192. Divertículo esofágico de Killiam-Jamieson.

En esta ocasión tengo el tremendo placer de presentar un caso precioso de María Leal, TSID del Hospital General de Villalba, María es especialista en ecografía y hace cosas tan chulísimas como esta. Nos presenta el caso muy poco habitual en la ecografía…

Paciente mujer de 63 años. Acude a la consulta de ecografía remitida por su endocrino por control de nódulo tiroideo.

Comenzamos el estudio para visualizar la glándula tiroides de una forma global, como puedes ver en la imagen 1.

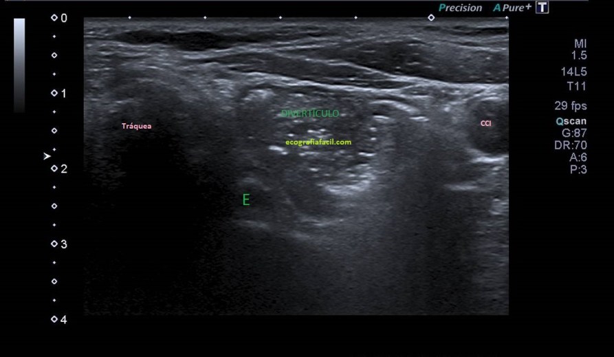
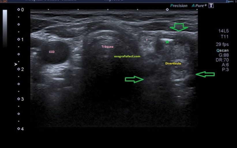
En la imagen 2, al lado de la zona donde visualizamos normalmente el esófago se observa una imagen más grande, no tan circular y con gas en su interior. Es de un tamaño considerable, heterogénea por el gas interno. Es una imagen anormal que requiere evaluación del radiólogo.

1
2

En la imagen 2 puedes ver el esófago, que nos vale de guía anatómica y aquí es muy importante el asterisco verde que marca el gas dentro del divertículo, en esa localización la presencia de gas es completamente anómala.

Realizamos protocolo para el estudio de cuello por ecografía y observamos que esa imagen tiene continuidad con el esófago. Tiene gas en su interior por lo que el radiólogo lo informó como probable divertículo esofágico. Este divertículo es conocido como divertículo esofágico de Killiam-Jamieson.

3                                                    

Se puede dar un vaso de agua al paciente y mirar el contenido del divertículo. Lo estudiamos en dos planos transversal y longitudinal. Eventualmente, lo mediremos.

4

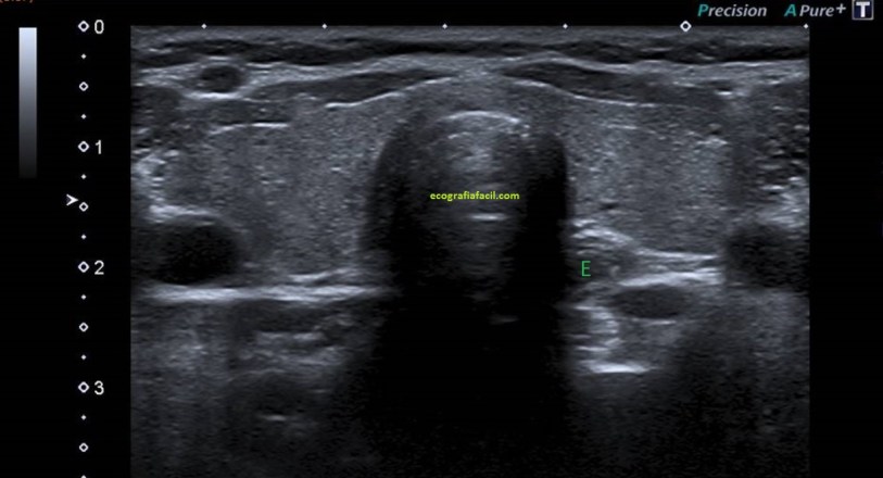
La sonda está en transversal al lóbulo tiroideo izquierdo. Se visualiza el esófago (E) y divertículo de Killiam-Jamieson.

5                                                                           

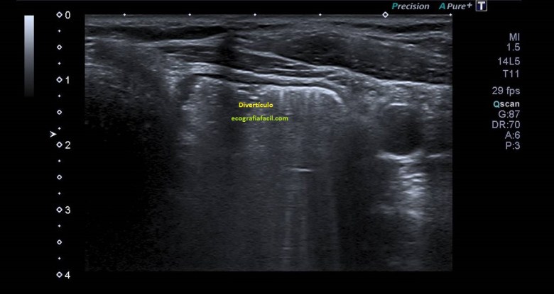
Se visualiza divertículo esofágico (killiam- Jamieson) en longitudinal en la imagen 5.

Lo que observamos es un divertículo esofágico en la pared anterior y lateral del esófago cervical. Divertículo de Killiam-Jamieson.

El divertículo de KJ se encuentra con poca frecuencia en comparación con el divertículo de Zenker que se localiza en la cara posterolateral del esófago cervical, por tanto no visible habitualmente en ecografía.

Un divertículo esofágico es una evaginación de la mucosa a través de la capa muscular del esófago. En este caso del músculo cricofaringeo. Puede ser asintomático o causar disfagia y regurgitación.

A la paciente se le realizó también un estudio esófago-gastroduodenal (EGD) para su diagnóstico. Se obtuvieron imágenes del esófago mientras que la paciente bebía contraste baritado, observándose el divertículo esofágico (KJ). Comenzamos el estudio en bipedestación (imágenes 6 y 7), después tomaremos imágenes en prono, imagen 8.

6
7

Imágenes en OPI en bipedestación donde se observa el paso de contraste por el esófago y una imagen sacular: divertículo esofágico

8                                                                

Imagen 8 en OAD en prono donde se observa el paso de contraste por el esófago.

 

 Gracias a los radiólogos del Hospital General de Villalba por enseñarme tanto y confiar en mí.

María Leal.

4 comentarios sobre “192. Divertículo esofágico de Killiam-Jamieson.

  1. Mil gracias por presentar tan interesante caso.Para mi llego es que , cuando haces eco, en determinada zona hay que mirar e interpretar el mínimo detalle que se presente fuera de la norma.

    Libre de virus. http://www.avast.com

    El sáb., 2 may. 2020 a las 11:25, Ecografía Fácil () escribió:

    > @ecografiafacil.com posted: «En esta ocasión tengo el tremendo placer de > presentar un caso precioso de María Leal, TSID del Hospital General de > Villalba, María es especialista en ecografía y hace cosas tan chulísimas > como esta. Nos presenta el caso muy poco habitual en la ecografía..» >

    Me gusta

Deja un comentario