Recordaréis que para obtener los planos apicales, el paciente se coloca en posición OPI, con el brazo izquierdo elevado para poder abrir los espacios intercostales y situamos la sonda entre dos costillas, dirigida hacia el hombro contrario. Debes obtener algo parecido al clip 9. Como ves, el ápex cardiaco se encuentra situado en la parte alta del monitor mientras que el techo de las aurículas se sitúa en la profundidad. En algunos centros hacen una inversión especular arriba-abajo para tener una representación anatómica más anatómica, pero en cuanto hagas media docena de pacientes te acostumbrarás a ver el corazón del revés. La angulación de la sonda debe ser tal que el corazón no aparezca redondeado; eso significará que debes bajar un espacio intercostal. Si por el contrario, tienes demasiada angulación, aparecerá la aorta en el centro de las 4 cámaras y habrás obtenido el plano 5 cámaras, que no es el que ocupa este post. Otro truco si no te sale bien a la primera es jugar con la respiración del paciente. Algunos se benefician de mantener una apnea inspiratoria y otros en espiración. Prueba por ti mismo para descubrir qué es lo que necesita tu paciente para ofrecerte toda la calidad de su corazón.
Remember that to obtain the apical planes, the patient is placed in the OPI position, with the left arm raised to open the intercostal spaces and place the probe between two ribs, directed towards the opposite shoulder. You should get something similar to the clip 9. As you can see, the cardiac apex is located at the top of the monitor while the atrium roof is located at the depth. In some centers they make a top-down mirror inversion to have a more anatomical anatomical representation, but as soon as you make around six patients you will get used to seeing the heart upside down. The angulation of the probe should be such that the heart does not appear rounded; that will mean that you have to lower an intercostal space. If, on the other hand, you have too much angulation, the aorta will appear in the center of the 4 chambers and you will have obtained the 5 chambers map, which is not the one that occupies this post. Another trick if you do not get it right the first time is to play with the patient’s breathing. Some benefit from maintaining inspiratory apnea and others from expiration. Test yourself to discover what your patient needs to offer you all the quality of your heart.

La figura 17 te indica la anatomía ecográfica de este plano. Debes valorar el tamaño de las aurículas y de los ventrículos, la movilidad, flexibilidad y ecogenicidad de las válvulas mitral y tricúspide así como sus anillos y por último valorar la contracción segmentaria de las paredes que se ven en este plano y que te conducirán al cálculo de la fracción de eyección.
Figure 17 shows you the ultrasound anatomy of this plane. You must assess the size of the atria and ventricles, the mobility, flexibility and echogenicity of the mitral and tricuspid valves as well as their rings and finally assess the segmental contraction of the walls that are seen in this plane and that will lead you to the calculation of the ejection fraction.

Una vez realizado el estudio 2D pasamos al estudio mediante Doppler-color. En primer lugar colocaremos una caja de color sobre la válvula mitral donde nos haremos una idea si existe regurgitación o no (insuficiencia valvular), una aceleración excesiva de la sangre en este lugar (estenosis) coincidiendo con un defecto de apertura sospechado en el 2D, o por el contrario, todo parece normal. El clip 10 muestra un llenado transmitral normal por Doppler color.
Once the 2D study was done, we went to the Doppler-color study. First we will place a colored box on the mitral valve where we will have an idea if there is regurgitation or not (valvular insufficiency), an excessive acceleration of the blood in this place (stenosis) coinciding with an opening defect suspected in the 2D, or on the contrary, everything seems normal. Clip 10 shows normal transmitral filling by color Doppler.

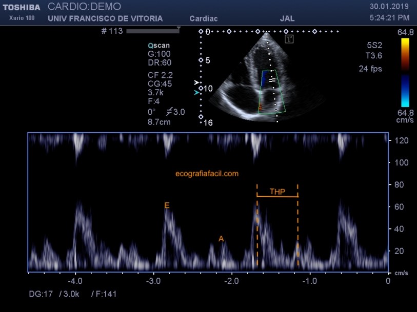
A continuación, pondremos un volumen de muestra a nivel del final de los velos mitrales en el momento de su apertura total para obtener un Doppler espectral que nos permita medir la velocidad de llenado transmitral y el tiempo de hemipresión, parámetros que nos ayudarán a valorar el tipo de ritmo cardiaco (sinusal, fibrilación auricular, alteración de la relajación…) y el área de la válvula (figura 18). Si la velocidad máxima supera 1.5 m/s sugiere que hay estenosis y entonces el Doppler espectral deberá ser contínuo y no pulsado. También usaremos el continuo en casos de prótesis valvular.
Next, we will put a sample volume at the end of the mitral leaflets at the moment of its total opening to obtain a spectral Doppler that allows us to measure the transmitral filling speed and the hemipression time, parameters that will help us to evaluate the type of heart rate (sinus, atrial fibrillation, relaxation disturbance …) and the area of the valve (figure 18). If the maximum velocity exceeds 1.5 m / s, it suggests that there is stenosis and then the spectral Doppler should be continuous and not pulsed. We will also use the continuum in cases of valvular prostheses.

