Curso de Ecografía para TSID – Nivel Básico.

Presentamos con muchísima ilusión este Nivel 1 de #Iniciación a la #Ecografía para quienes estéis pensando en acercaros a la técnica o para quien estéis dando los primeros pasos en ella.

De la mano de Sociedad Española de Técnicos Superiores Sanitarios, con el apoyo inestimable de Quirónsalud y dirigido por María Leal Gondra y Antonio Lanzas Carmona disfrutaremos de este curso y aprenderemos esta maravillosa técnica.

Como siempre, conceptos básicos teóricos de #Ecografía:

🟣Fundamentos físicos
🟣Optimización de imagen
🟣Semiología de los tejidos
🟣Protocolos básicos

Y talleres de:

🟣Ecografía General
🟣Ecografía Doppler
🟣Ecografía Msk.

Inscripciones abiertas:

https://lnkd.in/dMJ_BZih

358. La Nitidez

La Importancia de la Nitidez de Imagen en Ecografía: Entendiendo Resoluciones y Ajustes y jugando con ellos.

Sabemos que en ecografía la calidad de estas imágenes puede variar significativamente dependiendo de varios factores. Uno de los más importantes es la nitidez de imagen. En este post vamos a explorar la nitidez de imagen y te la explico con objeto de que aprendas a optimizar la imagen ecográfica en relación con tres tipos de resolución: espacial, temporal y de contraste. Además, discutiremos cómo distintos ajustes en el equipo de ecografía pueden influir en la nitidez.

Cuando nos enfrentamos a una ecografía, lo más importantes es ver lo que necesitamos estudiar y verlo lo me mejor posible.

La Resolución de la imagen es aquella cualidad del equipo que nos permite ver mejor la cantidad de detalles que dicha imagen pueda mostrarnos.

Cuando nos compramos un televisor nuevo lo que buscamos es que se vea bien, en la tienda todos tienen muy buena imagen, pero si te pones a comparar unos con otros, observas diferencias en la imagen, unos se ven mejor y otros se ven un poco peor, casi siempre en relación con el precio, los mejores, más caros siempre…

Resolución Espacial

La resolución espacial se refiere a la capacidad del sistema de ecografía para diferenciar dos objetos o puntos cercanos como entidades separadas en la imagen. Una mayor resolución espacial se traduce en imágenes más detalladas y claras.

Tipos de resolución:

Ajuste relacionado: Frecuencia de Onda Ultrasónica

La frecuencia de la onda ultrasónica tiene un impacto significativo en la resolución espacial. Ondas de alta frecuencia proporcionan una mayor resolución espacial pero tienen una menor penetración. Por lo tanto, se suelen utilizar para estudios superficiales. Las ondas de baja frecuencia penetran más, pero ofrecen menos detalle.

Resolución Temporal

Se refiere a la capacidad del sistema para mostrar cambios en el movimiento o posición de las estructuras con el tiempo. En términos sencillos, una alta resolución temporal permite captar más «fotogramas» en un período determinado, lo que es particularmente útil en estudios de estructuras en movimiento.

Ajuste relacionado: Frame Rate

El frame rate o tasa de fotogramas es el ajuste que controla la resolución temporal. Un frame rate más alto permite visualizar movimientos más sutiles pero puede comprometer la resolución espacial debido a la menor cantidad de datos que se pueden procesar en cada fotograma. En la imagen tienes un valor en el lateral derecho que marca 37 fps, ese es el FR.

Resolución de Contraste

Esta resolución determina la capacidad del sistema para diferenciar estructuras con niveles similares de ecogenicidad. Una alta resolución de contraste permitirá, por ejemplo, distinguir entre diferentes tipos de tejido en una sola imagen.

Ajuste relacionado: Rango Dinámico

El rango dinámico controla el espectro de grises en la imagen, afectando así la resolución de contraste. Un rango dinámico más amplio permitirá más niveles de gris, lo que podría facilitar la diferenciación entre estructuras similares. En la imagen un valor de DR:70 nos marca el contraste de la imagen.

