143. Ecocardiografía.Plano Apical 5 Cámaras.

Desde el plano anterior basta con angular algo más cranealmente la sonda hasta que aparezca en el centro de la imagen (en la confluencia de las 4 cámaras) la válvula aórtica y la aorta ascendente proximal (clip 11).

From the anterior plane, the probe is angled somewhat more cranially until it appears in the center of the image (at the confluence of the 4 chambers) the aortic valve and the proximal ascending aorta (clip 11).
Clip 11

El interés de este plano es valorar la válvula aórtica y fundamentalmente su funcionalidad mediante el Doppler color y las mediciones que vamos a obtener mediante el Doppler espectral pulsado y continuo.

Así que lo primero será poner la caja de color para valorar aceleraciones extrañas e insuficiencias.

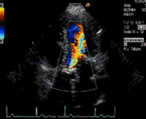
En el clip 12 puedes ver una insuficiencia de esta válvula. Para cuantificarla, además de la impresión que tengamos por la cantidad del chorro de color retrógrado, podemos ir “interrogando” al ventrículo izquierdo en situaciones cada vez más apicales para ver mediante el espectro pulsado hasta dónde llega la regurgitación. También es posible valorar la pendiente de esa regurgitación en el Doppler continuo. Y por último, si la insuficiencia es severa, tendremos que valorar también con Doppler espectral en los planos supraesternales.

Clip 12.
The interest of this plane is to assess the aortic valve and fundamentally its functionality through color Doppler and the measurements that we will obtain by means of pulsed and continuous spectral Doppler. So the first thing is to put the color box to assess strange accelerations and inadequacies. In clip 12 you can see an insufficiency of this valve. To quantify it, in addition to the impression we have for the amount of retrograde color jet, we can «interrogate» the left ventricle in increasingly apical situations to see through the pulse spectrum how far the regurgitation arrives. It is also possible to assess the slope of this regurgitation in continuous Doppler. And finally, if the insufficiency is severe, we will also have to evaluate with spectral Doppler in the suprasternal planes.

Otra medida que vamos a hacer en este plano será el cálculo del área valvular para lo que nos basamos en la “ecuación de continuidad”. Para ello necesitamos sacar la integral velocidad-tiempo en el tracto de salida del VI (TSVI) con Doppler pulsado (figura 22) y los gradientes máximo y medio transvalvulares aórticos con Doppler continuo (figura 23). Mediante estas dos mediciones y la que ya teníamos antes del diámetro del TSVI, que habíamos medido en el paraesternal eje largo, podremos calcular el área y cuantificar el grado de severidad en caso de estenosis.

En este link tienes los parámetros normales y la cuantificación de las valvulopatías. https://ecocardio.com/documentos/valores-referencia.html

Another measure that we are going to do in this plane will be the calculation of the valvular area for what we rely on in the «continuity equation». For this, we need to take the velocity-time integral in the LV outflow tract (LVOT) with pulsed Doppler (figure 22) and the aortic transvalvular maximum and middle gradients with continuous Doppler (figure 23). By means of these two measurements and the one that we had before the diameter of the LVOT, which we had in the parasternal long axis, we can calculate the area and quantify the degree of severity in case of stenosis. 
Fig 22
Fig 23

Deja un comentario