111. Pielonefritis.

Dentro de los procesos infecciosos que afectan al abdomen de lxs pacientes pediátricxs, destaca esta que focaliza en los Riñones y como he hablado de ellos en el Post anterior, vamos a ver los signos o semiología habitual de esta patología en esta localización, empezamos, es la Pielonefritis:

Es la inflamación tubulointersticial del riñón, en pacientes pediátricxs suele ser aguda.

– Habitualmente ocurre por infección de orina, por reflujo, o por diseminación hematógena.

– Hallazgos ecográficos:

  1. Aumento global del riñón.
  2. Alteración de la ecogenicidad. Como ves en las imágenes que te pongo a disposición, compara la normalidad con la patología y juzga…
  3. Compresión del seno renal.
  4. Masa o masas mal definidas.
  5. Gas en el parénquima renal, provocada por la inflamación.
Within the infectious processes that affect the abdomen of pediatric patients, it stands out that it focuses on the kidneys and as I talked about them in the previous post, we will see the signs or habitual semiology of this pathology in this location, we started, it is Pyelonephritis: It is the tubulointerstitial inflammation of the kidney, in pediatric patients it is usually acute. – It usually occurs due to urine infection, reflux, or hematogenous spread. – Ultrasound findings: Global increase of the kidney. Alteration of echogenicity. As you see in the images that I put at your disposal, compare the normality with the pathology and judge … Compression of the renal sinus. Mass or poorly defined masses. Gas in the renal parenchyma, caused by inflammation.

Normalidad:

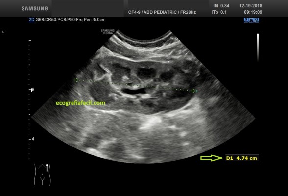
Semiología de la Pielonefritis, que puede afectar en diferentes grados, puede ser que no haya afectación, puede que sea una afectación parcial o de sólo un área del riñón, que se verá más hiperecogénica que el resto del Riñón…Mira:

The Pielonefritis, that can affect in different degrees, it can be that there is no affectation, it can be a partial affectation or of only an area of ​​the kidney, that will be more hyperechogenic than the rest of the Kidney … Look

La Pielonefritis puede afectar a todo el órgano aunque es muy poco habitual…pero muy espectacular, mira esta imagen que viene a continuación y observa la relación Hepático Renal de este Post para que veas normalidad y patología…

Riñón hiperecogénico con respecto al Hígado.

The Pyelonephritis can affect the whole organ although it is very unusual … but very spectacular, look at this image that comes next and observe the Hepatic Renal relationship of this Post so you can see normality and pathology …

Espero que hayáis visto el concepto y os gusten estas imágenes tan espectaculares, todas ellas de pacientes de pediatría.

I hope you have seen the concept and you like these spectacular images, all of them pediatric patients.

Hasta Mañana…

 

Deja un comentario