349. El Triplex. Exploración Doppler en tiempo Real.

Te has fijado que cuando haces un Doppler la imagen se detiene cuando activas el Doppler Espectral?

Sabías que es posible hacer una exploración vascular en tiempo real usando el Doppler Espectral?

Se llama Triplex. Y es un comando de tu equipo.

✨ ¿En qué consiste el Método Triplex? Verás, El Método Triplex es una técnica avanzada utilizada en la ecografía vascular para evaluar el flujo sanguíneo en los vasos del cuerpo.

Combina tres modalidades en un solo instante: la imagen en escala de grises, el Doppler color y el Doppler espectral. ¡Es como tener una visión tridimensional del sistema vascular en tiempo real! 🌐

Modos de trabajo Doppler. Aplio A.

Y te preguntas seguro que si es tan interesante, por qué motivo no lo usamos siempre…efectivamente tiene un problema importante. La cantidad de recursos que necesitamos del equipo enlentece la imagen. Hace que baje mucho su resolución.

Método Triplex

Es un recurso. En casos complejos, vasos muy pequeños, o exploraciones muy complejas. Es por este motivo que su uso es circunstancial e incluso residual.

Lo usas?

348. Doppler. Tipos y técnicas.

Para explicarlo muy sencillo:

Hay dos tipos de Doppler: Continuo y pulsado.

Del pulsado se generan tres usos o técnicas, Doppler Espectral, Doppler Color y Doppler Power, o Modo Angio.

Desarrollo sencillo:

En el ámbito clínico, contamos con dos tipos de sistemas de doppler para evaluar el flujo sanguíneo:

  1. Doppler Continuo (CW): Este sistema utiliza un transductor que emite y recibe señales simultáneamente. Con esta técnica, se pueden capturar todos los flujos y movimientos a lo largo del haz de ultrasonido sin determinar la posición o profundidad exacta del vaso sanguíneo. Una ventaja significativa del doppler continuo es su capacidad para medir velocidades muy altas, como las presentes en las cavidades cardiacas.
  2. Doppler Pulsado (PW): En este sistema, se envían pulsos de ondas de ultrasonido que interrogan el vaso sanguíneo. Después de cada pulso, se espera a recibir la información antes de enviar el siguiente. Esta técnica permite una mejor discriminación espacial, ya que se puede estudiar de manera precisa un vaso sanguíneo específico.

En el sistema doppler pulsado, existen tres técnicas comunes para codificar cambios de frecuencia o velocidades:

a. Doppler Espectral: Esta técnica muestra la información de velocidad en función del tiempo. Se representan las velocidades en el eje vertical y el tiempo en el eje horizontal, lo que permite analizar los cambios en el flujo sanguíneo a lo largo del tiempo.

Doppler Espectral

b. Doppler Color: Utiliza un mapa de colores para representar las velocidades relativas del flujo sanguíneo en tiempo real. Esto proporciona una visualización rápida y sencilla de áreas de flujo sanguíneo anormal.

Doppler Color

c. Doppler Poder o Power Angio: Muestra la potencia de los ecos de ultrasonido reflejados por el flujo sanguíneo. Proporciona información sobre la presencia e intensidad de los flujos sanguíneos, aunque no muestra velocidades precisas.

Doppler Power o Modo Angio

En resumen, tanto el doppler continuo como el doppler pulsado se utilizan en el ámbito clínico para evaluar el flujo sanguíneo.

Punto Clave:

El doppler continuo permite medir velocidades muy altas sin límites, un cristal es emisor y otro receptor, mientras que el doppler pulsado ofrece una mejor discriminación espacial y utiliza técnicas como el doppler espectral, el doppler color y el doppler poder para analizar y visualizar el flujo sanguíneo con detalle y donde un cristal es emisor y receptor a la misma vez.

347. Congreso Nacional SETSS – Granada Mayo 2023 – Resumen

Fue un placer participar, vas a ver un resumen de esos días. Días donde ganó la Profesión. María Leal y ecografíafacil.com participamos activamente y aprendimos muchísimo. Gracias a todos los que hicisteis posible esto.

Con mucha dedicación y cariño, mucho esfuerzo salió adelante un evento Maravilloso…en el enlace puede ver el Post completo. Considera asociarte, eso te hará crecer profesionalmente, nos hará más fuerte a todos.

Haz Click…👇🏻👇🏻

https://setss.es/sobre-setss/resumen-ii-congreso-nacional-setss-2023/

info@setss.es

Barcelona: 935 339 900

Madrid: 911 309 772

Resumen II Congreso Nacional SETSS 2023
VISIÓN INTEGRAL DE LAS ENFERMEDADES ONCOLÓGICAS INFANTILES

El II Congreso SETSS se ha convertido durante los días 4, 5 y 6 de mayo en un espacio de convivencia científica para más de 250 Técnicos Superiores Sanitarios. Durante la convención, que se ha desarrollado en el Hotel Abades Nevada Palace de Granada, los asistentes han podido disfrutar de unos días de aprendizaje y poner de manifiesto nuestro enorme compromiso profesional con la salud de la ciudadanía.

El congreso se ha configurado como un encuentro de encuentros de Técnicos Superiores Sanitarios, entorno al propio Congreso se han programado actos profesionales de enorme importancia para el desarrollo de la profesión y sus profesionales.

