Llevaba unos días sin publicar, han sido días intensos. Algunos, perfectos.
Tengo el enorme orgullo y honor de anunciar con este Post, la incorporación de María Leal a ecografiafacil.com. El Blog crece, y lo hace mucho, con la llegada de esta increíble profesional TSID Especialista en Ecografía, además de gran persona y por encima de todo, amiga.
Muy pronto otra incorporación de otro gran amigo que por ahora vamos a mantener en la sombra, pero que estoy deseando anunciar, otro gran fichaje…muy pronto…Equipazo.
Hoy, María Leal Gondra nos trae y nos enseña desde su perfil de LinkedIn 5 imágenes preciosas con anatomía ecográfica muy chula y sencilla en cortes muy fáciles de conseguir. Mira:
1. Tendón del Bíceps eje corto. La relación anatómica del Bíceps en la corredera bicipital con el Téndón del Subescapular y musculatura adyacente. Eje corto.
👉🏻Bíceps hiperecogénico.
👉🏻Subescapular no tensionado. Anisotrópico.
👉🏻Coracoides medial a todo.

2. Aquiles patológico y normal. Hay pocas anatomías ecográficas tan bellas como la de la MSK. Semiología normal y patológica de un corte eje largo de la ecoarquitectura de un Tendón de #Aquiles.
👉🏻Valorar siempre en profundidad la #GrasaDeKager y el Flexor del Primer dedo a su paso por el #TercerMaleolo tibial.

3. El Delgado plantar. El Delgado Plantar es un músculo inconstante en el miembro inferior.
Te doy un truco para buscarlo en eje largo en la unión entre dos músculos de la cara interna de la pierna…Mira:
Para buscarlo, ve a la zona de la unión del Gemelo Interno y el Sóleo. Vas a ver dos líneas hipercogénicas finas. Si ves tres haciendo el barrido en esa localización, enhorabuena!! Lo has encontrado!!!

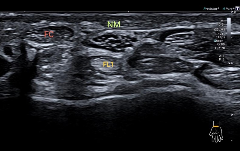
4. Muñeca región Flexora. Anatomía vista con una sonda Stick Hockey de 22Mhz en un equipo Canon Medical Systems Europe i800.
Observa el entramado del Nervio Mediano a su paso por la Muñeca con una semiología en panal de abeja típico de un nervio periférico normal. Lo acompañan flexor del primer dedo (F1) y flexor del carpo (FC) en el corte en eje corto.

5. Región Posterior del Muslo. Isquiotibiales. Anatomía ecográfica de la cara posterior proximal del muslo en eje corto.
Este corte nos enseña El Nervio Ciático (NC) en el mismo plano que el Tendón del Semimbranoso (TSM).
Músculo Bíceps Femoral y Semitendinoso con su Tendón Común (TC).
En la profundidad el Aductor Mayor con las bandas hiperecogénicas paralelas que son los Septos Fibroadiposos.
Os invitamos, María Leal y Antonio Lanzas, a asistir al Curso de Ecografía de SETSS para TSID – Nivel 2 que se celebrará en Febrero de 2022 en Villalba, con la presencia de dos referentes de la Ecografía MsK y el Doppler, el Dr. Fernández de la Jara , Jefe de Radiodiagnóstico Hospital Sanitas La Zarzuela y el Dr. Guerra Rodríguez, Jefe Asociado en Hospital Universitario Rey Juan Carlos del grupo Quirónsalud. Ambos nos deleitarán con sendas Master Class en su especialidad.
Disfrutaremos después de una clase teórica práctica sobre la «Optimización del Equipo de Ecografía y la Imagen Ecográfica» para que saques el máximo partido a tu equipo de ultrasonido, impartida por María Leal y Antonio Lanzas.
El resto del fin de semana, Prácticas Nivel 2 para aprender protocolos básicos de los estudios más demandados en la ecografía clínica. Con ecógrafos de alta gama de Canon Medical Europe. Sin duda un evento que no te puedes perder.
Inscripciones

Hola. Genial!!!!! Enhorabuena por los nuevos fichajes. A ver si con esta nueva ayuda os animáis a hacer una entrada con el abordaje de la articulación temporomandibular que te pedí hace tiempo. Me encantaría y sería muy interesante. Gracias por tu dedicación y todo lo que aportas para que aprendamos. Un abrazo.
Me gustaMe gusta