Cuando realizamos un protocolo de mama no sabe si vamos encontrarnos patología o no, si veremos quistes, fibroadenomas, si veremos uno o decenas de nódulos, si nos encontraremos algo distinto, algún tipo de lesión sospechosa de malignidad, siempre avisamos a la radióloga responsable advirtiendo del hallazgo, pero en ocasiones nos encontramos lesiones que son, permíteme la expresión, raras, es decir, no es la típica lesión benigna ni las maligna, pero la identificamos visualmente con una masa en el tejido mamario no normal.
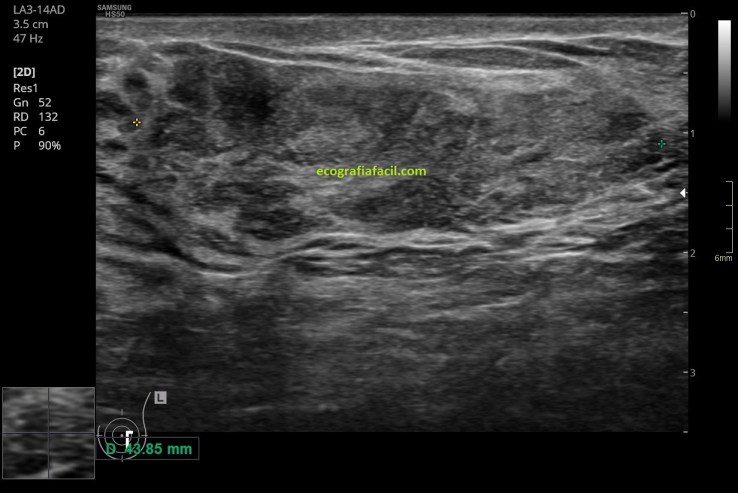
En el caso que te presento hoy es una masa de semiología isoecogénica, heterogénea, de gran tamaño, ovoidea, que ocupa la región periareolar cerca de la línea intercuadrántica externa de la mama izquierda, mama que como puedes ver en la imagen 1 es una mama de alta densidad lo que siempre dificulta la sensibilidad de la técnica.
La masa en cuestión no tiene unos bordes excesivamente nítidos (imagen 2), pero por su volumen fue fácil de capturar y si lo observas detalladamente sus bordes son lo bastante visibles para poder ver la lesión y estudiarla.
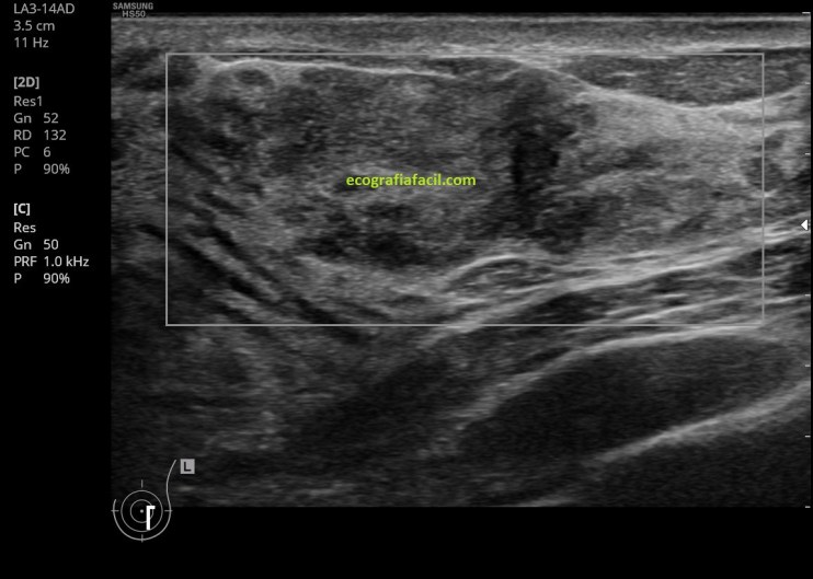
Internamente es, como he dicho, heterogénea (la paleta solo tiene grises, pero en la lesión son muchos y están muy mezclados), como puedes ver en la imagen 2, 3, 5 y 5, la vascularización, imagen 6, en este caso era muy escasa o nula. No hay alteración de los tejidos colindantes de la lesión y ésta, transmite bien.
Son de estas lesiones que cuando las ves te molestan porque no te dejan tranquilo, pero a su vez sabes que no son «feas», son de las que dices, «yo qué sé»…
La paciente se palpaba la lesión, pero sin consistencia pétrea y no dolorosa. A veces la autopalpación de estas lesiones son difíciles debido a la consistencia tan similar que tiene con el tejido mamario, ya que hablamos, de modo muy general, de una lesión con mezcla de tejido glandular y tejido graso maduro, te enlazo aquí por si quieres conocer algo más sobre este tipo de lesiones, como he dicho antes, raras.

En la imagen 1 tienes un repaso de la ecoarquitectura normal de una mama, siempre, a expensas de la variable cantidad de tejido glandular y tejido graso que conjugue dicha glándula y que nos hablará si es una mama de predominio graso, mixto o una mama densa.


En esta imagen número 3 puedes ver la relación del hamartoma con el tejido glandular periférico, su ecogenicidad y su transmisión sónica, elementos muy importantes a la hora de poder reconocer una estructura potencialmente «fea».


En la imagen 4 y 5 el estudio estándar, cortes axiales y longitudinales de la lesión.

Finalmente el estudio con el modo color y modo angio para conocer su vascularización.
La radióloga valorará el estudio, comparará con las previas si es que la hubiere y emitirá un informe radiológico donde dictaminará el seguimiento recomendado para esta lesión.
Feliz fin de semana. Usad la mascarilla, por favor.
Hoy he escuchado esta maravilla por primera vez…»Don`t forget about me». Cloves.
Como se llegó a la conclusión de un Hamartoma. Es diagnóstico presunciónal por su aspecto o apoyado en diagnóstico histopstologico.
Atte:Dr.David Uranga
Me gustaMe gusta
Por su aspecto ecográfico, no consta estudio histopatológico.
Me gustaMe gusta
La mamografia ya te apoya al diagnostico ¿Que edad tiene la paciente?, Diagnosticarlo sólo por eco … presumirlo si ¿»»yo que se»?
Me gustaMe gusta
A la radióloga la mamografía le apoya seguro. En este caso solo quiero describir sonograficamente en aspecto de una lesión. El diagnóstico es competencia de la radióloga.
Me gustaMe gusta