  • 4 de mayo. – I Encuentro Nacional de Coordinadores de Técnicos Superiores Sanitarios de España.
  • 4 de mayo. – Curso Gestión de Equipos en el ámbito de los Técnicos Superiores Sanitarios “El reto de dirigir personas”
  • 5 y 6 de mayo. – II Congreso Nacional de Técnicos Superiores Sanitarios “Enfermedades Oncológicas Infantiles” 
  • 6 de mayo. – Foros de debate.

4 de mayo – I Encuentro Nacional de Coordinadores de Técnicos Superiores Sanitarios de España.

En la primera parte de la mañana, se desarrolló un debate-coloquio entre la Sra. Dolors López Solé, Coordinadora de Laboratorio Clínico, el Sr. Iñigo Arribalzaga Jaureguizar, Coordinador de Técnicos Superiores en Anatomía Patológica y Citodiagnóstico, el Sr. Javier Guerrero Bravo, Coordinador de Calidad en Radiología, la Sra. María Paz Magaña Alcocer, Coordinadora de Técnicos Superiores en Dietética, y la Sra. Rebeca Márquez Parro, Coordinadora de Técnicos Superiores en Radioterapia y Dosimetría, valorando la coordinación de Técnicos Superiores Sanitarios cada uno desde una especialidad y una situación geográfica distinta.

En la segunda parte se desarrollaron dinámicas de trabajo sobre el punto de partida de la situación y el futuro con las metas por alcanzar, dirigidas por el Sr. Enrique Fernández de Giles, especialista en desarrollo organizacional. En las mismas se hizo un análisis de la situación actual y futura de la situación de la figura gestora del colectivo profesional.

El encuentro concluyó con la conferencia final Coordinador de Coordinadores, si existe, con la Sra. Alba Roset Serra, Presidenta del Comité Científico del II Congreso de SETSS y Coordinadora General de Técnicos Superiores Sanitarios en el CBD de Hospital Clinic de Barcelona.

Las conclusiones obtenidas de este primer encuentro se transformarán en un documento que la Sociedad Española de Técnicos Superiores Sanitarios – SETSS elevará a las autoridades sanitarias de todo el país.

Desde SETSS queremos valorar muy positivamente, como también lo han hecho los coordinadores TSS que participaron de este I Encuentro el cual se ha convertido en un espacio de trabajo y convivencia, que volverá a ver la luz el próximo año y la intención de la ejecutiva de SETSS es simultanearlo con iniciativas que hagan avanzar a la figura del TSS gestor.

Curso pre-congreso – Gestión de equipos en el ámbito de los Técnicos Superiores Sanitarios: El reto de dirigir personas

Se llevó a cabo la tarde del día 4, dirigidas de nuevo por el Sr.Enrique Fernández de Giles, especialista en desarrollo organizacional, se realizaron distintas dinámicas para aprender a gestionar del mejor modo las relaciones en nuestro entorno laboral, reconociendo nuestros límites, nuestra capacidad de influencia y construyendo equipos. Es necesario valorar la gran implicación y la capacidad del equipo docente para captar la atención de los alumnos durante toda la formación.

5 y 6 de mayo – II Congreso Nacional SETSS: Visión integral de las enfermedades oncológicas infantiles.

El evento ha abordado las “Enfermedades Oncológicas Infantiles” de manera general desde una visión estructurada y con el abordaje desde las diferentes especialidades, con parada para conocer los avances en el diagnóstico y en el tratamiento a través de ponencias de profesionales en el sistema sanitario nacional.

El II Congreso SETSS comenzó el 5 de mayo con la conferencia inaugural sobre Oncología Pediátrica, impartida por el Dr. Juan Francisco Pascual Gázquez, Facultativo Especialista en Pediatría, Oncohematología Infantojuvenil del Hospital Universitario Virgen de las Nieves de Granada, nos habló de ¿Qué son las Enfermedades Oncológicas Infantiles? Incidencia, manifestaciones clínicas, diagnóstico, tratamientos e impacto sobre el sistema sanitario, estuvo acompañado, como moderador, por el Dr. José Antonio Castilla Alcalá, Doctor en Medicina y Cirugía Especialista en Análisis Clínicos, Especialista de Área del laboratorio de la U. Reproducción del H.U. Virgen de las Nieves de Granada e Investigador principal del Grupo de investigación en Reproducción Humana del Instituto de Investigación Biosanitaria ibs.GRANADA.

El acto inaugural, contó con la presencia del Dr. Indalecio Sanchez Montesinos, Delegado Territorial de Salud y Familias de la Junta de Andalucía en Granada, la Dra. Blanca Fernández- Capel Baños, Directora Gerente de la Escuela Andaluza de Salud Pública, y la Sra. María Mercedes Villegas Calvo, Directora de Enfermería del Hospital Universitario Virgen de las Nieves de Granada, que acudió en representación de su Directora- Gerente; el Sr. José Joaquín Durán González, presidente de la Sociedad Española de Técnicos Sanitarios Superiores (SETSS) y la Sra. Esther García Guantes, presidenta del Comité Organizador del II Congreso SETSS.

El día continuó con la mesa moderada por Sra. Rebeca Márquez Parro, Coordinadora de Técnicos Superiores en Radioterapia y Dosimetría en el Centro de Protonterapia Quirónsalud de Pozuelo de Alarcón (Madrid) y que estaba dedicada a los Avances en el diagnóstico y tratamiento del cáncer infantil con las intervenciones del Dr. Carlos Ramos Font, Facultativo Especialista en Medicina Nuclear, y la Sra. Lola San-Matías Marín, Técnico Superior en Imagen para el Diagnóstico y Medicina Nuclear, que hablaron sobre el diagnóstico en la unidad de Medicina Nuclear, y el Dr. José Expósito Hernández, Jefe de Servicio de Oncología Radioterápica del Hospital Universitario Virgen de las Nieves de Granada, y  la Sra. Eva Montes Díaz, Técnico Superior en Radioterapia y Dosimetría, que hablaron del tratamiento de estas patologías en el servicio de Radioterapia.

