Es una patología descrita en 1743…
La enfermedad de Peyronie es una patología inflamatoria del pene, de etiología diversa que se caracteriza por los siguientes hallazgos clínicos:
- Cicatrización anormal a nivel de la túnica albugínea que forma una placa que se palpa dorsalmente.
Cuando está en estados iniciales puede presentarse en diferentes formas clínicas:
- Dolor a la erección
- Acortamiento o curvatura peneana anómala
- Ecográficamente la placa sera blanda e hiperecogénica
En fases más avanzadas:
- Curvatura permanente
- Dolor
- Disfunción erectil
- Ecográficamente la placa calcificará y dejará sombra acústica posterior
La incidencia no supera el 9% y se presenta entre los 40 y 60 años de modo general.


Me gustaría enseñarte como es un pene sano y vigoroso y como es un pene con afectación de la enfermedad de Peyronie, con las dos imágenes de arriba creo que lo vas a entender muy bien, así que una vez explicado como podría ser la anatomía macro morfológica de una pene erecto sano y un pene afectado, nos adentramos en la descripción ecografía de los hallazgos de la enfermedad, vamos.
Lo primero que tenemos que conocer es la anatomía ecográfica del pene, el corte axial es normalmente el que mejor visión global del mismo no va a mostrar, ya que vamos a poder ver toda su anatomía y la relación de las diferente estructuras que la componen. Si el abordaje del pene es ventral o dorsal, nos dará una anatomía axial donde la uretra se situará superficial o profunda a los cuerpos cavernosos.


Es muy importante el conocimiento de estas estructuras que tienes señaladas con flechas rosas y líneas amarillas, así como las dos venas superficiales, superficial y profunda dorsales del pene, con lo cual, el acceso al pene ha sido dorsal.
Nos tenemos que fijar en la túnica albugínea de los cuerpos cavernosos del pene, pero ¿qué es? y ¿qué función tiene dicha túnica? Te lo explico..La túnica albugínea es una envoltura de los cuero cavernosos del pene. Básicamente es Colágeno a un 95% y Elastina a un 5% ya que está implicada en el mantenimiento de la erección.
Hemos hablado que esta enfermedad afecta a la túnica albugínea del pene, por lo tanto y según la anatomía que ahora conocemos, incide directamente sobre la capacidad de erección del miembro.
También sabemos como es la normalidad ecográfica de la túnica, una lámina fina, hiperecogénica, a veces a penas perceptible que rodea los cuerpos cavernosos. Los cambios que se produzcan sobre esta normalidad serán relativamente fáciles de ver, si se domina la técnica, esto debe queda claro.
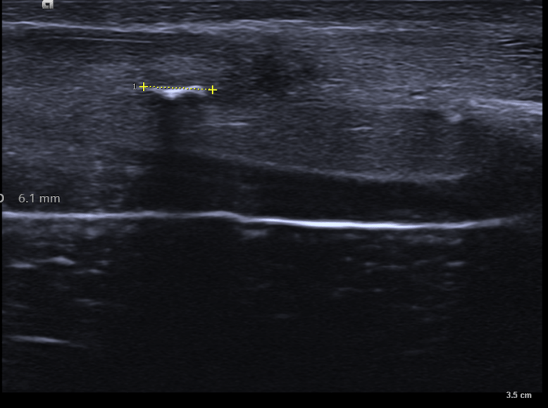
Estas tres próximas imágenes que vas a ver son tres claros ejemplos de lo que es una calcificación grosera de la túnica albugínea, mira:



En estas tres imágenes ves claramente una calcificación grosera, ligeramente curva, que afecta a la túnica albugínea del cuerpo cavernoso izquierdo en su porción interna y profunda. Mide algo menos de 7 mm y esto ya se considera una placa bastante grande. El paciente, por cierto, no cumplía con los estándares de incidencia habitual, tenía menos de 40 años.

Para terminar, aspecto normal y patológico de la túnica albugínea.
Ya hacía tiempo que quería subir un post, es difícil porque la actividad es muy alta y la vida nos lleva…y nos lleva a estas tres localizaciones el próximo trimestre:
María Leal y yo esperamos veros en alguno de estos tres eventos que tenemos el próximo trimestre, continuando con este ciclo formativo de ecografía para TSID, una aventura, una forma de vivir, en un momento donde lo más bonito de todo es que nos sabemos si disfrutamos más aprendiendo, que enseñando.
Felices Fiestas, os deseamos un precioso y ultrasónico 2023 lleno de Salud y crecimiento personal.



Información e inscripciones en la Web de SETSS(aquí).












