¡Hola a todos! A petición de los votantes del perfil de Instagram quiero hablar sobre un tema de gran importancia en el campo de la urología: el urotelioma vesical y su relación con la hematuria. Además, destacaré la relevancia de realizar un estudio de ecografía reno vesical para detectar esta afección y describiré los hallazgos ecográficos típicos, con un enfoque especial en la importancia de la vascularización mediante registro Doppler.
El urotelioma vesical es un tipo de cáncer que se origina en el revestimiento interno de la vejiga, conocido como urotelio. Una de las señales de alarma más comunes de esta enfermedad es la hematuria, es decir, la presencia de sangre en la orina. La hematuria puede manifestarse de diferentes formas, desde ligeras trazas de sangre (perceptibles solo en analítica o micro-hematuria) hasta una coloración rojiza intensa en la orina. Es importante destacar que la presencia de sangre en la orina no siempre indica la presencia de un urotelioma.
Muchos pacientes llegan derivados de su médico de familia. Es habitual este hallazgo o sintomatología.
Dato:
El tabaquismo es un importante factor de riesgo para el cáncer de vejiga. Fumar aumenta significativamente las probabilidades de desarrollar esta enfermedad, siendo responsable de aproximadamente el 50% de los casos de cáncer de vejiga en todo el mundo.
La ecografía reno vesical es un estudio no invasivo permite examinar la vejiga y los riñones, proporcionando información valiosa sobre posibles anomalías o lesiones presentes. En el caso del urotelioma, la ecografía puede revelar la presencia de masas o tumores en la vejiga, así como características específicas que indican la posible malignidad de la lesión.
Preparación:
Siempre el paciente debe tener la vejiga llena.
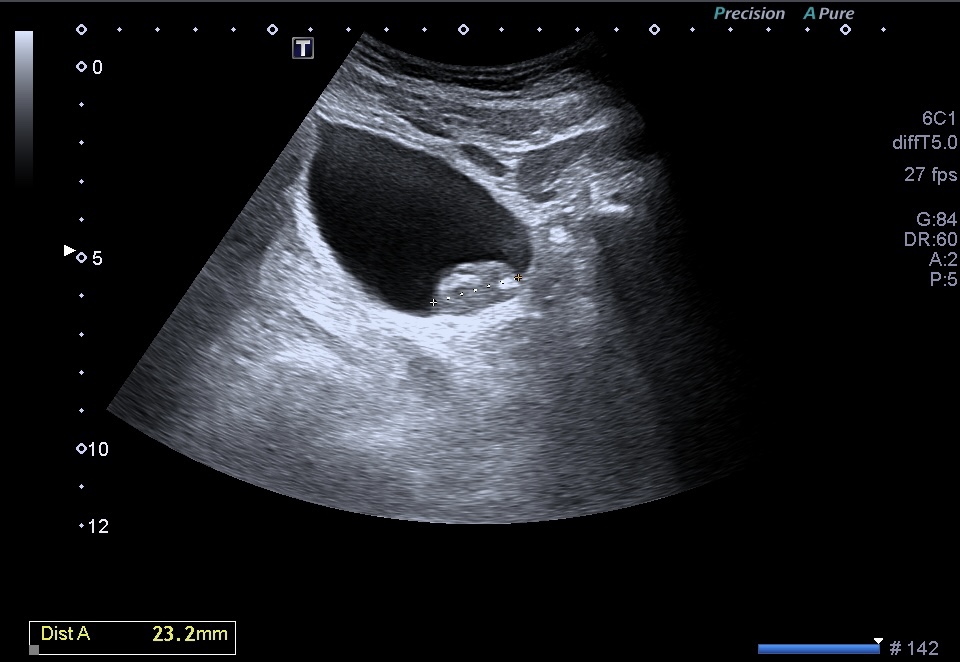
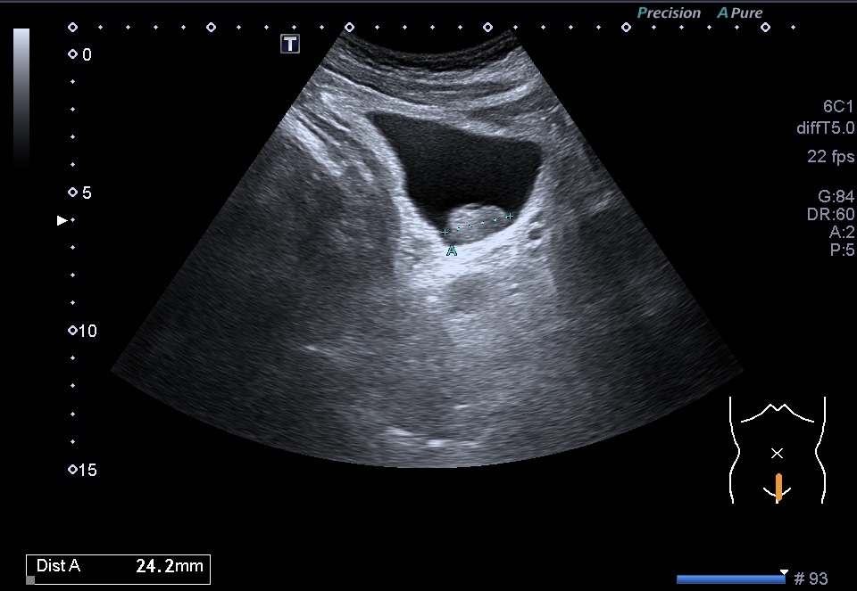
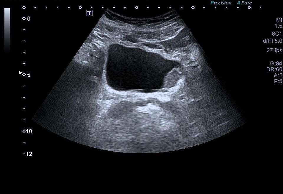
Al realizar una ecografía reno vesical, los hallazgos ecográficos típicos del urotelioma incluyen la visualización de una masa sólida en la vejiga.
Esta masa puede presentar una apariencia heterogénea, con áreas hipoecoicas (menos ecogénicas) y áreas hiperecoicas (más ecogénicas) en relación con el tejido circundante. Además, puede observarse un crecimiento intraluminal, lo que significa que la masa se proyecta hacia el interior de la vejiga.

