Empezamos esta serie de micro posts donde vamos a repasar la patología habitual que podemos encontrar en la exploración ecográfica abdominal pediátrica, sí ya sé, este Blog no es de patología, pero me parece interesante enseñar en la mínima expresión posible la patología y su semiología, y sobre todo, la comparación con la normalidad, que para un Técnico de Radiología es base.
Empezamos con la Hidronefrosis, y sus grados, conocer esta enfermedad nos ayudará a reconocer sus signos, y sobre todo, detente donde habla de los grados de hidronefrosis, superinteresante.
En algunas ecografía antenatales ya lxs Ginecologxs ya son capaces de detectar esta patología que luego hay que confirmar en la etapa neonatal.
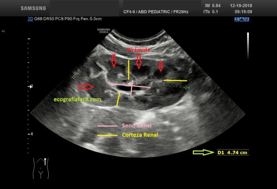
El Riñón ecográficamente normal es este:
We started this series of micro posts where we will review the usual pathology that can be found in pediatric abdominal ultrasound exploration, yes I know, this blog is not pathology, but I think it is interesting to teach the pathology and its semiology in the minimum possible expression, and above all, the comparison with normality, which for a Radiology Technician is the basis. We begin with the Hydronephrosis, and its degrees, knowing this disease will help us to recognize its signs, and above all, stop where it talks about the degrees of hydronephrosis, superinteresting. In some antenatal ultrasound and gynecologxs are already able to detect this condition that then have to confirm in the neonatal stage. The kidney, which is ecographically normal, is this:

En la imagen superior puedes ver un Riñón donde Corteza y Seno Renal están claramente diferenciados, se observa los Pielones Caliciales…
Las Hidronefrosis se pueden presentar en casos leves, como este:
In the image above you can see a Kidney where the cortex and the renal sinus are clearly differentiated, the Calyllic Champs are observed … Hydronephrosis can occur in mild cases, such as this:

Donde encontramos un «pelvis extrarrenal», anecoica, grande en la salida del riñón hacia el Uréter…El parénquima renal está prácticamente conservado, casi normal o normal…Pero en extremos graves, como la hidronefrosis de III-IV grado encontramos estas imágenes:
Where we find an «extrarenal pelvis», anechoic, large at the exit of the kidney to the ureter … The renal parenchyma is practically preserved, almost normal or normal … But in severe extremes, such as hydronephrosis of III-IV degree we find these images:

Observad que aquí el Riñón está «colapsado» por una importante cantidad de líquido dentro del órgano, lógicamente es anecoico y el parénquima renal puede verse afectado, disminuido al punto que si no se actúa el riñón podría sufrir daños en su función…
En ocasiones podemos encontrar otra figura patológica que estudiaremos en su micropost particular, el Megauréter.
Entre estos dos extremos podemos encontrar cantidad de imágenes que deberán ser interpretadas y clasificadas por lxs radiólogxs.
Observe that here the Kidney is «collapsed» by a significant amount of fluid inside the organ, logically it is anechoic and the renal parenchyma can be affected, diminished to the point that if the kidney is not acted it could suffer damages in its function … Sometimes I can find another pathological figure that we will study in its particular micropost, the Megauréter. Between these two extremes we can find quantity of images that must be interpreted and classified by the radiologists.
Música…