Despues tenemos el foco, como precursor de la nitidez, posicionándolo allí donde queremos potenciar esta nitidez.

Foco de Imagen Ecográfica

El foco de imagen es un ajuste básico pero crucial que afecta directamente la nitidez de la imagen. La posición y el número de focos pueden ajustarse para optimizar la resolución espacial en la profundidad de interés. Es lamarca lateral en la escala de profundidad, mira como cambia el foco en la imagen y como varía la nitidez de la misma y su calidad.

Conclusión

Entender la interacción entre diferentes tipos de resolución y los ajustes correspondientes es crucial para optimizar la calidad de la imagen en ecografía. A través de la manipulación cuidadosa de la frecuencia de onda, el frame rate, el rango dinámico y el foco, los profesionales pueden asegurarse de obtener imágenes nítidas y precisas, fundamentales para un diagnóstico confiable.

Espero que este Post te haya proporcionado una visión más clara sobre cómo lograr imágenes ecográficas de alta calidad mediante el ajuste de distintas variables.

Hay veces que cuando te falta claridad, aparece la Nitidez…y lo cambia todo…GRACIAS.

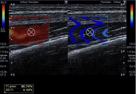
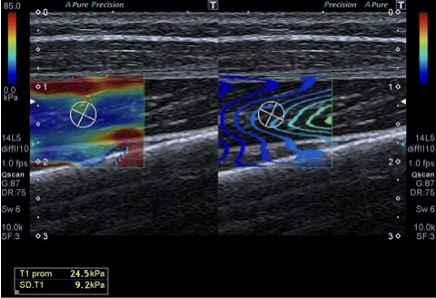
357. Kilopascales (kPc) en Elastrografía. Lo que el TSID debe saber.

Introducción

Cuando hablamos de medicina moderna, las tecnologías de imagen han revolucionado la forma en que diagnosticamos y tratamos una variedad de enfermedades. Entre estas tecnologías se encuentra la elastografía, un método no invasivo para evaluar la rigidez de los tejidos internos del cuerpo. Pero, ¿alguna vez te has preguntado cómo se mide esta rigidez? Aquí es donde entran en juego los kilopascales (kPa). En este post, exploraremos qué son los kilopascales, su importancia en la elastografía y cómo se utilizan en la práctica médica.

¿Qué son los Kilopascales?

Un kilopascal (kPa) es una unidad de presión en el Sistema Internacional de Unidades (SI), equivalente a 1000 pascales. Un pascal es la presión resultante cuando una fuerza de un newton actúa sobre un área de un metro cuadrado. Los kilopascales son comúnmente utilizados en aplicaciones que van desde la meteorología hasta la ingeniería.

La Importancia de los Kilopascales en Elastografía

La elastografía es una técnica que mide la rigidez o elasticidad de los tejidos blandos, como el hígado, los músculos y otros órganos. Esta técnica es especialmente valiosa para detectar cambios en la rigidez del tejido que podrían indicar condiciones médicas como fibrosis, cirrosis o tumores. En el ámbito de la elastografía, las medidas de rigidez se expresan típicamente en kilopascales.

Características Principales

  • No invasivo: No se necesita una biopsia o una cirugía para obtener medidas.
  • Rápido y práctico: Las mediciones se pueden realizar en tiempo real durante una ecografía o una resonancia magnética.
  • Sensible a cambios en la elasticidad: Capaz de detectar diferencias sutiles en la rigidez del tejido.

Usos Habituales de la Elastografía

  • Evaluación del Hígado: Uno de los usos más comunes es en el diagnóstico y monitoreo de la fibrosis y la cirrosis hepáticas.
  • Cáncer de Próstata: Se utiliza para identificar áreas sospechosas que podrían requerir más pruebas.
  • Evaluación de la Tiroides: Para detectar nódulos tiroideos que podrían ser cancerosos.
  • Evaluación Musculoesquelética: Utilizado en ortopedia para evaluar la rigidez de músculos y tendones.