Continuamos con la mesa dedicada a Biobancos y su importancia en el ámbito clínico y científico en relación con la investigación del cáncer infantil y el papel de los Técnicos Superiores Sanitarios en la que participaron la Sra. María Jesús García Expósito, Técnico superior en Documentación y Administración Sanitarias, la Sra. Ana Isabel Rodríguez Fernández y la Sra. Sherezade Jiménez Morcillo, Técnicos Superiores en Laboratorio Clínico y Biomédico y en Anatomía Patológica y Citodiagnóstico, y el Dr. Ángel Miguel García Lora, Director científico del Biobanco ibs.GRANADA, moderados por la Sra. Laura Cereceda Company, Técnico Superior en Documentación y Administración Sanitarias y en Anatomía Patológica.

En la última mesa de la mañana la Sra Yolanda Blanca Fernández, la Sra. Mª Elisa López Bua y la Sra. Montserrat Martín Céspedes, todas Técnicos Superiores en Anatomía Patológica y Citodiagnóstico, mantuvieron un debate sobre Cáncer profesional: ¿prevenir o lamentar? Esta mesa confrontó una posición favorable y otra desfavorable al uso del formol, posturas teatralizadas.

La tarde comenzó con la mesa Cáncer infantil. Pensando en el futuro donde, moderados por Sra. María José Sánchez de Arias, Técnico Superior en Laboratorio Clínico y Biomédico en el Laboratorio Reproducción, laDra. Ana Clavero Gilabert, Médico especialista en análisis clínicos y embriólogo clínico, nos habló sobre diagnóstico genético preimplantacional y el Dr. José Antonio Castilla Alcalá, Doctor en Medicina y Cirugía Especialista en Análisis Clínicos, Especialista de Área del laboratorio de la U. Reproducción del H.U. Virgen de las Nieves de Granada e Investigador principal del Grupo de investigación en Reproducción Humana del Instituto de Investigación Biosanitaria ibs.GRANADA, lo hizo sobre la criopreservación de la fertilidad. Las preguntas de la audiencia tocaron temas de actualidad relacionados con la reproducción humana.

Continuamos con la defensa de las comunicaciones orales, donde se presentaron un total de 17 trabajos científicos en esta modalidad y que trataron diversos temas sobre las técnicas realizadas en las distintas especialidades de Técnicos Superiores Sanitarios. Dimos por finalizadas la mañana y la tarde de esta jornada con la presentación y defensa de comunicaciones en formato póster por parte de los asistentes al congreso, la defensa se realizó de forma simultánea en 4 grupos para hacer más accesible la valoración de los 100 trabajos presentados en total de este tipo.

En la mañana del sábado tuvieron lugar las distintas sesiones por especialidades de Técnicos Superiores Sanitarios comenzando por las dedicadas a Imagen para el Diagnóstico y Medicina Nuclear, Laboratorio Clínico y Biomédico y Ortoprótesis y Productos de Apoyo con la ponencias: Principales tipos de Cáncer Infantil en Radiología con el Sr. Antonio Lanzas Carmona y la Sra. María Leal Gondra, Técnicos Superiores en Imagen para el Diagnóstico y Medicina Nuclear; Terapia celular en cáncer: una realidad en manos de los Técnicos Superiores Sanitarios con la Sra. Carolina España Castillo, Técnico Superior en Laboratorio Clínico y Biomédico como ponente, y la Sra. Lourdes Rodríguez Casado,Técnico Superior en Anatomía Patológica y Citodiagnóstico como moderadora, y ¿Cómo abordar la adquisición de autonomía en procesos oncológicos en la infancia? Trabajo conjunto entre Técnico Ortoprotésico y Terapeuta Ocupacional con la Sra.Patricia López García, Diplomada en Terapia Ocupacional, moderada por la Sra. Rosa María Esteban Guiote, Técnico Superior en Ortoprótesis y Productos de Apoyo.

Continuamos con las dedicadas a Dietética, Imagen para el Diagnóstico y Medicina Nuclear, Laboratorio Clínico y Biomédico y Ortoprótesis y Productos de Apoyo donde contamos con las siguientes ponencias: 

Dieta Neutropénica, ¿Prudencia razonable o superstición clínica?de la Sra. María Paz Magaña Alcocer, Coordinadora de Técnicos Superiores en Dietética, moderada por la Sra. Eva Campoy Gosálvez, Técnico Superior en Dietética;  PET Resonancia Magnética pediátrico de la Sra. Úrsula Alcañas Martínez, moderada por el Sr. Antonio Lanzas Carmona, ambos Técnicos Superiores en Imagen para el Diagnóstico y Medicina Nuclear; Aplicaciones de la PCR digital para el diagnóstico de tumores sólidos pediátricos con la Sra. Ana Doncel Requena como ponente y la Sra. Ángela María Ramos Nuez como moderadora, las dos son Técnicos Superiores en Laboratorio Clínico y Biomédico, y Compitiendo sin límites con la Sra. Rosa María Esteban Guiote moderando al Sr. Manuel López Rodriguez, Técnicos Superiores en Ortoprótesis y Productos de Apoyo.

