En este largo post vamos a estudiar dos cosas, un caso, como la Ectopia Renal Cruzada y vamos a ver como los equipos intervienen de modo general en la imagen, pero lo primero es lo primero…
La Ectopia Renal Cruzada es una patología que vemos en pocas ocasiones. Normalmente cuando hacemos una ecografía abdominal «todo está en su sitio», pero en ocasiones, podemos ver que hay órganos que «faltan», es cuando preguntamos al paciente aquello de «está usted operado de algo», a lo que la/el paciente responde, «no, porqué…»y tras unos segundos, otro clásico…»Es que me ha visto algo…?»…Sí nos ha pasado a todxs.
En esta ocasión lo que me pasó es que me faltaba, de su lugar habitual, el riñón derecho, en esta caso específico la paciente era de pediatría, y sabíamos por ecos de control, la patología de base, que a su vez, había sido descubierta en una ecografía antenatal.
En otros casos, la paciente puede ser perfectamente una adulta que consulta por otro motivo y es entonces donde hacemos el descubrimiento, aunque este es un caso que se da más raramente debido a los controles antenatales.
En este caso concreto hacemos seguimiento de una ectopia renal cruzada, figura que es variante de la ectopia renal, que puede ser simple o cruzada, que a su vez, si es cruzada, puede ser con o sin fusión con el riñón contralateral.
De forma general, cuando un/a paciente no ha sido operadx de riñón, pero alguno de los dos no está en su localización normal lo primero que vamos a buscar es que sea un riñón ectópico, normalmente pélvico, pero también existen otras localizaciones como puede ser la torácica, estas localizaciones últimas, son «raras avis…»
Una vez localizado el riñón ectópico hay que estudiar anatomía, observar si hay fuSión o no y su funCión. La función la estudiaremos con imágenes en Modo B y también Doppler. Eso es lo que hicimos con este caso que te paso a mostrar en imágenes y te voy explicando poco a poco ya que son muchísimas imágenes, estás listx, vamos…

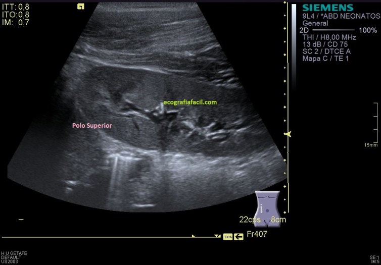
Es una imagen la 1 donde vemos un riñón derecho cuyo acceso es posterior, es decir, con la paciente en decúbito prono, usando una sonda lineal de alta frecuencia, con apertura de campo de visión (trapezoide), simulando una sonda cónvex, pero fíjate en la porción superior de la imagen como la sonda es lineal.
Para empezar el riñón está ligeramente más bajo de lo habitual, pero morfológicamente es precioso, se objetiva fenomenal, cortamos ambos polos, por el tamaño de casi 9 cms, nos habla de un paciente pediatricx, pero en torno a los 10 años. Sin son delgados, recomiendo siempre acceso posterior, paralumbar. Se observa la musculatura y el riñón, en este caso homogéneo y morfológicamente normal.


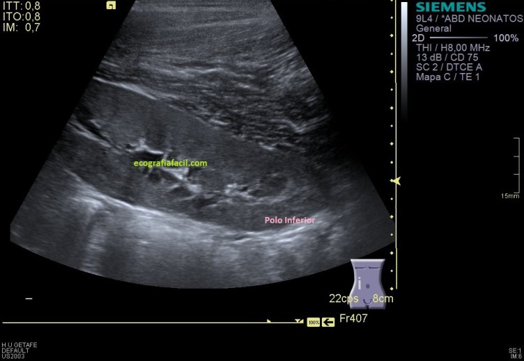
Como en la imagen 1 no he podido ver los polos, tengo que poder demostrarlos aunque tenga que estudiarlos de modo individual, polo superior en una,imagen 2 y polo inferior en otra, imagen 3.

