
Paciente de 32 años que acude por dolor bilateral de ambos pies a la altura de la región lateral de la cabeza del quinto metatarsiano.
A la paciente se le pide la radiografía de ambos pies y la ecografía. La sospecha es el Juanete del Sastre. Esta afectación es una inflamación dolorosa de la cabeza del quinto metatarsiano.
Se manifiesta con dolor y aumento de partes blandas de esa localización, suele ser bilateral y postural, de facto, que el nombre de la patología viene dada por la postura que los sastres adoptaban cuando cosían con las piernas cruzadas presionando la porción lateral de la cabeza del quinto metatarsiano.
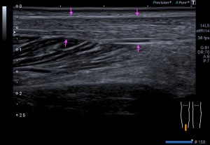
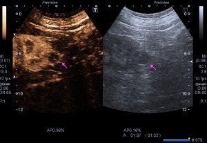
La radiografía revela aumento de las partes y se refrenda en la ecografía como puedes ver en la imagen aunque aún no hay afectación en el hueso en el caso que te presento hoy.
Llegado el caso está enfermedad tiene una clasificación según su afectación tipo 1 a tipo 3 y su diagnóstico es radiográfico.



Ecografícamente y debido a su levedad, en el caso de hoy solo observamos cambios en las partes blandas de la cara lateral de la cabeza del quinto metatarsiano, este tejido se muestra heterogéneo, la cortical del hueso ligeramente prominente sin afectación de la misma.
Feliz Semana Santa






