Y el tercer bloque de sesiones estuvo enfocado a las especialidades de Audiología protésica, Dietética, Documentación y Administración Sanitarias y Radioterapia y Dosimetría con otras tantas ponencias: 

La ototoxicidad, la gran olvidada

De la Dra. Isabel Villanego Beltrán, Médico Adjunto Especialista en Oncología Radioterápica, moderada por el Sr. Alfonso Luis García Cayuela, Técnico Superior en Audiología Protésica; 

Abordaje integral del paciente oncológico pediátrico

Don la Dra. Odile Fernández Martínez, Médico de Familia y experta en nutrición y cáncer, moderada por la Sra. Eva Campoy Gosálvez, Técnico Superior en Dietética; 

Registros de cáncer: codificación, métodos de trabajo y control de calidad

De la Dra. María José Sánchez Pérez, Directora del Registro de Cáncer de Granada, con el Sr. Víctor Castillo Fernández, Técnico Superior en Documentación y Administración Sanitarias como moderador, y 

Protonterapia vs fotonterapia

Con el Sr. Carles Cisneros Camps, Coordinador del Laboratorio Clínico, moderando al Sr. José Torresano Extremera, Técnico Superior en Radioterapía y Dosimetría.

La última sesión fue Audiología Protésica. El restablecimiento de la audición como tratamiento anímico del Sr. Sebastián Bernal Zafra, Presidente de la Asociación Andaluza de Técnicos Superiores en Audiología Protésica (AATSAP) y Técnico Superior de Audiología, moderado por el Sr. Alfonso Luis García Cayuela, también Técnico Superior en esta especialidad.

La Conferencia Social Acompañando a los niños, a su familia y al personal sanitario en el camino oncológico, moderada por las presidentas del Comité científico y del Comité Organizador, la Sra. Alba Roset Serra y la Sra. María Esther García Guantes, y dividida en tres partes en el que hemos contado con la Sra. Blanca Morell Vargas, Psicooncóloga, y la Sra. Lucia Escolano Prats, Musicoterapia, ambas de Asociación de Madres y Padres de Niños Oncológicos “AUPA” de Granada con la ponencia Ayudando a los niños y a sus familias en la gestión emocional en el camino oncológico; la segunda parte a cargo de la Sra. Marina Melguizo Nievas, Técnico Superior en Integración Social y Diplomada en Trabajo Social y Mediadora, también de la Asociación “AUPA” de Granada con la ponencia Ayudando a los niños y a sus familias a mejorar su calidad de vida en el camino oncológico y con  la Dra. Soledad de Linares Fernández, Psicóloga Sanitaria/Experta en Psicooncología, con la tercera ponencia Ayudando al personal sanitario en la gestión emocional en el camino oncológico.

Posteriormente se hizo entrega de premios a las mejores comunicaciones/pósters del II Congreso Nacional de Técnicos Superiores Sanitarios.

Premio MediKare con una dotación de 300 €.

A la comunicación oral. – Estudio de expresión del gen CRX en biopsia líquida de un paciente con retinoblastoma. Caso clínico

Óscar Muñoz Aznar; Suñol, Mariona; Salvador, Noelia; Lavarino, Cinzia

Laboratorio Clínico. Hospital Universitari Sant Joan de Déu. Esplugues de Llobregat

Premio SETSS, dotada con inscripción para el un ponente del III Congreso Nacional de SETSS.

A la comunicación oral. – Tumores óseos pediátricos: qué, cómo y cuándo.

Ortega Cárdenas, Beatriz; Romero Figueroa, Maria Gabriela.

Servicio de Diagnóstico por la Imagen. Hospital Universitari Sant Joan de Déu. Esplugues de Llobregat

Tras la entrega de premios a las mejores comunicaciones por parte de la Sra. Alba Roset Serra, como presidenta del Comité Científico, y a modo de despedida la Sra. Esther García Guantes, presidenta del Comité Organizador, y el Sr. José Joaquín Durán González, presidente de la Sociedad Española de Técnicos Superiores Sanitarios, realizaron el acto de clausura, en el que dirigieron palabras de agradecimiento a los asistentes a este II Congreso SETSS y les animaron a seguir participando en este tipo de encuentros.

Foros de debate

Durante la tarde se realizaron los foros de debate:

Foro-debate. Audiología Protésica en España. Situación y Evolución con la presencia de representantes de las principales organizaciones donde participan los Técnicos Superiores en Audiología Protésica y varias empresas del sector.

Participantes en la mesa redonda durante el congreso de la SETSS. (Fuente: J. L. Fernández)

Puedes leer más información sobre este foro de debate en Audio Infos 365

Simultáneamente en otra sala del congreso se desarrollaba el foro de debate Grado Universitario: situación y perspectivas con la participación del Sr. Francisco Javier Montero, Secretario General del Sindicato Estatal de Técnicos Superiores Sanitarios – SIETeSS y el Presidente de la Sociedad Española de Técnicos Superiores Sanitarios – SETSS, durante la misma se informó y se debatió con los participantes a este foro con el que cerramos las actividades científicas y profesionales.

Cena de Clausura

El congreso finalizó con la cena de clausura en el Restaurante la Mamunia donde hubo espacio para la convivencia y la diversión.

Reportaje audiovisual realizado por Mariano Ortega

346. Los Decibelios, el contraste de la vida.

Si quieres cantarle una nana a un bebé los decibelios de tu voz serán muy bajos. Si vas a un concierto de AC/DC los Db serán ensordecedores. Esto es Energía.

¿Como actúan estos Db en ecografía?

