161. Hilio Hepático

Sí, ya sé que hoy no es Domingo, pero ayer no me dió el día para terminar el Post, pero fiel a la cita, aquí está el 160…La exploración ecográfica del hílio hepático.

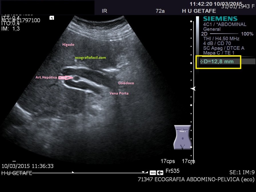
Cuando hablamos del Hilio Hepático, hablamos de una porción anatómica muy importante desde le punto de vista de la exploración ecográfica dentro del protocolo de Abdomen. La imagen que te pongo a continuación es difícil de conseguir, técnica y anatómicamente, pero a veces, nos encontramos este corte parasagital que nos da una información fabulosa y una correlación anatómica perfecta del la vía biliar extrahepática, arteria hepática y vena porta.

Hoy nos vamos a parar exclusivamente en la consecución de esta imagen, que depende de cada paciente, será un corte parasagital y la conseguiremos en decúbito lateral izquierdo. No es vinculante la imagen del pictograma que aparece en la imagen, cada paciente necesitará una orientación, este concepto es vital.

When we speak of Hepatic Hilium, we speak of an anatomical portion that is very important from the point of view of ultrasound exploration within the Abdomen protocol. The image I give you below is difficult to obtain, technically and anatomically, but sometimes, we find this parasagittal section that gives us fabulous information and a perfect anatomical correlation of the extrahepatic bile duct, hepatic artery and portal vein.
Today we are going to stop exclusively in the achievement of this image, which depends on each patient, it will be a parasagittal section and we will get it in the left lateral decubitus position. The image of the pictogram that appears in the image is not binding, each patient will need guidance, this concept is vital.

Este corte es un corte parasagital, donde el transductor está paralelo tanto al eje largo de la porta como al eje largo de la vía biliar extrahepática, que como vimos muchos capítulos atrás son paralelas, siendo la vía biliar extrahepática anterior a la porta, siendo la porta, referencia para buscar la vía biliar.

Entre ambas discurre, perpendicularmente, la arteria hepática. Por eso en este corte nos la vamos a encontrar como una circunferencia, entre dos estructuras tubulares.Es una imagen de una belleza brutal, difícil de conseguir, ya digo, pero debemos buscarla siempre.

This section is a parasagittal section, where the transducer is parallel to both the long axis of the portal and the long axis of the extrahepatic bile duct, which, as we saw, many chapters ago are parallel, with the extrahepatic bile duct before the portal, the portal, reference to find the bile duct.
Between them runs, perpendicularly, the hepatic artery .So in this section we will find it as a circumference, between two tubular structures. It is an image of a brutal beauty, difficult to achieve, I say, but we must always look for it .

La relación anatómica de la ecoestructura es esta. Observa la medida, marca una elevación anormal de los estándares de medición para la vía biliar extrahepática o colédoco, si a estos pacientes con esta medida del colédoco no les encontramos causas justificadas para esta dilatación, acabarán haciéndose una Colangio Resonancia Magnética para demostrar la causa de dicha dilatación, patológica, según la literatura, por encima de 1 cm, considerando que cada 10 años que cumplimos, nuestra vía biliar extrahepática puede aumentar 1 mm. Es decir, para un/a paciente de 40 años, la normalidad de esta medida será en torno a 0,4 cms, para uno de 70, 0,7 cms, en este caso, de 72 años, mide 12,8 mms, claramente anormal.

Las causas de esta dilatación son variadas, desde colédocolitiasis hasta tumoraciones de la cabeza pancreática, por eso es vital el estudio de dicha región con minuciosa rigurosidad.

Algunxs pacientes con patología son asintomáticxs, además debemos saber que en pacientes colecistectomizadxs podemos encontrar dilataciones de calibre superior al estándar y ser normales.

The anatomical relation of the eco-structure is this. Observe the measurement, mark an abnormal elevation of the measurement standards for the extrahepatic bile duct or common bile duct, if to these patients with this measure of the common bile duct we do not find justified causes for this dilation, they will end up becoming a Magnetic Resonance Cholangiogram to demonstrate the cause of this dilatation, pathological, according to the literature, above 1 cm, considering that every 10 years we comply, our extrahepatic bile duct can increase 1 mm. That is, for a patient of 40 years old, the normality of this measure will be around 0.4 cms, for one of 70 years old, 0.7 cms, in this case, 72 years old, measures 12,8 mms (1,28 cms) is abnormal.
The causes of this dilation are varied, from choledocholithiasis to tumors of the pancreatic head, which is why the study of this region with thorough rigor is vital.
Some patients with pathology are asymptomatic, in addition we must know that in patients cholecystectomized can find dilations of caliber superior to the standard and be normal.

45…

 

 

2 comentarios sobre “161. Hilio Hepático

  1. Saludos Dr ! tengo una confusión y me parece con todo respeto que hubo un error de transcripción en la unidad de medida de la siguiente frase: «Es decir, para un/a paciente de 40 años, lña normalidad de esta medida será en torno a 0,4 mms, para uno de 70, 0,7mms, en este caso, de 72 años, mide 1,2 mms, cláramente anormal.» no sería correcto decir 4 mm o 0,4 cms? (0.4 mms es muy pequeño) gracias.

    Me gusta

Deja un comentario