La paciente acude a su médico por dolor en la ingle derecha y es remitida para realizarle una exploración a la búsqueda de hernia inguinal con prioridad normal.
El estudio es normal para hernia inguinal, pero preguntando a la paciente, comenta que su dolor, que ahora es menor, se refleja hacia el MID. Le pedí a la paciente que me indicase el lugar de dolor, no supo focalizar.
Desde la ingle derecha barrí inferiormente con el transductor, mi sorpresa, a muy pocos centímetros una imagen anecoica redondeada que parecía contener algo, imagen 2, lo primero que pensé fue en una adenopatía, pero al girar la sonda vi que la estructura se alargaba, imagen 1, era tubular en longitudinal y circular en transverso, además pude asegurarme de que en su interior había contenido ecogénico a lo largo de ella. Contenido que no era móvil, es decir, estaba adherido a la capa interna del vaso.
La estructura era ecográficamente hiperecogénica, irregular, ocupaba parte de la luz del vaso, en algún tramo, casi en su totalidad.
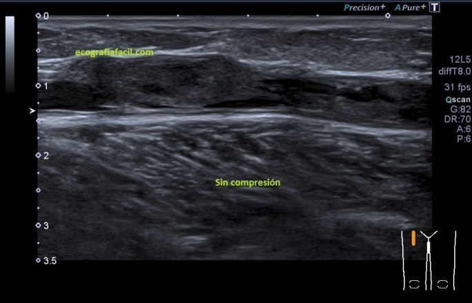
Recorrí de craneal a caudal la estructura y vi que el contenido se mantenía por algunos centímetros, comprimí la estructura, hice el estudio en la misma localización, con y sin compresión, imágenes 5 y 6, supe entonces que era una vena y que el contenido hacía que en algún punto la vena no se comprimiese. Puse doppler color y pulsado,imagen 4, comprobando si el vaso estaba permeable al menos parcialmente y efectivamente, y «escuchando» el sonido del paso de la sangre en ese punto. Ojo siempre a la correcta angulación del Doppler, en este caso no es correcta, solo quería certificar que era una vena, y así era.
Una vez finalizada la exploración, avisé al radiólogo de inmediato. Realizó sus comprobaciones y acto seguido comunicó con los cirujanos vasculares de urgencias para que la paciente fuese valorada en ese instante.
Las imágenes:






Muchas veces, la información que recibimos del paciente y que podemos trasladar a la radióloga es de valiosa información y ayuda al diagnóstico. Hablar con el paciente siempre es importante.
Un esfuerzo más, siempre se puede un poco más…los atardeceres cálidos frente al mar, llegarán…
BUENAS TARDES ECOGRAFIAFACIL VALIOSO ESTUDIOS NOS ACABAS DE COMPARTIR D.E LA TROMBOSIS VENOSA. MUCHAS GRACIAS
Me gustaMe gusta
gracias
Me gustaMe gusta