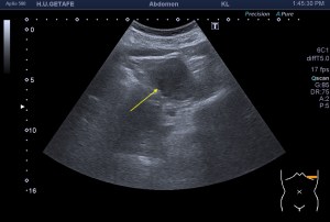
Realizamos una exploración urológica o abdominal normal, de esas que hacemos tantísimas veces…observamos los riñones, llegamos a uno de ellos y observamos esta imagen:


Para quien lleva tiempo dedicado a este mundo de la ecografía esta imagen puede no sorprenderle, pero para quien empieza, como es tu caso, o no tiene muchos riñones vistos, puede asustar. En la imagen 1 y 2 ves un riñón que en su corteza renal, entre ambos polos, una imagen donde apreciamos un aumento del tejido a ese nivel no correspondiente con la normalidad ecográfica de la imagen número 3, que tienes justo debajo y con la que puedes comparar. Dos cortes longitudinales de un riñón izquierdo, escucha, siempre conocedora de la anatomía de la ecoarquitectura que estés estudiando.
¿Qué es lo primero que tenemos que hacer? Lo primero y lo normal es que nos salten las alarmas. Para nosotros un efecto masa en un órgano compacto es una «Línea Roja», es decir, es un límite en el que tenemos que plantarnos y reconocer que eso que tenemos delante en la pantalla puede no ser normal y tenemos que buscar la manera de quedarnos seguras de que lo que estamos visualizando lo es, o no.
En este caso lo primero que tenemos que hacer es discernir entre si lo que tenemos en la pantalla es un tumor o es una hipertrofia de la Columna de Bertin, que por localización, pueden ser perfectamente ambas. Te recomiendo estudiar y documentar perfectamente la ecoarquitectura y una vez que hayas visto bien todo, pongas el doppler color y el modo angio con un objetivo. El objetivo es ver si la lesión está «rechazando vasos», es decir si los vasos se abren no siguiendo la normal vascularización de un riñón. Pasa a las imágenes 4 y 5…



Le hemos puesto la caja de color y los vasos nos son rechazados, esto nos va a tranquilizar, lo vamos a documentar muy bien, si estamos solos y en el documento que adjuntemos al radiólogo informaremos de este hallazgo para que él vea si es es necesario ampliar el estudio o no.
En este caso no fue necesario medir, claramente estábamos frente a una hipertrofia de una Columna de Bertin, variante de la normalidad típica de los estudios del riñón y que puede ser descubierta por varias técnicas de imagen.
Al no ser una figura patológica no hace falta hacer nada, el paciente obviamente no nota ninguna sensación anómala, el estudio, si no arroja otros hallazgos, será calificado por el radiólogo como dentro de los límites de la normalidad.
La hipertrofia de la Columna de Bertin es isoecogénica con el parénquima renal. Hay que distinguirla de la duplicación del sistema y tumores renales isoecogénicos, y aquí reside también otra característica que tiene que ver con la semiología de la imagen, la isoecogenicidad, y la homogeneidad de la imagen.
Un tumor renal suele comportarse de otro modo, siendo heterogéneo, con vascularización caótica y rechazando vasos, como tienes en la imagen 6 justo debajo de este texto.


Buenas tardes leí sobre la hipertrofia de la columna de bertein. Pregunto el rechazar vasos significa que el tumor no presenta vascularizacion? Gracias por aclararme esta duda
Me gustaMe gusta
Rechazar vasos es signo de ocupación anómala, no variante de normalidad en este caso
Me gustaMe gusta