¿Podemos modificar los Db?

¿Cómo modifican los Db la imagen?

Mira el vídeo:

Los Db y el Rango Dinámico

Este comando actúa directamente sobre la onda ultrasónica, reducimos, la Amplitud,la energía de la misma o la ampliamos en función de cómo manejamos el Rango Dinámico. Esto es un concepto clave. Es de uso obligatorio. Mira:

Onda ultrasónica. Rango Dinámico y Amplitud

Y la amplitud que es?

La amplitud en ecografía se refiere a la máxima distancia de oscilación de una onda ultrasónica durante su propagación. En el contexto de la ecografía médica, la amplitud está relacionada con la intensidad de la señal ultrasónica que se emite y se refleja en los tejidos del cuerpo.

Es la máxima altura de la molécula del tejido que estamos estudiando y que está relacionada con la energía aplicada. Lo que quiero decirte es que con el rango dinámico activamos sobre la onda que interviene sobre el tejido que estudiamos.

La amplitud se puede visualizar en forma de cambios de contraste de los píxeles en una imagen ecográfica.

En términos técnicos, la amplitud está relacionada con la energía de la onda ultrasónica. A medida que la onda se propaga, su energía disminuye debido a la atenuación en los tejidos del cuerpo. Esto se traduce en una disminución de la amplitud de la señal reflejada, pero como operador, puedo modificar esto con el rango dinámico.

Ojo…Es importante destacar que la amplitud no debe confundirse con la frecuencia de la onda ultrasónica. Mientras que la amplitud se relaciona con la intensidad de la señal, la frecuencia se refiere a la cantidad de ciclos completos de la onda que ocurren por segundo.

¡La importancia del Rango Dinámico en la ecografía!

El Rango Dinámico es un ajuste fundamental en la ecografía que tiene un impacto significativo en la calidad de la imagen. Aunque no es ampliamente utilizado por los operadores, entender su función y aplicarlo correctamente puede marcar la diferencia en la presentación de imágenes precisas y de alta calidad en el campo de la medicina diagnóstica.

Rango dinámico junto a la Frecuencia y el Foco

El Rango Dinámico es similar al contraste de imagen de un televisor y se refiere a la escala de grises en el modo de trabajo 2D de una ecografía. Básicamente, repito, porque es un concepto crucial, manipula la amplitud de la onda ultrasónica, lo que a su vez afecta la apariencia de los tonos de gris en la imagen.

Este primer ajuste es realizado por el técnico de aplicaciones al instalar el equipo, y generalmente se mantiene constante para cada preset.

Al variar el Rango Dinámico, se logra un mayor o menor contraste en la imagen ecográfica. Si se trabaja con un rango dinámico alto, se obtendrá una imagen suave con una amplia gama de tonos de gris. Por otro lado, si se elige un rango dinámico bajo, los blancos y negros predominarán, lo que dará lugar a una imagen más contrastada.

Es importante tener en cuenta que la escala del Rango Dinámico puede variar entre los equipos de diferentes marcas, generalmente entre 25 y 150. En el Aplio A de Canon que tienes en el Post fluctúa entre 30 y 90 Db.

Además, se recomienda evitar realizar ajustes constantes en este valor, ya que cambios mínimos suelen ser suficientes para obtener resultados óptimos.

#Ecografía #DiagnósticoMédico #RangoDinámico #EcoTSID😍

345.Urotelioma y hematuria. Línea roja.


¡Hola a todos! A petición de los votantes del perfil de Instagram quiero hablar sobre un tema de gran importancia en el campo de la urología: el urotelioma vesical y su relación con la hematuria. Además, destacaré la relevancia de realizar un estudio de ecografía reno vesical para detectar esta afección y describiré los hallazgos ecográficos típicos, con un enfoque especial en la importancia de la vascularización mediante registro Doppler.

El urotelioma vesical es un tipo de cáncer que se origina en el revestimiento interno de la vejiga, conocido como urotelio. Una de las señales de alarma más comunes de esta enfermedad es la hematuria, es decir, la presencia de sangre en la orina. La hematuria puede manifestarse de diferentes formas, desde ligeras trazas de sangre (perceptibles solo en analítica o micro-hematuria) hasta una coloración rojiza intensa en la orina. Es importante destacar que la presencia de sangre en la orina no siempre indica la presencia de un urotelioma.

Muchos pacientes llegan derivados de su médico de familia. Es habitual este hallazgo o sintomatología.

Dato:

El tabaquismo es un importante factor de riesgo para el cáncer de vejiga. Fumar aumenta significativamente las probabilidades de desarrollar esta enfermedad, siendo responsable de aproximadamente el 50% de los casos de cáncer de vejiga en todo el mundo.

La ecografía reno vesical es un estudio no invasivo permite examinar la vejiga y los riñones, proporcionando información valiosa sobre posibles anomalías o lesiones presentes. En el caso del urotelioma, la ecografía puede revelar la presencia de masas o tumores en la vejiga, así como características específicas que indican la posible malignidad de la lesión.

Preparación:

Siempre el paciente debe tener la vejiga llena.