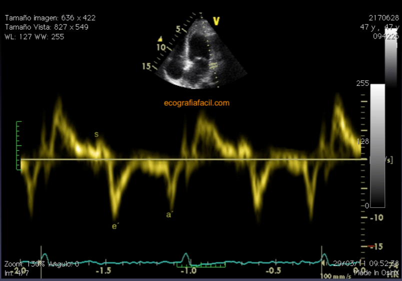
Una vez valorado el flujo transmitral, vamos a por un Doppler tisular espectral en el anillo lateral mitral (figura 19). La relación que encontremos entre los valores de la onda E (sangre) y la onda e´(anillo) me ayudará a establecer la función diastólica.
Once the transmitral flow is assessed, we go for a spectral tissue Doppler in the lateral mitral ring (Figure 19). The relationship that we find between the values of the wave E (blood) and the wave e'(ring) will help me to establish the diastolic function.

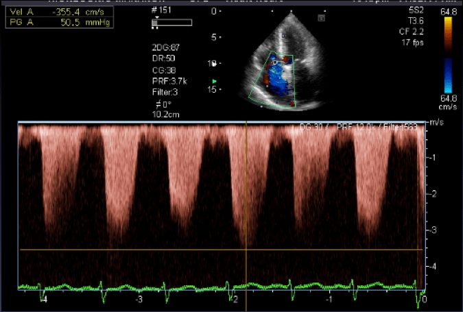
Una vez finalizado el estudio de las cavidades izquierdas, vamos a poner el Doppler color sobre la válvula tricúspide. En este caso no nos interesa tanto el llenado transvalvular como la insuficiencia que pudiera existir porque gracias a ella vamos a calcular la PSAP (Presión sistólica en arteria pulmonar) de manera no invasiva. Si observamos una regurgitación con el Doppler color, hay que alinear la barra de muestra del Doppler continuo con la dirección de la misma para obtener una buena medida de la velocidad máxima de regurgitación (figura 20). Con la fórmula PSAP = (Vmax2 x4) + RAP, pasaremos de tener una velocidad a una presión en mmHg, que de ser superior a 50 mmHg, nos hará pensar en HTP. Este punto hay que relacionarlo con la morfología de la curva espectral que obtuvimos en la válvula pulmonar (eje corto grandes vasos) y, por supuesto, con la clínica del paciente.
After completing the study of the left cavities, we will put the color Doppler on the tricuspid valve. In this case we are not interested in transvalvular filling as much as in the insufficiency that could exist because thanks to it we are going to calculate the PSAP (pulmonary artery systolic pressure) in a non-invasive way. If we observe a regurgitation with the color Doppler, it is necessary to align the sample bar of the continuous Doppler with the direction of the same to obtain a good measure of the maximum regurgitation velocity (figure 20). With the formula PSAP = (Vmax2 x4) + RAP, we will go from having a velocity to a pressure in mmHg, which if it is higher than 50 mmHg, will make us think of HTP. This point has to be related to the morphology of the spectral curve that we obtained in the pulmonary valve (short axis large vessels) and, of course, to the patient’s clinic.

Por último, vamos a usar el modo M para valorar la cantidad de movimiento longitudinal (o vertical, según se mire) del anillo tricúspide, y que me da una idea de la función sistólica del ventrículo derecho. En la figura 21 puedes ver el modo M que debe arrojar un valor por encima de 15 mm en condiciones normales.
Finally, we will use the M mode to assess the amount of longitudinal (or vertical, as viewed) movement of the tricuspid annulus, and that gives me an idea of the systolic function of the right ventricle. In Figure 21 you can see the M mode that should throw a value above 15 mm under normal conditions.
