No paramos en este lluvioso y gris jueves de se Semana Santa, donde el verano parece no existir, donde el susurro del mar y la calidez de la arena de la playa y el sol me llaman…Me acompaña «con las ganas» de Zahara…no digo más…
Para establecer un diagnóstico sobre la ecografía cardiaca no basta con ver las alteraciones morfológicas y funcionales. Es importante realizar algunas mediciones estandarizadas para poder CUANTIFICAR el grado de las lesiones si existen.
Para ello se han publicado diversas guías que dicen lo que está bien y lo que no; los límites inferiores y superiores de cada medida. A todo ello hay que añadirle el resto de ingredientes para que el resultado final sea óptimo. Estos elementos son la anamnesis, la exploración física, la auscultación y, en estos momentos de práctica de la medicina basada en la evidencia son también importantes las preferencias del paciente; es decir, que el paciente debe involucrarse en todo lo que respecta a su enfermedad, a su vida, a su cuerpo…
To establish a diagnosis on cardiac ultrasound, it is not enough to see the morphological and functional alterations. It is important to perform some standardized measurements to be able to quantify the extent of the injuries if they exist.
For this, several guides have been published that say what is good and what is not; the lower and upper limits of each measure. To all this we must add the rest of the ingredients so that the final result is optimal. These elements are the anamnesis, the physical examination, the auscultation and, in these moments of practice of the medicine based on the evidence, the preferences of the patient are also important; that is, that the patient must be involved in everything related to the own illness, the own life, the own body …
You can see the normal echocardiographic values and their alterations in these publications:
Puedes ver los valores ecocardiográficos normales y sus alteraciones en estas publicaciones:
http://www.scielo.br/scielo.php?script=sci_arttext&pid=S0066-782X2000000800003
https://www.echopedia.org/wiki/Normal_Values
https://ecocardio.com/documentos/valores-referencia.html
Lo que vamos a enseñarte a continuación es cómo debes obtener estas mediciones. Vayamos por partes (como decía Jack el destripador)…
Paraesternal eje largo:
Aquí podemos medir el diámetro de la Aurícula Izquierda (AI), que lo haremos cuando esté lo más dilatada posible; es decir, al final de la sístole, como puedes ver en la figura 11. Este momento coincide con el punto de mayor vaciado del Ventrículo Izquierdo (VI), así que aprovechamos para medir este diámetro también.
Here we can measure the diameter of the Left Atrium (LA), which we will do when it is as wide as possible; that is, at the end of the systole, as you can see in figure 11. This moment coincides with the point of greatest emptying of the left ventricle (LV), so we took advantage of this diameter to measure it too.

Un poco más allá en el tiempo, veremos que el diámetro del VI es máximo al final de la diástole, así que aquí volveremos a medir el diámetro del VI en el mismo punto anatómico que lo hicimos anteriormente. Además, podemos medir el espesor del septo interventricular y de la cara lateral-inferior del VI (fig 12).
A little further in time, we will see that the diameter of the LV is maximum at the end of diastole, so here we will again measure the diameter of the LV at the same anatomic point as we did previously. In addition, we can measure the thickness of the interventricular septum and the lateral-inferior aspect of the LV (fig 12).

Este punto temporal coincide con una imagen donde vemos completamente abiertos los velos de la válvula mitral (VM) y por ello es posible medir también el Tracto de Salida del VI (TSVI), que podemos llegar a necesitar para cuantificar posteriormente una estenosis de la Válvula Aórtica (EAo). Lo más cómodo es hacer un zoom sobre esta región para mayor comodidad y fiabilidad en la medición (fig 13).
This temporal point coincides with an image where the veils of the mitral valve (VM) are completely open and it is therefore possible to measure the LV Exit Tract (LVOT), which we may need to subsequently quantify a stenosis of the Valve Aortic (EAo). It is most convenient to zoom in on this region for greater convenience and reliability in the measurement (fig 13).

Es posible pasar un modo M tanto por la AI como por la VM y por el centro del VI (clip 8 y figura 14). En todos estos casos podemos medir los diámetros anteriormente citados, aunque es necesario que la línea de corte que me va a enseñar el modo M esté perpendicular al eje largo del VI, porque si no, podemos infra o sobreestimar las mediciones. La ventaja del modo M sobre el modo 2D reside en su excelente resolución temporal y resolución axial.
It is possible to pass an M mode both by the AI and by the VM and in the middle of the LV (clip 8 and figure 14). In all these cases we can measure the aforementioned diameters, although it is necessary that the cut line that will teach me the M mode is perpendicular to the long axis of the LV, we must be carefull in this moment, is possible that we can underestimate or overestimate the measurements. The advantage of M mode over 2D mode lies in its excellent temporal resolution and axial resolution.


