La regla del tercio del lóbulo caudado: una medida ecográfica sencilla para valorar su hipertrofia o normalidad
En ecografía hepática hay signos discretos que, aunque sencillos, encierran gran valor semiológico. Uno de ellos es la valoración del lóbulo caudado, una estructura a menudo poco enfatizada en la exploración rutinaria, pero que puede aportar información muy relevante cuando aprendemos a mirarla con atención.
El lóbulo caudado, correspondiente al segmento I hepático, ocupa una posición anatómica singular. Se localiza profundamente, entre la vena cava inferior y la fisura del ligamento venoso, por detrás del hilio hepático, y mantiene relaciones anatómicas íntimas con las venas hepáticas y la circulación portal. No es un segmento más del hígado. Tiene una personalidad propia. Su particularidad radica en que puede disponer de un drenaje venoso relativamente independiente, con pequeñas venas que drenan directamente a la vena cava inferior, una característica que explica parte de su comportamiento en algunas enfermedades. Es como un pequeño hígado en el hígado.
Precisamente por esa relativa autonomía hemodinámica, el lóbulo caudado puede hipertrofiarse en determinadas situaciones patológicas, convirtiéndose en una pista ecográfica de enorme interés. Esto puede observarse en hepatopatías crónicas, en remodelado morfológico avanzado e, históricamente, se ha relacionado especialmente con el síndrome de Budd-Chiari syndrome, donde esta hipertrofia puede ser incluso uno de los signos más sugerentes.
En este contexto surge una regla práctica, elegante por su simplicidad, conocida como la regla del tercio del lóbulo caudado. Es un criterio semicuantitativo que permite sospechar, o por el contrario descartar de forma orientativa, una hipertrofia caudada mediante una simple relación anatómica.
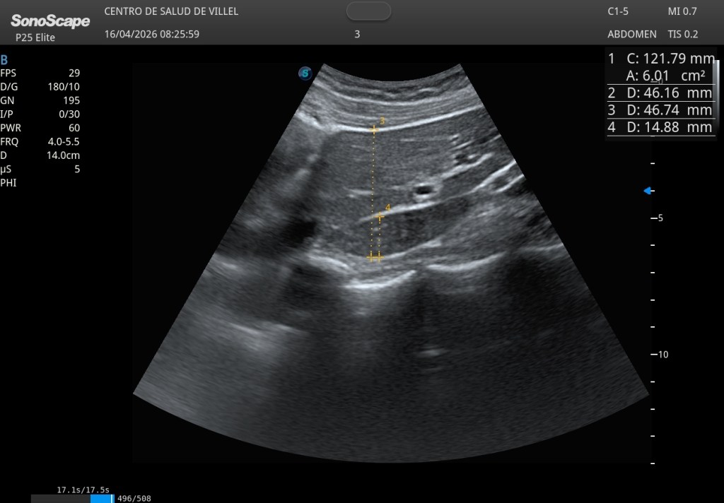
La técnica consiste en obtener un corte longitudinal parasagital que incluya el lóbulo izquierdo y el lóbulo caudado, y en ese plano medir dos diámetros anteroposteriores: por un lado el espesor del lóbulo caudado y, por otro, el espesor combinado del lóbulo izquierdo más el propio caudado. A partir de esta relación se establece una regla muy sencilla: si el diámetro del caudado supera un tercio del espesor total combinado, puede sugerir hipertrofia del lóbulo caudado.
Expresado de otro modo, si el lóbulo caudado representa más del 33 % del espesor total medido, debemos prestar atención. Pero quizá el aspecto más interesante desde el punto de vista práctico es el inverso: si el lóbulo caudado es inferior a un tercio de la medida total, podemos considerar orientativamente que no existe hipertrofia caudada significativa como la imagen que te muestro a continuación.

Este concepto convierte una sospecha compleja en una apreciación intuitiva. Casi visual. Un signo de cabecera que puede ayudarnos a objetivar algo que muchas veces valoramos solo por impresión. Ahora con medidas de normalidad:

Lo atractivo de esta regla es que no pretende sustituir otros índices clásicos ni convertirse en criterio aislado de diagnóstico, sino ofrecer una referencia morfológica simple. En la práctica ecográfica cotidiana esto tiene mucho valor. Hay hallazgos que, por fáciles, sobreviven porque funcionan.
Además, esta regla tiene una lógica anatómica notable. Cuando el caudado se hipertrofia, gana protagonismo dentro de la morfología hepática y esa proporción cambia. El tercio actúa como un umbral visual y numérico fácil de recordar. Si no alcanza un tercio, probablemente el caudado está dentro de límites normales; si lo supera, merece una evaluación más cuidadosa como el esquema que te enseño a continuación:

Naturalmente, este signo debe integrarse siempre con el resto de la exploración. Un lóbulo caudado prominente no diagnostica por sí solo un síndrome de Budd-Chiari ni una hepatopatía crónica. Debe correlacionarse con la morfología hepática global, el estudio Doppler, las venas hepáticas, la vena cava inferior y el contexto clínico. La ecografía nunca es un signo aislado, sino un lenguaje de signos. Eso es valoración clínica y debe ser informado por el Radiólogo.
Y, sin embargo, hay algo fascinante en que una estructura tan discreta como el caudado pueda revelar tanto con una proporción tan sencilla.
Si el caudado no llega al tercio, indica no hipertrofia. Si supera el tercio, puede estar diciendo algo y debemos docuementarlo y comunicarlo al radiólogo para valoración.
Y merece escucharlo.
Referencia docente: Instituto de Radiología (InRad), Hospital das Clínicas, Universidade de São Paulo (USP), Brasil. Regla práctica difundida en ECR 2018 para valoración ecográfica de hipertrofia del lóbulo caudado.