Corte axial. Normal…

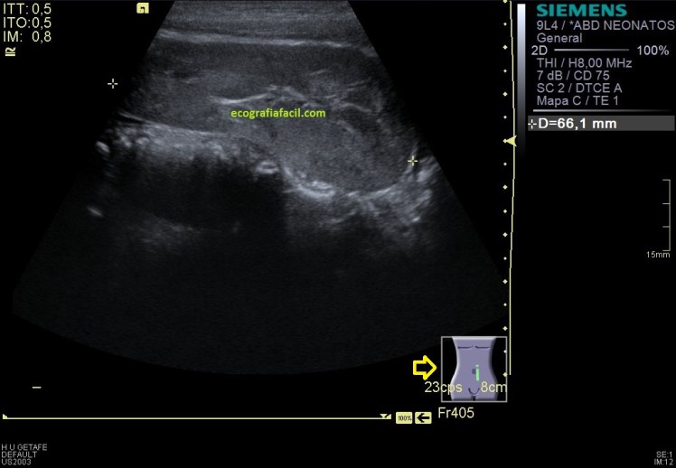
En el lado izquierdo no encontré el riñón en su localización normal, en decúbito prono, ya sabía que era ectópico, tuve que colocar a la paciente en decúbito supino y buscarlo pélvico, junto a la región umbilical se encuentra el RI, malrotado (posición anómala) de características normales morfológicamente hablando, observo polo inferior, pero no del todo, eso lo hago como puedes ver en la imagen 6.


Hago corte axial, la imagen no es limpia, es un riñón ectópico y malrotado, no vamos a conseguir una imagen perfecta…

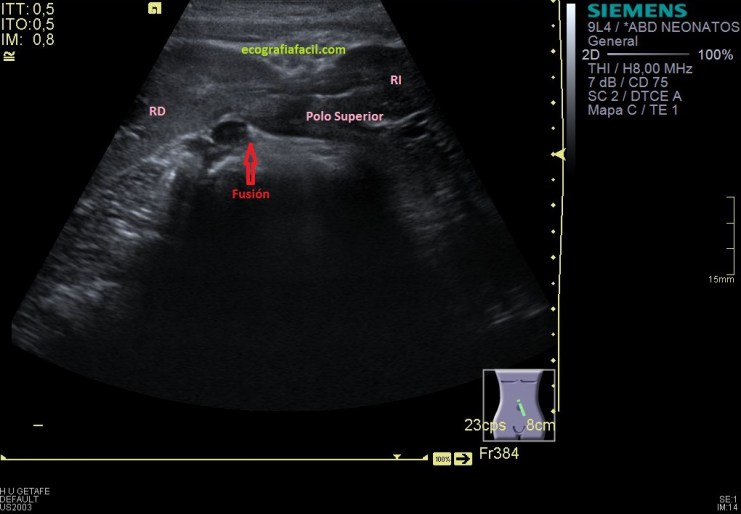
Y nos quedaba buscar el polo superior, imagen 8, buscándolo nos encontramos que este polo superior está unido al polo inferior del RD, sí lo sabía, pero el protocolo de búsqueda de ambos polos renales individualizadamente te garantiza que este tipo de malformaciónes, tipo riñón en herradura, no se escapen. En este caso se ve fenomenal, como ambos polos están, unidos entre sí


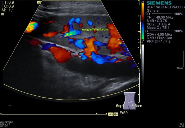
En la imagen 9 y la 10 del RD valoramos la vascularización cualitativa del órgano, vemos que su vascularización es rica, homogénea, de aspecto normal con las dos técnicas. Lógicamente en modo angio o doppler power vemos una vascularización más importante ya que a la vascularización de flujos rápidos (Doppler Color) le sumamos la vascularización de flujos más lentos (Doppler power).

