EcoAnatomía básica
Relación hepático-renal en ecografía: una comparación clave para detectar esteatosis hepática
La ecografía es una técnica basada no solo en identificar estructuras, sino en comparar ecogenicidades. Uno de los ejemplos más útiles en la práctica clínica diaria es la relación hepático-renal, especialmente en el estudio del hígado derecho.
¿Qué vemos en este corte ecográfico?
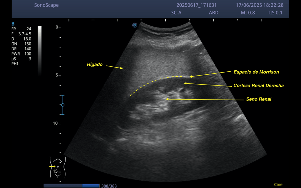
En la imagen se observa un riñón derecho en corte longitudinal, con:
Corteza renal hipoecogénica, de aspecto homogéneo. Seno renal hiperecogénico, bien delimitado. Entre el riñón y el hígado se identifica el espacio de Morrison, marcado con una línea discontinua, que corresponde al receso hepatorrenal.
Este espacio es fundamental no solo en situaciones de trauma o búsqueda de líquido libre, sino también como referencia anatómica para la comparación de parénquimas.
Comparación hepático-renal: el punto clave
En condiciones normales, el parénquima hepático debe ser isoecogénico o ligeramente más ecogénico que la corteza renal.
En este caso, el hallazgo es claro:
El hígado aparece marcadamente hiperecogénico. La corteza renal mantiene una ecogenicidad baja, dentro de la normalidad.
Esta diferencia de ecogenicidad sugiere que no es el riñón el que está alterado, sino el hígado.
Esteatosis hepática en ecografía
La esteatosis hepática es una de las patologías difusas más frecuentes del hígado y la ecografía es, en muchos casos, la primera técnica diagnóstica.
Hallazgos ecográficos típicos:
Aumento difuso de la ecogenicidad hepática. Aspecto brillante o “blanco” del parénquima. En grados más avanzados, atenuación posterior del haz. Disminución de la visualización de vasos portales y del diafragma.
La comparación con la corteza renal derecha es uno de los métodos más sencillos, reproducibles y fiables para sospechar este diagnóstico.
Conclusión
La imagen ecográfica bien interpretada aporta información clínica de gran valor.
La relación hepático-renal es una herramienta básica que todo profesional que realiza ecografía debería dominar. Un hígado claramente más ecogénico que la corteza renal debe hacernos pensar, de forma inmediata, en esteatosis hepática.
Ecografía no es solo ver: es comparar, interpretar y contextualizar.