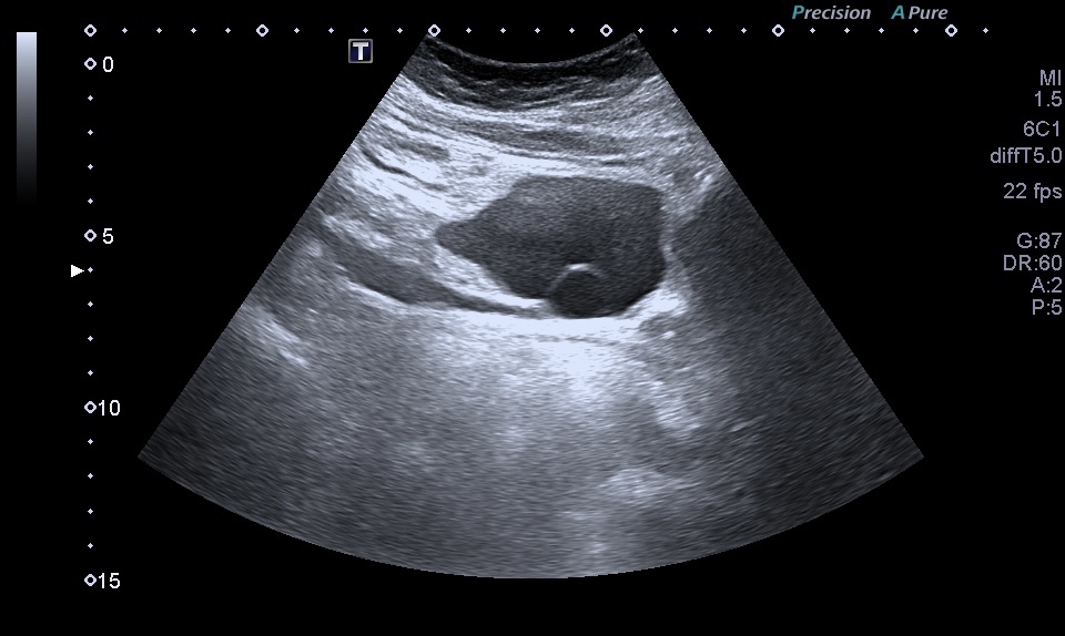
Al realizar una ecografía reno vesical, los hallazgos ecográficos típicos del urotelioma incluyen la visualización de una masa sólida en la vejiga.

Esta masa puede presentar una apariencia heterogénea, con áreas hipoecoicas (menos ecogénicas) y áreas hiperecoicas (más ecogénicas) en relación con el tejido circundante. Además, puede observarse un crecimiento intraluminal, lo que significa que la masa se proyecta hacia el interior de la vejiga.

Aspecto

Resumiendo:

  1. Ubicación: El urotelioma generalmente se encuentra en la mucosa o submucosa de la vejiga. Puede presentarse como una lesión focal o múltiple.
  2. Apariencia ecográfica: El urotelioma se muestra como una masa sólida con una ecogenicidad variable en comparación con el tejido circundante. Puede presentar áreas hipoecoicas (menos ecogénicas) y áreas hiperecoicas (más ecogénicas).
  1. Contornos: Los contornos de la masa pueden ser irregulares y asimétricos. Pueden observarse proyecciones intraluminales, lo que indica que la masa se extiende hacia el interior de la vejiga.
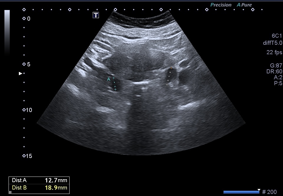
  2. Tamaño: El tamaño de un urotelioma puede variar desde pequeñas lesiones hasta masas más grandes que ocupan una parte significativa de la vejiga.
Medidas
  1. Estructura interna: La estructura interna del urotelioma puede ser heterogénea debido a la presencia de áreas de necrosis o hemorragia. Estas áreas pueden ser identificadas por su apariencia hipoecoica o hiperecoica respectivamente.También calcificiones…como es el caso que nos ocupa hoy.
Masa tipo
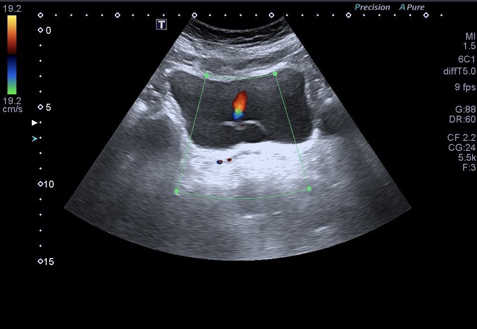
  1. Vascularización: La evaluación de la vascularización del urotelioma mediante el registro Doppler es crucial. La presencia de flujo sanguíneo dentro de la masa tumoral, representado por colores en el Doppler, sugiere un mayor riesgo de malignidad.
Vascularización positiva

La vascularización es un hallazgo considerado línea roja.

Se recomienda el uso de Doppler Power para detectar vascularización lenta.

Doppler pulsado presente

Estos hallazgos sugieren la presencia de un tumor y para nosotros, los TSID, es una línea roja.

#Radiología #TSID #Ecografía #urología #salud #prevención


Título: Anatomía, Función y Aspecto Ecográfico del Tendón del Subescapular y sus Bursas

Introducción:


En el campo de la anatomía y la medicina musculoesquelética, es crucial comprender la estructura y función de los tendones y las bursas para el diagnóstico y tratamiento de lesiones. En esta ocasión, exploraremos el tendón del subescapular y sus bursas asociadas, destacando su importancia y su aspecto ecográfico. ¡Acompáñame en este recorrido!

Anatomía del Tendón del Subescapular:


El tendón del subescapular es uno de los cuatro tendones del manguito de los rotadores del hombro, ubicado en la parte anterior de la articulación del hombro. Se origina en la fosa subescapular de la escápula y se inserta en la tuberosidad menor del húmero. Su función principal es la rotación del hombro y la estabilización de la articulación.