En la imagen 11 vemos una valoración cuantitativa en doppler espectral con valores señalados de 840 cm/sg de aceleración, que es muy importante que esté en valores superiores a 300 cm/sg para ser normal y se mide en la fase de sístole, al comienzo, en la primera pendiente, que corresponde con la R del trazado electrocardiográfico, hasta que esta pendiente llega a lo más alto o hace una ligera bajada. Observa en la imagen 11 donde se hace la medida y compara con la imagen 14, cómo el espectro es diferente, es normal.



Las imágenes 12,13 y 14 son el doppler y el doppler pulsado del riñón izquierdo, que aunque malrotado y ectópico mantiene un aspecto normal tanto en modo B, como en el doppler color y en el modo angio o doppler power. El espectro es normal, con valores de aceleración superiores a 300 cms/sg.

La imagen 15 no es una imagen de ecografía como ya habrás visto, es una imagen de Medicina Nuclear, se hacen después de introducir un radiotrazador y ver cómo se distribuye por el parénquima renal y estudiar la funcionalidad del órgano. La utilidad de la gammagrafía con ácido dimercaptosuccínico (DMSA) marcado con Tc99 es conocida en estos casos y es protocolaria en este estudio del tracto urinario en pediatría.


Aprovechando que el Pisuerga pasa por Valladolid, quiero hablarte en este Post de la calidad en la imagen ecográfica. Las imágenes 16,17,18 y 19 son de estudios anteriores de la paciente, del año anterior. La marca es la misma, la diferencia de la exploración es de 1 año entre las imágenes, pero ves que la calidad entre ellas difiere muchísimo.
Me viene genial este caso para hablarte de la resolución de la imagen, que depende de muchas cosas, te lo enlazo para que lo repases, pero quiero que hoy te quedes con la siguiente idea. Cuando realizamos ecografía, una parte vital del éxito de la prueba de la consecución de los hallazgos es la calidad de los equipos, su gama, es decir, si son de gama alta, media o baja y del estado general del equipo. Lógicamente, un equipo de gama alta te dará mejores imágenes, la comparación de la imagen 18 y 19 son muestra inequívoca de ello, misma paciente, mismo órgano, misma proyección, pero distinto equipo. Una imagen vale más que mil palabras, así que observa.
Los transductores también se deterioran, van perdiendo calidad con el paso del tiempo, tienen una «vida», cuando son reemplazados por sondas nuevas se nota mucho. Una sonda necesitará reemplazarse en función de cada marca, pero a partir de quinto año de vida las muestras de agotamiento de la sonda es evidente en la imagen, en equipos de marcas low cost, los tiempos de durabilidad son más cortos.
Entre la 16 y la 17 puedes ver, el mismo RD estudiado con sonda cónvex y sonda lineal, en el mismo instante, muchas veces, los niños están en esa edad en la que debes usar las dos sondas, porque son del tamaño intermedio que ni son pequeños para estudiarlos con la sonda lineal ni lo suficientemente grandes como para usar de baja frecuencia, por la calidad y la nitidez de imagen, siempre recomiendo usar en la medida de lo posible con sondas lineales de alta frecuencia, como norma general, siempre usaremos la frecuencia más alta disponible para el estudio que estemos ejecutando.
En resumen, la calidad del equipo que manejamos, sus ajustes y configuración de presets, el estado general del equipo y la edad y el estado de las sondas interviene de manera decisiva en la imagen que finalmente vamos a conseguir.


Compara las imágenes y saca tus propias conclusión.
MUY BIEN ________________________________
Me gustaMe gusta
gracias
Me gustaMe gusta
Excelente e interesante caso me encantan tus blogs! Fan
PD: como podemos identificar un equipo de alta, media o baja gamma? Que es lo principal en buscar en un buen equipo?
Me gustaMe gusta
Básicamente en función de la calidad de imagen. A mayor calidad, más gama, más caros también.
Muchas gracias por leerme.
Me gustaMe gusta