Valores Normales de Rigidez

En el Tejido Hepático

  • Normal: Entre 4,0 y 5,8 kPa.
  • Fibrosis leve: Entre 6 y 7 kPa.
  • Fibrosis moderada: Entre 8 y 9 kPa.
  • Cirrosis: Más de 12-14 kPa.

En Tejidos Musculares Principales

La rigidez de los músculos puede variar, pero generalmente son más duros (mayor rigidez medida en kPa) cuando están contraídos y más blandos cuando están relajados.

¿Expresar en Kilopascales o en valores de velocidad?

Desde el Punto de Vista Técnico

  1. Calibración Uniforme: Los kilopascales ofrecen una escala de medición más uniforme y estandarizada. La velocidad de la onda puede depender de varios factores como la densidad del tejido, el tipo de onda (longitudinal o transversal), entre otros. Medir en kilopascales permite un parámetro más universalmente comparable.
  2. Relación Directa con Propiedades Mecánicas: Los kilopascales son una medida directa de la rigidez del tejido, que es lo que generalmente se quiere evaluar en elastografía. En contraste, la velocidad de las ondas sísmicas o acústicas en el tejido sólo es un indicador indirecto de esta rigidez.
  3. Mayor Sensibilidad a Cambios Tisulares: Dada su relación directa con la rigidez, las medidas en kilopascales pueden ser más sensibles a cambios patológicos en el tejido. Esto permite una detección más temprana y precisa de enfermedades.
  4. Facilita Modelos Computacionales: Utilizar kilopascales en lugar de velocidad permite una integración más sencilla con modelos computacionales de los tejidos y sus propiedades, lo que puede ser beneficioso para análisis más complejos y simulaciones.

Desde el Punto de Vista Práctico

  1. Interpretación Clínica Más Sencilla: Para el personal médico, interpretar la rigidez del tejido en kilopascales suele ser más intuitivo y directamente relacionado con la condición fisiológica del tejido. Por otro lado, la velocidad puede requerir pasos adicionales para interpretarla en un contexto clínico.
  2. Comunicación entre Profesionales: Dado que los kilopascales ofrecen una medida más estandarizada, facilitan la comunicación y comparación de resultados entre diferentes profesionales de la salud, incluso cuando se utilizan diferentes tecnologías o equipos.
  3. Eficiencia: Evitar la conversión de medidas de velocidad a una escala de rigidez ahorra tiempo y reduce la posibilidad de errores, lo cual es crucial en entornos clínicos donde cada minuto cuenta.
  4. Facilita la Comunicación con el Paciente: Es más sencillo para los pacientes entender la gravedad de su condición si se les informa sobre la rigidez del tejido en términos de una escala directa y estandarizada como los kilopascales. Esto puede resultar en una mejor adherencia al tratamiento y seguimiento.

Anexo aclaratorio gracias a mi amigo y profesor Javier Álvarez, TSID y Fisioterapeuta, es una suerte estar rodeado de gente tan inteligente, eso es un consejo que me dieron un día que es muy sano…

El uso de los Kilopascales es una medida calculada a partir de los registros de la velocidad de la onda al que se le aplica una ecuación o formula matemática que transforma velocidades en medida de presión.

356. Longitud de #Onda en la Ecografía: Una Clave para la Nitidez y Calidad de la Imagen

Nítida

La ecografía es una herramienta diagnóstica invaluable en la práctica médica moderna. Pero ¿alguna vez te has preguntado qué determina la calidad y nitidez de estas imágenes? Lo he explicado más veces, pero revisamos…

La respuesta está en gran medida en la «longitud de onda» del ultrasonido utilizado. A continuación, te explico cómo la longitud de onda afecta la calidad de la imagen ecográfica.

Máxima nitidez

🔵 ¿Qué es la Longitud de Onda?
La longitud de onda en la ecografía se refiere a la distancia física entre dos puntos similares consecutivos en una onda, como podría ser entre dos crestas. Esta medida está inversamente relacionada con la frecuencia: a mayor frecuencia, menor será la longitud de onda, y viceversa.

