¿Qué es la Nefrocalcinosis?
La nefrocalcinosis se caracteriza por la acumulación de depósitos de calcio en el parénquima renal. Esta patología puede clasificarse en dos tipos principales según su ubicación anatómica: la médula y la corteza renal.
Tipos de Nefrocalcinosis
La nefrocalcinosis se caracteriza por la acumulación de depósitos de calcio en el parénquima renal y puede clasificarse principalmente en dos tipos según su ubicación anatómica:
- Nefrocalcinosis Medular:
- Ubicación: Los depósitos de calcio se encuentran en la médula renal.
- Prevalencia: Es el tipo más común de nefrocalcinosis, representando aproximadamente el 95% de los casos.
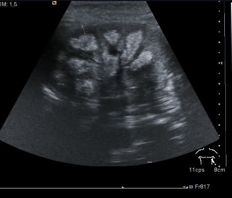
- Características: Los depósitos de calcio se localizan principalmente en las pirámides renales, especialmente en la papila renal. En las etapas iniciales, las ecografías muestran halos hiperecogénicos sin sombra acústica posterior alrededor de las pirámides medulares. A medida que la enfermedad progresa, pueden aparecer calcificaciones lineales, densas o puntiformes en la médula renal, con o sin sombra acústica posterior.
- Causas: Puede deberse a varias patologías, como el hiperparatiroidismo, la acidosis tubular renal tipo 1, y la espongiosis medular renal.
- Nefrocalcinosis Cortical:
- Ubicación: Los depósitos de calcio se encuentran en la corteza renal.
- Prevalencia: Es mucho menos común que la nefrocalcinosis medular.
- Características: La acumulación de calcio en la corteza puede asociarse a patologías como la glomerulonefritis crónica y otras enfermedades renales que afectan la corteza. En las imágenes ecográficas, las calcificaciones pueden verse como áreas hiperecogénicas en la corteza renal.
- Nefrocalcinosis Corticomedular:
- Ubicación: Los depósitos de calcio se encuentran tanto en la médula como en la corteza renal.
- Prevalencia: Es menos común y a menudo es una extensión de los depósitos medulares hacia la corteza.
- Características: Este tipo puede presentarse con características mixtas de los depósitos en la médula y la corteza, dependiendo de la extensión y distribución de las calcificaciones.
La nefrocalcinosis medular es la más frecuente y se caracteriza por depósitos de calcio en las pirámides renales.
La nefrocalcinosis cortical es menos común y afecta principalmente la corteza renal.
La nefrocalcinosis corticomedular es una forma menos común que implica la acumulación de calcio tanto en la médula como en la corteza renal.
Estas diferencias en la ubicación y características de los depósitos de calcio nos ayudan a identificar la nefrocalcinosis según su tipo, para poder facilitar una imagen detallada para el informe final del Radiólogo.
Fases de la Nefrocalcinosis Medular
1. Fase Inicial
- Descripción: Halos hiperecogénicos rodeando las pirámides medulares, similares a guirnaldas o anillos.
- Características: No hay sombra acústica posterior.
2. Fase Intermedia
- Descripción: El depósito de calcio cubre completamente las pirámides, haciéndolas más hiperecogénicas.
- Características: Ausencia de sombra acústica posterior.

3. Fase Tardía
- Descripción: Marcada hiperecogenicidad de las pirámides con sombra acústica posterior evidente.
- Características: La ecogenicidad de la cortical renal permanece normal.

Este esquema resalta cómo la ecografía de la nefrocalcinosis medular evoluciona a través de las distintas fases del proceso, facilitando la identificación y comprensión de los cambios visuales en cada etapa.
Vale, como diferenciamos normal de patológico, mira:


Es fundamental valorar y revisar la historia clínica del paciente, siempre tener en cuenta sus antecedentes y no confundir los signos ecográficos con litiasis renales. Esquema mental:
- Litiasis Renal:
- Hiperecogénico con sombras acústicas posteriores.
- Focal y localizado en el sistema colector.
- Nefrocalcinosis:
- Aumento difuso de la ecogenicidad sin sombras acústicas posteriores en fases iniciales, suelen ser ténues en fases tardías.
- Distribución generalizada en el parénquima renal.
Ante la mínima duda, es imprescindible consultar con el radiólogo.
Estupendo artículo estructurado desde la etiologia a las imágenes. Gracias como siempre.
Me gustaMe gusta