi esposa (veterinaria también) de la Unidad de Diagnóstico Veterinario por Imagen UDIVET, quiero participarle que me ha gustado mucho sus publicaciones,.. comparto la idea de ser fanático de la ultrasonografía, y solemos ser apasionados en nuestra empresa con cada cosa nueva que diagnosticamos. Por fortuna muchos de los conceptos que usted ha plasmado aquí, tienen igual aplicabilidad en nuestro campo, al punto que hace un año en una inspección de rutina con uno de nuestros equipos, me encontré una lesión sólida, que tras un año de incertidumbre, excesivo ego de los colegas de salud humana y pruebas no concluyentes (mal enfocadas, en nuestro concepto), terminó en intervención quirúrgica, dando como resultado un tumor intestinal de células estromales, a mucha sorpresa de los colegas médicos.
Hay muchas cosas en los conceptos Doppler que me han gustado de sus publicaciones y sin querernos meter en el ámbito humano, nos han Sido de gran utilidad, para entender muchas de las manifestaciones de nuestro propio cuerpo, y que a su vez, nos llevan a entender mejor el de nuestros pacientes animales.
Sin más extenderme, queremos agradecerle por tan alto esfuerzo, de convertir sus conceptos, en algo para todos y, sepa usted, han Sido también muy útiles para las cosas que hacemos en salud animal.
Nos gustaría que echara un vistazo de nuestro trabajo, si no es molestia, en nuestra página de facebook, udivetcol Arango ballén, o en Instagram, @udivetcol.
En verdad, queremos estar en la vanguardia de las nuevas tecnologías, y saberles dar un buen uso en veterinaria. Así como con lo nuevo del doppler, como con elastografía y demás técnicas que ya poco a poco están tomando lugar en nuestra profesión.
Reciba un cálido abrazo y reconocimiento, desde Bogotá, Colombia.
Cordialmente
Equipo UDIVET Colombia.
Me gustaMe gusta
David, como vegano que soy por respeto a los animales, no sabe lo que me alegra leerle. Espero poder ayudarles indirectamente con esta divulgación a los animales a través de sus manos. Salud y Suerte.
Me gustaMe gusta