🟢 Relación con la Nitidez y la Calidad de la Imagen

1️⃣ Alta Frecuencia, Menor Longitud de Onda

  • 🌟 Mayor Resolución Espacial: Permite una visualización más nítida de estructuras pequeñas.
  • ⬇️ Penetración Limitada: Útil para estructuras superficiales, pero con menor capacidad para penetrar tejidos más profundos.
    2️⃣ Baja Frecuencia, Mayor Longitud de Onda
  • 🌫️ Menor Resolución: Dificulta la identificación de detalles pequeños.
  • ⬆️ Mayor Penetración: Útil para examinar órganos y tejidos más profundos.

🟣 Consideraciones Prácticas:
Estructuras Superficiales vs Profundas:

➕Frecuencia ➕Nitidez ➖Profundidad

➖Fr ➖Ntz ➕Prof

🔍 Conclusión
La longitud de onda es un factor crucial que afecta tanto la nitidez como la calidad general de la imagen ecográfica. La elección de la frecuencia adecuada, y por lo tanto la longitud de onda, es vital para obtener imágenes diagnósticas de alta calidad.

355. Índice Mecánico en Ecografía: Importancia y Relación con la Potencia de Transmisión

Introducción

  • Presentación sobre el valor del índice mecánico en la la ecografía y su relevancia en diagnóstico médico.
  • Introducción a parámetros que afectan la seguridad del paciente y calidad de una ecografía.

¿Qué es el Índice Mecánico (MI)?

  • Definición: Medida que indica las vibraciones mecánicas generadas en tejidos durante la ecografía.
  • Cálculo del MI: MI = Pico de presión negativa del ultrasonido / Raíz cuadrada de la frecuencia del ultrasonido.
  • el Índice Mecánico (MI) es uno de los índices que se utiliza para evaluar la seguridad del ultrasonido en el cuerpo humano. El MI es particularmente importante porque se relaciona con el potencial de efectos no térmicos, como la cavitación.
  • En términos de rangos de seguridad, el MI debería mantenerse lo más bajo posible para minimizar el riesgo de cavitación, especialmente en exámenes de diagnóstico. La mayoría de las directrices internacionales, como las de la FDA (Food and Drug Administration) en los Estados Unidos, recomiendan un MI máximo de 1.9 para la mayoría de los exámenes diagnósticos.

Valores Normales del MI

  • Las directrices, como las de la FDA, recomiendan un MI máximo de 1.9 para la mayoría de los exámenes diagnósticos.
  • Es crucial para prevenir efectos adversos como la cavitación.
  • el MI es un indicador del potencial de las ondas ultrasónicas para causar efectos mecánicos indeseados en los tejidos. Se calcula utilizando la presión negativa (que indica la fuerza de la onda) y la frecuencia del ultrasonido (que influye en la capacidad de la onda para causar estos efectos). Al dividir la presión negativa entre la raíz cuadrada de la frecuencia, se obtiene un índice que es relevante y útil para una amplia gama de aplicaciones de ultrasonido.

Índice mecánico bajo.

Índice mecánico alto.

Potencia de Transmisión y MI

  • La potencia de transmisión refiere a la cantidad de energía ultrasónica que el ecógrafo emite.
  • Esta potencia influye directamente en el MI. Aumentando la potencia, se aumenta la presión ultrasónica y, por tanto, el MI.
  • Ajustar correctamente la potencia es esencial para obtener imágenes claras y seguras.
  • Pero que pasa si bajas el IM y por ende la potencia de transmisión, pues que bajas las energía de transmisión del ultrasonido y por tanto la calidad de la misma. Si no hay nergía, no hay información en pantalla.
  • Se recomienda usar la potencia de transmisión más baja posible y por tanto el IM más bajo sin que afecte a la calidad de imagen esto no es ni más ni menos que el criterio ALARA y es Seguridad del Paciente

Contraste Ecográfico y MI

  • El contraste ecográfico utiliza agentes que mejoran la visibilidad de estructuras o flujos en la ecografía.
  • Estos agentes, a menudo, contienen microburbujas que son sensibles al ultrasonido.
  • Un MI elevado puede causar que estas microburbujas colapsen, un fenómeno conocido como cavitación así como la consecuancia del colapso de las mismas, que es que no se puedan usar para el propósito del contraste.

