¿Alguna vez has pensado que el apéndice xifoides pudiera ser objeto del estudio con la técnica de ecografía? Hoy vas a ver que sí, que sí se puede. Mira…
Es habitual, bastante más de lo que parece, pacientes que se tocan un bulto en línea media justo donde termina el esternón, a la altura de la Apéndice Xifoides y acuden a su médico por este motivo. A la palpación el médico corrobora dicho hallazgo y para descartar patología a dicho nivel pide ecografía de partes blandas para descartar cualquier tipo de neoformación.
Cuando el/la paciente llega a la sala exploramos la zona de interés y solemos encontrar que el apéndice xifoides está posicionado hacia anterior como vemos en la imagen 1. Lo ideal es realizar localización en corte axial para poder descartar una apéndice bífido, es una anatomía variable, en este caso te presento un apéndice cuya disposición es bífida, puedes repasar aquí los diferente tipos que podemos encontrar.


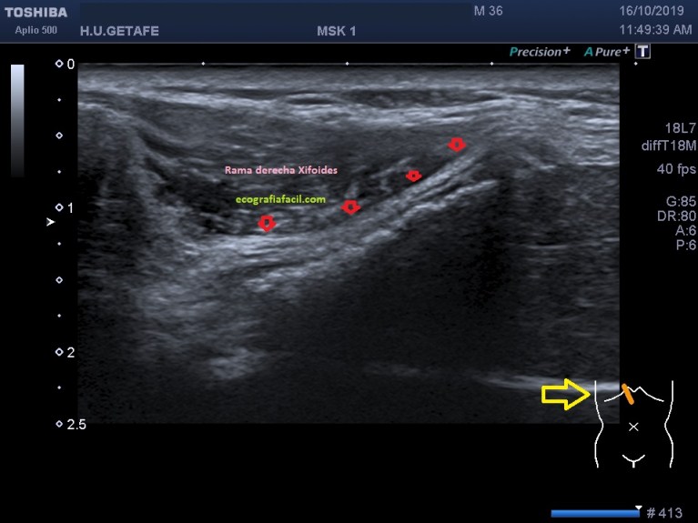
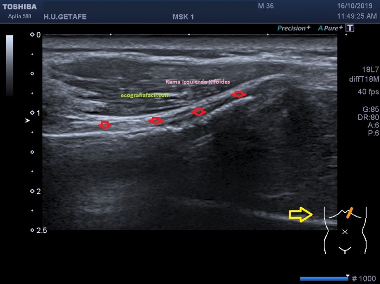
En la imagen 2 se observan claramente dos líneas que se angulan hacia anterior. Esas dos imágenes, ecográficamente corresponden a la imagen 3…

Se evidencia una imagen donde el apéndice xifoides parece terminar en dos, bífido. Lo puedes apreciar como dos imágenes hiperecogénicas señaladas con flecha rosa, a niveles distintos, la izquierda más anterior que la derecha. En el corte longitudinal de ambas terminaciones observamos esto (imagen 4 y 5)


En la imagen 4 y 5, marcado por flechas rojas, ves ambas terminaciones, observa en las imágenes la angulación de la sonda en un corte parasagital para poder ver en toda su longitud dicha terminación en cada uno de los lados.
Se trata de certificar ecográficamente que el «bulto» que se toca el paciente tan solo es una formación «rara» del Apéndice Xifoides y no una patología. No es extraño ver este tipo de consultas.
Observar que las partes blandas de la zona no estén cambiadas ecoarquitectónicamente, que la semiología de las diferentes estructuras sea acorde a la normalidad, desde el tejido óseo pasando por la musculatura y la grasa, hará que el informe radiológico sea favorable, en condiciones normales, no hay que realizar más pruebas.
Hay batallas perdidas que son guerras ganadas…
Hola. Tengo 60 años y descubrí un bulto al final del esternón-xifoides- en enero empecé un régimen y en la pérdida de peso afloró dicho bulto. No me duele pero me produce muchos gases y un chasquido sonoro cada vez que me agacho. Ahora parece más grande que entonces. Estoy a la espera de loc ecografía y preocupado por si fuera algo grave. Mil gracias
Me gustaMe gusta