Resumiendo:
- Ubicación: El urotelioma generalmente se encuentra en la mucosa o submucosa de la vejiga. Puede presentarse como una lesión focal o múltiple.
- Apariencia ecográfica: El urotelioma se muestra como una masa sólida con una ecogenicidad variable en comparación con el tejido circundante. Puede presentar áreas hipoecoicas (menos ecogénicas) y áreas hiperecoicas (más ecogénicas).

- Contornos: Los contornos de la masa pueden ser irregulares y asimétricos. Pueden observarse proyecciones intraluminales, lo que indica que la masa se extiende hacia el interior de la vejiga.
- Tamaño: El tamaño de un urotelioma puede variar desde pequeñas lesiones hasta masas más grandes que ocupan una parte significativa de la vejiga.

- Estructura interna: La estructura interna del urotelioma puede ser heterogénea debido a la presencia de áreas de necrosis o hemorragia. Estas áreas pueden ser identificadas por su apariencia hipoecoica o hiperecoica respectivamente.También calcificiones…como es el caso que nos ocupa hoy.

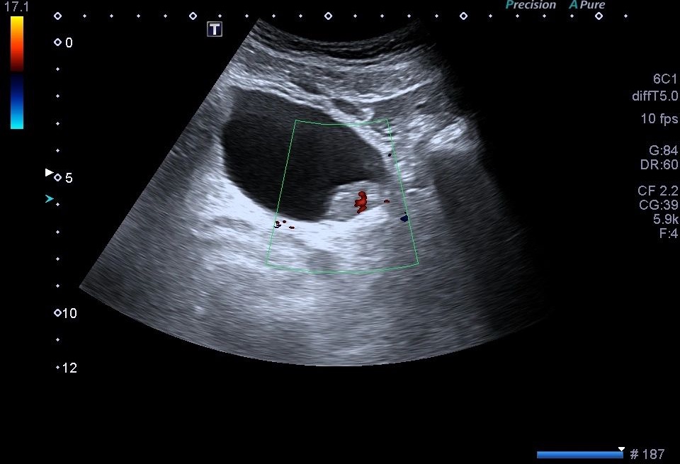
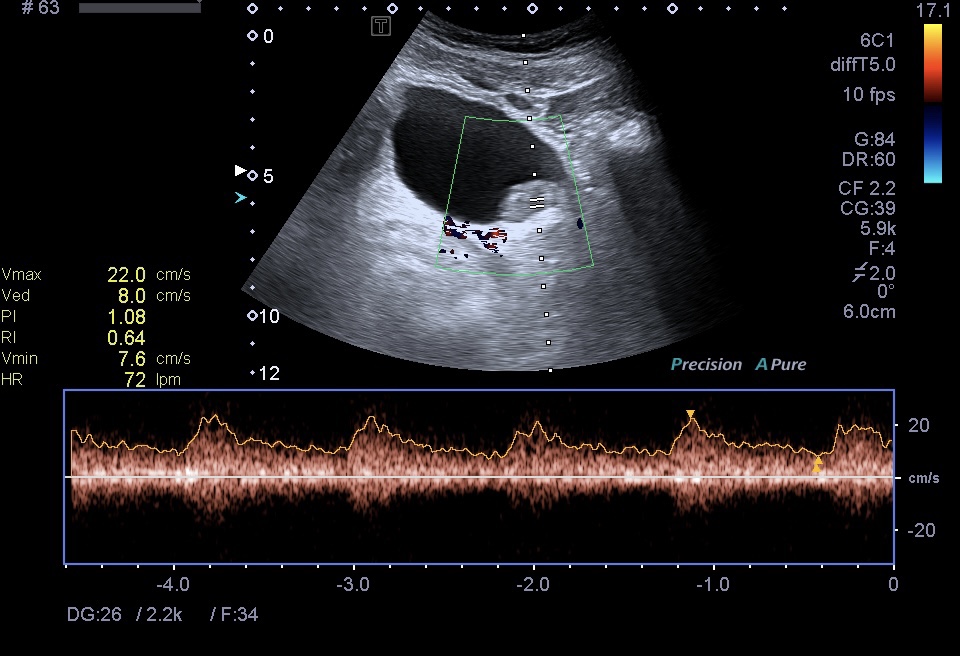
- Vascularización: La evaluación de la vascularización del urotelioma mediante el registro Doppler es crucial. La presencia de flujo sanguíneo dentro de la masa tumoral, representado por colores en el Doppler, sugiere un mayor riesgo de malignidad.

La vascularización es un hallazgo considerado línea roja.
Se recomienda el uso de Doppler Power para detectar vascularización lenta.

Estos hallazgos sugieren la presencia de un tumor y para nosotros, los TSID, es una línea roja.
#Radiología #TSID #Ecografía #urología #salud #prevención
Excelete Tema cada dia aprendemos.
gracias por compartir el conocimiento.
Me gustaMe gusta
Gracias
Me gustaMe gusta