Tiene tres partes la palabra AngioMioLipoma. Hace referencia a vascularizacion, músculo y grasa.
Esa es la composición del tumor benigno del riñón por excelencia.
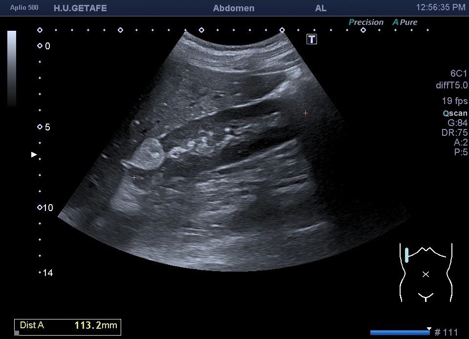
Ecograficamente son:
1. hiperecogénicos
2. Isoecogénicos con la grasa
3. Homogéneo
4. Corticales
5. Sus bordes son bien definidos
6. Pueden ser lesiones exofíticas
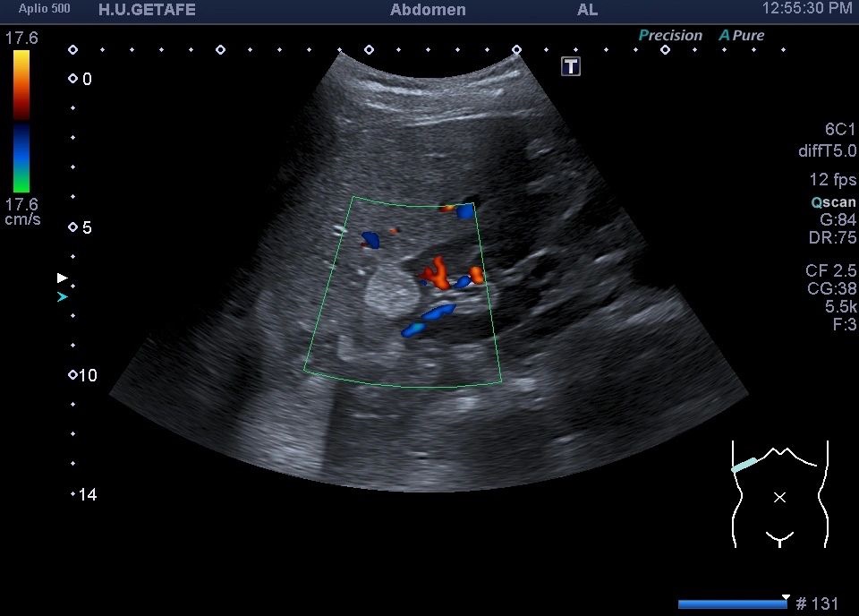
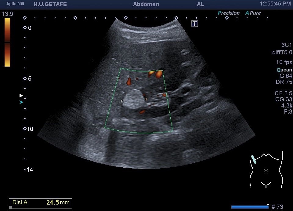
Deben demostrarse siempre en axial y sagital y usar Doppler color y Modo Angio.
El diagnóstico diferencial es el carcinoma, si el tumor visualizado tuviera calcificaciones se sospecharía el tumor maligno como primera posibilidad.
Las complicaciones del AML puede ser la hemorragia.
También conocido como Hamartoma Renal




No suelen dar clínica y en la mayoría de las ocasiones su hallazgo es incidental. De tamaño variable.
Siempre en mi corazón, Papi. Va por ti.
Muy bonitas imágenes. Claro y haciéndolo todo fácil, graciasssss.
Me gustaMe gusta
Gracias Antonio por tu incansable tarea de compartir.
Me gustaMe gusta