Cavitación: Concepto y Peligros

  • Definición: Fenómeno donde pequeñas burbujas de gas en los tejidos se expanden y colapsan debido a las ondas ultrasónicas.
  • Tipos:
    • Cavitación estable: Las burbujas oscilan pero no colapsan. Puede mejorar el contraste pero es menos dañina.
    • Cavitación inestable: Las burbujas colapsan violentamente, generando calor y potencialmente dañando tejidos.
  • Peligros: Daño tisular, hemorragias, perturbación de la función celular, entre otros. Esencialmente importante evitar en órganos sensibles como el ojo o cerca de grandes vasos sanguíneos.

Conclusión

  • La ecografía es una herramienta potente y segura, pero su seguridad y eficacia dependen de la correcta regulación de parámetros como el MI y la potencia de transmisión.
  • La cavitación representa un riesgo real y, por ello, entender y gestionar correctamente el MI es esencial.

354. Líquido pericárdico, un hallazgo casual?

El pericardio es una membrana de tejido delgado y resistente que envuelve y protege el corazón, manteniéndolo en su lugar en la cavidad torácica y evitando que se desplace de manera excesiva durante los latidos cardíacos.

Anatomía
  1. Qué es un derrame pericárdico? Imagina que el corazón está en una bolsa delgada llamada pericardio. Un derrame pericárdico ocurre cuando se acumula líquido entre las capas de esta bolsa.
Pericarditis
  1. ¿Por qué ocurre? Puede deberse a infecciones, inflamación o problemas en el corazón. El líquido extra puede presionar el corazón, dificultando su funcionamiento.

Paciente de 45 años. Asintomática. Le piden ecografía abdominal por dolor que ya ha remitido.

En la exploración llama la atención tres cosas:

Cantidad moderada de líquido pericárdico.

Aumento del grosor de las venas supra hepáticas. Ectasia.

Leve hiperecogénicidad renal derecha con respecto al Parénquima hepático probablemente producido por una hipecogenicidad hepática debido al edema del mismo.

Imágenes:

Líquido pericárdico
Venas Suprahepáticas Aumentadas
Hiperecogenicidad Renal

No es habitual encontrar esta cantidad de líquido pericárdico, siempre que lo veamos es una línea roja, debemos preguntar.

Anatomía
Anatomía en movimiento

El hallazgo de líquido con los otros hallazgos podrían sugerir patología como la Pericarditis Congestiva y por eso la paciente es derivada.

La paciente ha sido remitida a la consulta de Cardiología para valoración.

353. La Simetría ecográfica: Indicadores de Normalidad.

Introducción

La simetría y asimetría anatómica son conceptos fascinantes que revelan información valiosa sobre la normalidad y la salud de nuestro cuerpo. A simple vista, la simetría puede parecer un atributo estético, pero va mucho más allá. Exploraremos cómo la simetría anatómica es un signo de normalidad, mientras que la asimetría podría ser un indicador de posibles patologías. Profundicemos en este interesante tema para comprender mejor lo que nuestros cuerpos pueden revelar.

La Importancia de la Simetría Anatómica

La simetría anatómica se refiere a la igualdad y equilibrio en las dimensiones, formas y proporciones de las estructuras del cuerpo humano en ambos lados. A nivel evolutivo, la simetría ha sido considerada un signo de buena salud y desarrollo genético, ya que indica que los recursos genéticos y ambientales se han distribuido de manera adecuada durante el crecimiento.

Un ejemplo destacado de simetría es el rostro humano. Un rostro simétrico es generalmente considerado más atractivo, y se cree que esto puede ser un indicador de la salud y la capacidad genética para resistir enfermedades. Además, en la medicina diagnóstica, la simetría se utiliza como punto de referencia para evaluar desviaciones o anomalías.

