
La vesícula biliar es un órgano pequeño pero importante que desempeña un papel crucial en la digestión de las grasas.
Anatomía de la Vesícula Biliar:
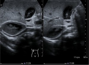
La vesícula biliar es un órgano en forma de pera que se encuentra debajo del hígado, en hipocondrio derecho.
Tiene un cuello que se conecta con el conducto cístico y un cuerpo que se compone de tres partes, cuello, cuerpo y fundus.
La pared de la vesícula se compone de varias capas, siendo la más externa la serosa, seguida de la muscular, la submucosa y la mucosa interna. No debe verse en ecografía por encima de los 3 mm.
Anatomía Ecográfica de la Vesícula Biliar:
- Vesícula biliar: Visualizada como una estructura en forma de pera, que puede variar en tamaño según la cantidad de bilis que contenga. Su pared aparece como una línea hiperecogénica y suele tener un grosor menor a 3 mm.
- Lumen: Es la cavidad interna de la vesícula biliar donde se almacena la bilis. Se visualiza como una zona anecoica (sin ecos) rodeada por la pared hiperecogénica.
Patología de la Vesícula Biliar Vista por Ecografía:
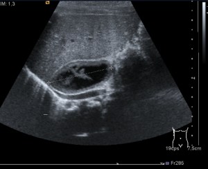
- Barro biliar: El barro biliar es un material espeso formado por partículas de bilis que se acumulan en la vesícula biliar. En la ecografía, se visualiza como un sedimento ecogénico en el lumen de la vesícula, que puede ser móvil o adherente a la pared.
- Colelitiasis: La colelitiasis se refiere a la formación de cálculos biliares en la vesícula biliar. Estos cálculos se pueden identificar en la ecografía como estructuras hiperecogénicas dentro de la vesícula. Pueden variar en tamaño y cantidad. Las colelitiasis deben ser estructuras móviles con sombra acústica posterior e hiperecogénicas.
- Pólipos vesiculares: Los pólipos vesiculares son crecimientos anormales de tejido en la pared de la vesícula biliar. En la ecografía, aparecen como proyecciones o masas ecogénicas que se proyectan hacia el lumen de la vesícula. Deben estudiarse con el zoom para precisar su medida, por encima de 7-10 mm deben ser controlados y son susceptibles de cirugía, y nunca deben tener vascularización interna.



Salió el 🌞!!!
