Anatomía básica

Función del Tendón del Subescapular:


El tendón del subescapular desempeña un papel crucial en la biomecánica del hombro. Trabaja en conjunto con otros tendones del manguito de los rotadores para proporcionar estabilidad y permitir movimientos suaves y precisos del brazo. Además de la rotación interna, el subescapular también ayuda en la aducción y la estabilización de la articulación del hombro.

Función normal. Estudio dinámico.

Aspecto Ecográfico del Tendón del Subescapular y sus Bursas:

  • Tendón del Subescapular: En la ecografía, el tendón del subescapular se visualiza como una estructura fibrilar hiperecoica (brillante) que se extiende desde la escápula hasta la tuberosidad menor del húmero. Se evalúa su grosor, integridad y presencia de cambios patológicos, como tendinopatía o desgarros.
  • Bursa Subescapular: La bursa subescapular es una estructura que se encuentra entre el tendón del subescapular y la cara anterior de la escápula. En la ecografía, aparece como una estructura anecoica (sin contenido) y su evaluación se centra en detectar la presencia de inflamación o aumento de líquido sinovial.
  • Bursa Subcoracoidea: La bursa subcoracoidea se encuentra entre el tendón del subescapular y el ligamento coracoacromial. Mediante la ecografía, podemos observarla como una estructura anecoica en la región coracoides (ver vídeo). Su evaluación se enfoca en detectar inflamación, engrosamiento o presencia de líquido sinovial.
Bursa de aspecto patológico

Fíjate bien, si no realizamos la exploración dinámica no podríamos haber descubierto esta Bursa patológica. Siempre realizamos esta exploración y la incluimos en el protocolo normalizado de trabajo.

Mira, lo hacemos así:

Exploración dinámica

Conclusión:


El tendón del subescapular y sus bursas son estructuras anatómicas cruciales en la función y estabilidad del hombro. La ecografía proporciona una herramienta valiosa para examinar estas estructuras y detectar posibles lesiones o patologías. Comprender la anatomía, función y aspecto ecográfico del tendón del subescapular y sus bursas nos permite obtener información precisa y contribuir al diagnóstico y tratamiento adecuados de las lesiones del hombro.

¡Si te interesa el tema o tienes alguna pregunta, no dudes en contactarme! Estoy encantado de ampliar esta información y hablar lo que quieras sobre la anatomía y la ecografía.

Anatomía #Ecografía #Hombro #TendónDelSubescapular #Bursas #MedicinaMusculoesquelética

Buen viernes!!

344. Contraste por ecografía. Las microburbujas de Gas.

El contraste ecográfico se refiere a agentes que aumentan la intensidad en la imagen ecográfica, proporcionando información precisa sobre la vascularización de las lesiones a estudiar.

Se utiliza microburbujas de gas estabilizadas, que son envueltas en galactosa o fosfolípidos para prolongar su duración en el torrente sanguíneo antes de desaparecer.

Microburbujas (ilustración)

Las microburbujas tienen un diámetro menor al de un hematíe y se mantienen en el espacio intravascular.

No son eliminadas por el sistema excretor renal, sino que se disuelven en el plasma y se eliminan a través de los pulmones.

Responden a un pulso de eco generando un reflejo en su superficie por interfase ecográfica y un movimiento oscilatorio, que produce sonido.

El tiempo de vida de una microburbuja libre en sangre es de aproximadamente 20 milisegundos.

La potencia de transmisión, concepto vital, utilizada en el pulso de eco es crucial, ya que una potencia demasiado baja no generará movimiento en la microburbuja, mientras que una potencia demasiado alta puede romperla.

Microburbujas en evaporación

Se busca mantener un índice mecánico (IM) bajo para lograr el equilibrio entre la oscilación y evitar dañar la microburbuja.

La calidad de imagen en la ecografía de contraste es inferior a la imagen 2D, debido a que se requieren potencias de transmisión bajas (índice mecánico bajo) para preservar la integridad de las microburbujas.

Los ajustes ecográficos vitales. IM.

Los efectos biomecánicos del ultrasonido, que están relacionados con la amplitud de onda, determinan la potencia de transmisión utilizada.

Vídeo explicativo.

344. Lo que el 2D y el Doppler no ve…

La Elastografía❤️ Shear Wave SI (a veces)

En las imágenes mostradas a continuación, encontramos un aumento en la tensión muscular en el músculo estudiado (imagen 1). Se observa claramente cómo el elastograma es rojo, indicando una rigidez mayor de lo habitual para la musculatura estudiada. Sin embargo, después de aplicar un breve masaje de 30 segundos en la zona, el elastograma cambia y muestra intervalos intermedios de rigidez (imagen 2). En el seguimiento realizado al mes, se observa una tensión muscular normal con valores de kilopascales normales (imagen 3).

En las tres imágenes, podemos observar modificaciones claras en la presión, es decir, en kilopascales. La presión es muy alta en la imagen número 1, donde el paciente experimentó espasmos musculares tras esfuerzo y la rigidez muscular aumentó significativamente.

Luego, podemos ver que después del masaje, imagen 2, esta rigidez expresada en kilopascales se reduce considerablemente a valores intermedios.

En el seguimiento realizado al mes, imagen 3, se observa una tensión muscular normal con valores de kilopascales normales.

En conclusión, podemos decir que la elastografía SW muestra patología que aparecería como hallazgos normales con los métodos convencionales de ecografía musculoesquelética, como el modo 2D o Doppler. La ventaja de la elastografía es que podemos cuantificar con precisión estos hallazgos patológicos ya visibles en el elastograma.

