Relación hepatorrenal: cuando algo no cuadra, hay que actuar
Cuando hacemos una ecografía abdominal, hay algo que nunca debemos dejar pasar por alto, que es la relación hepatorrenal. Es una imagen que tenemos que incluir siempre en nuestro protocolo.
¿Por qué? Porque en condiciones normales, la corteza renal y el parénquima hepático tienen que verse isoecogénicos. Si eso se cumple, todo encaja. Es una imagen que nos transmite normalidad.
Pero cuando eso no se cumple… ahí es donde tenemos que parar y prestar atención. Porque nos tiene que hacer saltar las alarmas.

Comparativa: lo normal frente a lo patológico
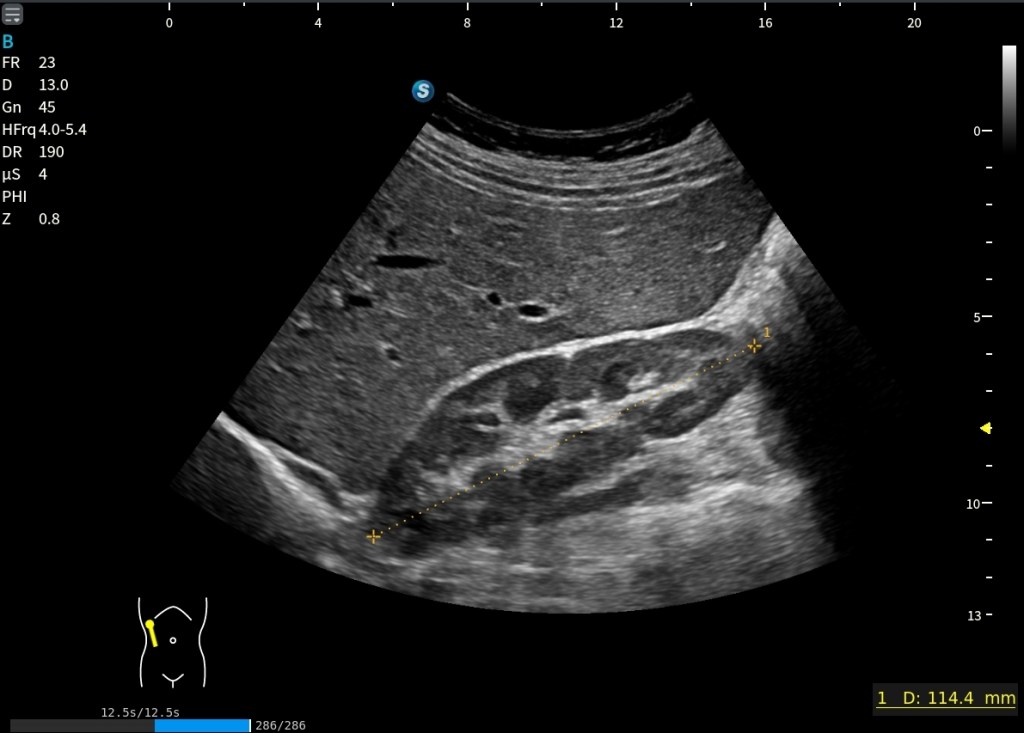
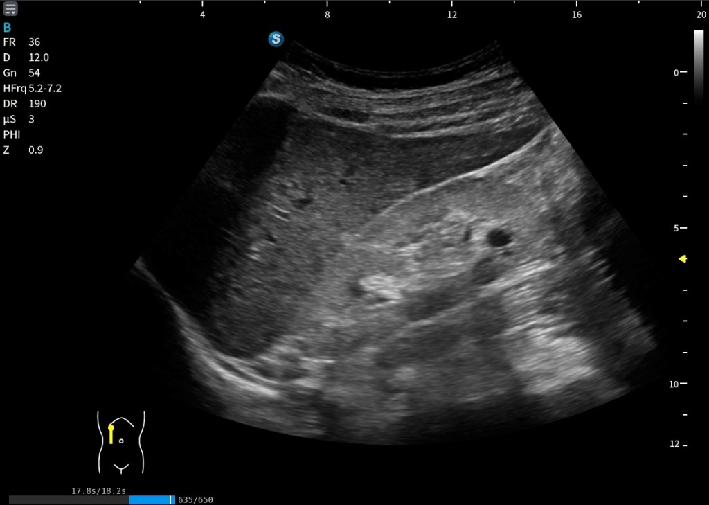
En la imagen siguiente, tenemos una inferior y una superior, en la superior estamos viendo una situación de normalidad. La corteza renal y el hígado se ven con la misma ecogenicidad. Es lo que buscamos siempre.
Sin embargo, en la imagen inferior la cosa cambia. Lo que observo es una hiperecogenicidad renal difusa del riñón derecho. El riñón se ve más brillante que el hígado de forma global, no es algo focal.
Está marcado con Normalidad y Patología.
Y esto, para mí es un hallazgo relevante.

Aquí es donde tenemos que actuar
Cuando veamos que no hay isoecogenicidad, lo tenemos que tener claro: esto es una línea roja.
No es un detalle sin importancia. Es un signo que puede estar indicando una nefropatía médica, y ahí no podemos mirar hacia otro lado.
Primero, nos aseguramos de documentarlo bien. Dos proyecciones. Doppler, Micro Flow… Siempre con una imagen comparativa clara, que no deje lugar a dudas.


Después, lo describo correctamente en nuestro apartado de información al radiólogo o en el sistema que tengamos para poder dejar escrita la información relevante que debamos transmitir al radiólogo
Y, sobre todo, lo comunico inmediatamente al radiólogo si está de presencia, o comunicarlo telemáticamente si lo consideremos oportuno.
Porque este tipo de hallazgos pueden cambiar el ritmo del diagnóstico. Si la patología no estaba identificada, podemos estar ayudando a detectarla antes y a acelerar todo el proceso clínico del paciente.
Reflexión final
Después de muchos estudios, hay algo que tengo muy claro:
👉 Si no hay isoecogenicidad entre hígado y riñón, algo no va bien.
Y ahí es donde entramos nosotros. Detectar, documentar y comunicar. Sin dudar.