Asimetría: ¿Señal de Posibles Patologías?

La asimetría anatómica, por otro lado, se presenta cuando hay discrepancias notables entre las estructuras del cuerpo en ambos lados. Aunque cierto grado de asimetría es normal y esperado, una asimetría excesiva puede ser un indicador de problemas subyacentes.

Algunas patologías pueden manifestarse macroscópicamente o al vista, a través de asimetrías. Por ejemplo, en casos de parálisis facial, se puede observar una diferencia en la simetría del rostro debido a la debilidad muscular en un lado. Asimismo, la asimetría en el tamaño de las mamas podría ser un indicador de cáncer de mama u otras condiciones mamarias. La asimetría en extremidades también podría sugerir problemas neuromusculares o de desarrollo.

La Importancia de la Detección Temprana

Detectar asimetrías significativas a tiempo puede ser fundamental para un diagnóstico y tratamiento tempranos. La ecografía es básica en este aspecto, permite una evaluación precisa de la simetría y asimetría anatómica de estructuras. Muchas veces al explorar una estructura par tenemos dudas si puede tener «algo»… comparar con el lado contralateral, muy a menudo nos va a resolver el problema, luego veremos algunos ejemplos muy claros.

En la ecografía pediátrica, por ejemplo, en la ecografía transfontanelar, es vital, la hoz interhemisférica divide al cerebro del neonato en dos estructuras simétricas, simplemente la comparativa en tiempo real de ambos hemisferios ya nos ofrece una información de altísimo valor, al punto que aunque no seamos capaces de ver que patología está afectando a ese órgano, la asímetría es indicador de que «algo pasa», la imagen que te muestro a continuación es muy clarificadora. Paciente de un mes de vida, controles de salud normales, se le pide ecografía «de control» y observo esta imagen:

Asimetría cerebral

Me llama la atención una leve alteración en la ecogenicidad del cerebro derecho con respecto al izquierdo, es ligeramente más hiperecogénico…no tiene importancia aquí el diagnóstico, quiero que se entienda la importancia de que una buena técnica, un buen ajuste de los parámetros y el reconocimento de la simetría fue vital para el diagnóstico.

En la ecografía muscular es una práctica habitual y muy sana, comparar. En casos de afectaciones unilaterales como las tendinopatías, roturas musculares, denervaciones…es muy saludable profesionalmente acudir a la compartiva para certificar hallazgos, te dejo algunos ejemplos para que puedas date cuenta de la importancia.

Asimetría indica líquido articular
Asimetría indica tendinosis
Asimetría que muestra afectación del nervio mediano
Denervación recto femoral izquierdo
Asimetría indica masa testicular derecha

Son multitud de ejemplos lo que podemos encontrar. Espero que el Post te haya servido.

Conclusión

La simetría y asimetría anatómica son elementos esenciales para evaluar la normalidad ecográfica. Una simetría equilibrada puede ser un reflejo de normalidad, mientras que la asimetría podría indicar posibles patologías.

352 La Isoecogenicidad. El camuflaje de los tejidos.

Sabemos porque lo hemos visto aquí que los tejidos ecográficamente pueden ser Híperecogénicos, que brillan mucho (Hemangioma hepático), Hipoecogénicos, que brillan poco, son más bien oscuros (Ca.hepático), Anecoicos, que son negros, no tienen ecos (Quistes hepáticos).

Y que pasa cuando una estructura, una LOE, por ejemplo hepática, es Isoecogénica? Pues que brilla igual…igual que el tejido del Parénquima Hepático que es con lo comparamos…esto es típico de las Hiperplasias Nodulares Focales.

La dificultad estriba en reconocer estructuras que son isoecogénicas, estarán mimetizadas, ocultas delante de nuestros ojos, se camuflan…

La ecogenicidad de los tejidos no comporta por sí misma la existencia de patología.