Imagen 1 – Espasmo muscular
Imagen 2 – Masaje
Imagen 3 – Control Normal

Imágenes Canon Medical Sistem cedidas por el Profesor Javier Álvarez, Profesor de Fisioterapia en UFV.

Holidays!!!

343.Estudio Ecográfico del Bazo con SMI de Canon Medical Sistem. Los colores del Bazo.

En este Post conjunto de María Leal Gondra, TSID Ecografista del Hospital Universitario General de Villalba de Quirón salud, Alejandron Soriano Valencia, Técnico de aplicaciones especialista en Ecografía de Canon Medical Sistem Europe.

Introducción:

La ecografía es una herramienta invaluable en el estudio de diferentes órganos del cuerpo humano. En particular, el bazo desempeña un papel crucial en el sistema inmunológico y su evaluación precisa es fundamental. En este post, exploraremos el uso de la SMI (Imágenes de Modo de Flujo en Alta Resolución) de Canon Medical Systems en la ecografía para el estudio detallado del bazo.

I. ¿Qué es la SMI de Canon Medical Systems?

  • La SMI es una tecnología avanzada de flujo Doppler que permite obtener imágenes de alta resolución de los vasos sanguíneos y la microcirculación.
  • Proporciona información detallada sobre el flujo sanguíneo en tiempo real, mejorando la visualización y la precisión del estudio ecográfico.

II. Beneficios de la SMI en el estudio del bazo:

  • Mayor sensibilidad: La SMI permite visualizar de manera más clara y detallada el flujo sanguíneo en el bazo, lo que facilita la detección de anomalías o alteraciones.
  • Mejor resolución espacial: Gracias a la SMI, se pueden identificar lesiones pequeñas o cambios sutiles en la vascularización del bazo.
  • Reducción de artefactos: La tecnología SMI minimiza los artefactos de movimiento y ruido, lo que mejora la calidad de las imágenes y facilita una interpretación más precisa.

III. Procedimiento de estudio del bazo con SMI:

  1. Preparación del paciente: El paciente debe estar en posición adecuada para el estudio ecográfico del bazo.
  2. Configuración del equipo: Se selecciona el modo de flujo SMI en el ecógrafo de Canon Medical Systems.
  3. Exploración del bazo: Se realiza la exploración del bazo mediante movimientos suaves y precisos de la sonda ecográfica.
  4. Adquisición de imágenes: Se obtienen imágenes de alta resolución del bazo, enfocándose especialmente en la vascularización.
  5. Análisis e interpretación: Las imágenes obtenidas con SMI se analizan cuidadosamente, evaluando la vascularización del bazo y detectando posibles anomalías.

IV. Aplicaciones clínicas de la SMI en el estudio del bazo:

  • Evaluación de la perfusión del bazo en casos de enfermedades inflamatorias o infecciosas.
  • Detección y seguimiento de lesiones vasculares en el bazo, como aneurismas o malformaciones.
  • Evaluación de la respuesta al tratamiento en pacientes con enfermedades del bazo, como la esplenomegalia.

Los colores del Bazo:

Modo b
Modo Color
Modo Angio
SMI
SMI Sustractiva

Buen Domingo!

342 Canal de Guyon y caso clínico.

Introducción:


El canal de Guyon es una estructura anatómica ubicada en la muñeca, específicamente en la región de la palma y cubital de la mano. En este post, exploraremos de manera concisa la anatomía básica del canal de Guyon y cómo se puede estudiar mediante ecografía y su patología con un caso clínico.

Anatomía básica del canal de Guyon:

Se encuentra en el lado ulnar (lado cubital) de la mano y está delimitado por el hueso pisiforme. Este canal proporciona paso a importantes estructuras nerviosas y vasculares, como el nervio cubital y la arteria ulnar.

El Nervio Cubital parte del Plexo Braquial. Recorre interno el MMSS y pasa dos canales, el canal cubital del codo y el de Guyon en el lado cubital de la muñeca.

Su rama principal de la mano inerva el lado cubital del cuarto dedo (el lado radial lo hace una rama de Nervio Mediano) y el quinto dedo entero con dos ramas como ves en la imagen.

Nervio Cubital y sus ramas
Canal de Guyon – Anatomía local

Patología del canal de Guyon: Caso clínico.

Paciente octogeniaria que debuta con dolor repentino en el antebrazo dos semanas atrás, puntual, después adormecimiento doloroso del quinto dedo y el lado cubital del cuarto dedo.

Sospecha clara de afectación del nervio cubital siempre…muy atentos a estos signos. Hay que buscar el lado de compromiso del nervio como primera localización de sospecha por lo estrecho desfiladero por donde pasan arteria, venas y nervio cubital.

Estudio mediante ecografía:


La ecografía demuestra la presencia en el Canal de una estructura anecoica, que está desplazando arteria cubital y presionando contra el lado del Pisiforme al nervio cubital, causa de neuralgia en los dedos previamente comentados.

Se demuestra ganglión de la articulación de la muñeca en el lado cubital que afecta al Canal de Guyon.

Normalidad
Normalidad
Ganglión

El Nervio Cubital está comprometido, desplazado y afectado por la presión del Ganglión que a su vez puede variar la presión en función de si está más grande o más pequeño…con lo cual la sensación de adormecimiento también puede ser variable.

En el documento de información al Radiólogo describimos los hallazgos y la técnica utilizada para que con las mejores imágenes posibles él pueda realizar el informe final.