La glándula suprarrenal es un órgano sitúa superior al polo superior del riñón. Es retroperitoneal. Está rodeada por la Fascia de Gerota y son encargadas de la producción de Catecolaminas.
Las Catecolaminas son neurotransmisores, siendo las más conocidas la Adrenalina y la Noradreanlina que nos prepararan para situaciones de stress.
De modo muy resumido es un órgano que se estudia en la fase neonatal con eco, que es cuando esta glándula es más visible, al cabo de un año de vida es imperceptible ecográficamente y su estudio debe ser realizado mediante TAC y RMN.
Cuando se ven en la edad adulta es debido a las lesiones que afectan a estas glándulas, normalmente en forma de nódulo y encontradas de forma incidental en el estudio ecográfico abdominal o urológico, por eso su nombre, suele ser de incidentaloma suprarrenal.
La explicación de por qué se se observan solo en el periodo neonatal es anatomo fisiológico.
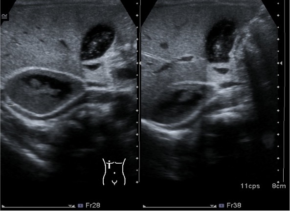
Anatómicamente la glándula suprarrenal tiene dos partes:
1. Corteza
2. Médula


La corteza suprarrenal es hipoecogénica, es muy grande al nacimiento, progresivamente va perdiendo espesor, más o menos durante los dos primeros meses. En este periodo y gracias a su hipoecogenicidad es cuando este órgano es más visible. Además es reconocible en forma de «v» o «y».
La médula es hiperecogénica, cuando la corteza reduce queda la médula que al ser hiperecogénica la hace indistinguible de la grasa circundante que es hiperecogénica igual.
En el neonato, la masa suprarrenal más frecuente es el sangrado, casi el 75% de los sucesos patológicos en este órgano en la edad neonatal es debido a estos procesos. Suelen ser asintomáticas. Ecográficamente esta figura patológica se observa más habitualmente en el lado derecho y se comporta con estas características:
1. Aspecto quístico
2. Ausencia de la señal Doppler


El punto número dos es clave, por que en el diagnóstico diferencial con la otra gran figura patológica de la glándula a nivel suprarrenal en el neonato es el neuroblastoma si bien este tumor usualmente es isoecogénico y con señal Doppler presente.
Buen fin de semana!