Te dejo dos casos hoy…son imágenes icoecogénicas, camufladas, una intrahepática, la otra extrahepática, ambas, preciosas…

Caso 1.LOE Extrahepática. Isoecogenicidad.
Caso 2. LOE Intrahepática.Isoecogenicidad.

351. La Fusión en Ecografía. La evolución.

La fusión por ecografía es una técnica avanzada que facilita el diagnóstico médico al combinar la información de múltiples modalidades de imagen, proporcionando una visión más completa y detallada del área de interés.

Ct + Ecografía

La fusión de imágenes se lleva a cabo mediante software especializado que permite combinar las imágenes de ecografía con las imágenes de tomografía computarizada (CT) o resonancia magnética (RM) de manera precisa y detallada. Este proceso tiene como objetivo aprovechar las ventajas de cada modalidad y obtener una imagen fusionada que proporcione una visión más completa y contextual de la anatomía y las posibles patologías.

Proceso de Fusión de Imágenes:

1. Registro Espacial:

  • Antes de la fusión, es necesario realizar un registro espacial, que es el proceso de alinear las imágenes de ecografía con las imágenes de CT o RM en un mismo sistema de coordenadas.
  • El registro asegura que las estructuras anatómicas se correspondan correctamente en ambas modalidades, permitiendo una superposición precisa.

2. Transformación de Datos:

  • Las imágenes de ecografía y las imágenes de CT o RM contienen información en diferentes formatos y resoluciones.
  • El software de fusión debe realizar una transformación de datos para que ambas imágenes sean compatibles y se puedan superponer adecuadamente.

3. Coincidencia de Puntos de Referencia:

  • Durante el proceso de fusión, el software busca puntos de referencia comunes entre las imágenes de ambas modalidades.
  • Estos puntos de referencia sirven como guía para alinear y superponer las imágenes de manera adecuada.
  • Una vez que las imágenes están registradas y los puntos de referencia coinciden, el software superpone la información de ambas modalidades en una única imagen combinada.

4. Visualización y Análisis:

    • La imagen fusionada se puede visualizar en tiempo real o guardar para análisis posterior.
    • Los Radiólogos pueden examinar detalladamente la imagen combinada para obtener una mejor comprensión de la relación entre las estructuras y para realizar diagnósticos más precisos.

    Ventajas de la Fusión de Imágenes:

    • Permite una evaluación más completa y detallada de las estructuras anatómicas y las patologías.
    • Combina la alta resolución de CT o RM y otras técnicas de imagen con la capacidad de visualización en tiempo real de la ecografía.
    • Facilita procedimientos guiados, como biopsias y punciones, mejorando la precisión y seguridad del proceso.
    • Proporciona una mayor información clínica para la toma de decisiones en el diagnóstico.
    LOE en CT y Eco CIV

    Como siempre una imagen vale más que mil palabras. Este vídeo es un estudio de una LOE Hepática vista por Ct y estudiada con Ecografía con CIV con Fusión.

    Puedes ver cómo la combinación hace de la una imagen diagnóstica muy interesante y la herramienta de fusión abre un inmenso campo de posibilidades de diagnóstico en beneficio del paciente.

    Gracias a Canon Medical Sistem por estas imágenes tan preciosas.

    350. Epicondilitis y angiogénesis.

    🩺🔬 Epicóndilitis y Neovascularización Tendinosa: Una mirada a la relación con el dolor y la inflamación

    🔍 Epicóndilitis (Codo de Tenista)

    • La epicóndilitis, conocida como «codo de tenista», es una forma de tendinosis que involucra la inflamación de los tendones extensores en el epicóndilo (parte externa del codo).
    • Ocurre debido al uso repetitivo de los músculos del antebrazo y la muñeca, como en actividades deportivas o trabajos manuales que implican movimientos de agarre y torsión constantes.
    Normal y Patológico

    🔬 Neovascularización Tendinosa

    • La neovascularización es el proceso de formación de nuevos vasos sanguíneos en una región específica del tejido.
    • En casos de tendinosis, como la epicóndilitis, se ha observado una respuesta inflamatoria crónica que estimula el crecimiento de nuevos vasos sanguíneos en el tendón afectado.