Paraesternal eje corto:
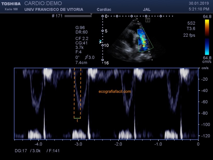
Aquí vamos a realizar nuestras primeras mediciones con el Doppler espectral.
Pondremos el cursor de muestra inmediatamente antes de la válvula pulmonar y pasaremos a ese nivel un PW, que nos informará de la velocidad máxima de la sangre en ese punto, y lo más importante aquí, el tiempo de desaceleración de la sangre, como puedes ver en la figura 15.
Here we are going to make our first measurements with the spectral Doppler.
We will put the sample cursor immediately before the pulmonary valve and we will pass to that level a PW, which will inform us of the maximum velocity of the blood at that point, and most importantly, the time of deceleration of the blood, as you can see in figure 15.

También podemos poner el color sobre la válvula tricúspide y, en caso de observar una regurgitación, pasar el Doppler espectral continuo (recuerda que el CW es algo casi exclusivo de la cardio) para medir la velocidad máxima de la regurgitación. Esta medida será importante para cuantificar después si existe o no hipertensión pulmonar.
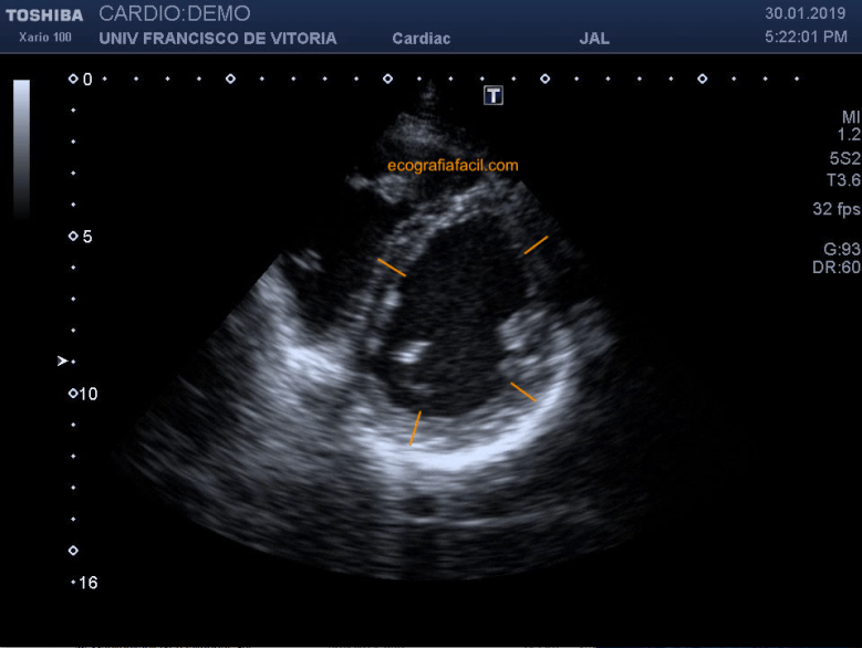
Cuando estemos en el eje corto sobre la válvula mitral pondremos nuestra caja de color. De esta manera podemos ver también si existe o no una insuficiencia valvular que genera una regurgitación (esto también es posible realizarlo sobre la válvula aórtica en el plano de los grandes vasos, que antes se me pasó comentarlo).
Después, cuando estemos en la mitad del VI podemos parar el movimiento del corazón (¡por favor, sólo el clip adquirido, no el corazón real del paciente!) en el momento final de la diástole; o sea, cuando las paredes son más delgadas, para hacer mediciones de los espesores parietales del VI (figura 16).
We can also put the color on the tricuspid valve and, in case of observing a regurgitation, pass the continuous spectral Doppler (remember that the CW is something almost exclusive of cardio) to measure the maximum speed of regurgitation. This measure will be important to quantify later whether or not pulmonary hypertension exists.
When we are on the short axis on the mitral valve we will put our color box. In this way we can also see if there is or not a valvular insufficiency that generates a regurgitation (this is also possible to realize it on the aortic valve in the plane of the great vessels, which before I was told about it).
Then, when we are in the middle of the LV, we can stop the movement of the heart (please, only the acquired clip, not the real heart of the patient!) At the end of the diastole; that is, when the walls are thinner, to make measurements of the parietal thicknesses of the LV (Figure 16).

No es una medida que hagamos siempre, pero es posible realizarla si no vimos bien las paredes en el eje largo anterior.
It is not a measure that we always do, but it is possible to do it if we did not see the walls in the previous long axis
Nos vemos en el próximo post, donde nos adentraremos en las imágenes apicales. Ve cogiendo fuerzas!