    📚 Asociación con el Dolor y la Inflamación

    • Estudios han demostrado que la neovascularización tendinosa puede estar asociada con dolor crónico y dificultades en la curación del tendón.
    • Los nuevos vasos sanguíneos pueden llevar más sangre y factores inflamatorios a la zona, lo que aumenta la sensibilidad y el dolor.
    • Factores Inflamatorios y su Impacto en la Sensibilidad y el Dolor
    • Neovascularización Tendinosa
    • Formación de nuevos vasos sanguíneos en el tendón afectado.
    • Aumento del flujo sanguíneo en la zona inflamada.
    • Factores Inflamatorios Liberados
      • Citoquinas: Proteínas proinflamatorias que regulan la respuesta inmunitaria.
      • Prostaglandinas: Sustancias químicas que promueven la inflamación y sensibilizan las terminaciones nerviosas.
      • Leucotrienos: Moléculas que contribuyen a la inflamación y al dolor.
    • Respuesta Inflamatoria Crónica
    • La neovascularización y la liberación de factores inflamatorios crean una respuesta inflamatoria prolongada.
    • Sensibilidad Aumentada
    • Estimulación de las terminaciones nerviosas debido a la presencia de citoquinas y prostaglandinas.
    • Mayor sensibilidad al tacto, presión y movimiento en la zona afectada.
    • Dolor Crónico
    • La acción combinada de los factores inflamatorios resulta en una persistente sensación de dolor.
    • El aumento del flujo sanguíneo y la inflamación prolongada contribuyen al dolor crónico.
    • Impacto en la Calidad de Vida
    • El dolor crónico puede limitar la movilidad y afectar la realización de actividades diarias.
    • La incomodidad constante puede causar malestar emocional y reducir la calidad de vida del paciente
    • La Angiogénesis
    • La tendinosis es una condición degenerativa del tendón, que se caracteriza por la presencia de cambios microscópicos y macroscópicos en el tejido del tendón, en lugar de una inflamación aguda. En el artículo de la Revista Ciencia & Salud, se aborda la relación entre la angiogénesis (formación de nuevos vasos sanguíneos) y la tendinosis te recomendamos su lectura.
    • Factores que regulan la angiogénesis en la tendinosis:
      • Hipoxia: La falta de oxígeno en la zona de la lesión tendinosa puede desencadenar la formación de nuevos vasos sanguíneos para proporcionar una mayor aporte de oxígeno y nutrientes al tejido afectado.
      • Sobrecarga mecánica: La tensión y carga excesiva en el tendón también pueden estimular la angiogénesis como parte del proceso de reparación y adaptación del tejido al estrés.
      • Sustancias neovasogénicas: Se menciona que ciertas sustancias, como el VEGF (factor de crecimiento endotelial vascular), están involucradas en la formación de nuevos vasos sanguíneos en la zona de la lesión. El VEGF promueve la migración de células endoteliales hacia la región lesionada mediante quimiotaxis y vasodilatación.
      • Papel del VEGF y otras citoquinas en la tendinosis:
      • VEGF: Además de su papel en la angiogénesis, se menciona que el VEGF también induce la permeabilidad vascular y tiene un rol importante en la inflamación. En el contexto de la tendinosis, la presencia de VEGF puede contribuir a la formación de nuevos vasos sanguíneos y a la inflamación crónica en el tejido del tendón, lo que podría afectar negativamente sus propiedades mecánicas.
    • Además, el aumento del flujo sanguíneo puede contribuir a una mayor degeneración del tendón en lugar de favorecer una curación
    Doppler Power
    SMI (Superb Microvascular Imaging)

    Con las imágenes que tienes arriba te explicamos las diferencias entre el Doppler y la SMI, que a su vez, tiene dos tipos, la normal, como un Doppler y la de Sustracción que es una imagen donde solo aparece el vaso.

    #Epicóndilitis #CodoDeTenista #Tendinosis #Neovascularización

    #EcografíaTSID

    #EcoMsk😍