Cuando realizamos una eco abdominal o urológica, un de los objetivos prioritarios es la localización de litiasis renales.
En algunas ocasiones la paciente puede no tener ecografías previas, quizá el episodio de CRU (Crisis Reno Ureteral) ha sido reciente y único, pero en ocasiones, son recurrentes y las pacientes tienen previas, ecografías, placas de abdomen e incluso TC de Abdomen.
Realizar Rx de Abdomen a la búsqueda de litiasis renales es normal, sobre todo en los servicios de urgencia de los hospitales, con el fin de demostrar la causa ante una sospecha de cólico nefrítico. el uso del TC es más restringido, sólo a casos donde la litiasis no se vea con la la Rx y tampoco con una eventual ecografía de urgencias y la sospecha pueda ser como primera opción, un CRU.
Pero ¿es posible que haya litiasis renales que escapen a la visualización de una ecografía? La respuesta rotunda es sí. Hay litiasis renales que por su pequeño tamaño y la no producción de sombra acústica posterior debido a este pequeño tamaño y a la poca densidad del calcio de la litiasis, pueden pasar desapercibidas a la operadora.
No todas las litiasis renales se comportan igual ecográficamente, dependen, como he mencionado antes, al tamaño y la consecuente producción de sombra acústica posterior y a la cantidad de calcio que atesore la litiasis, que pueden ser de calcio, de oxalato cálcico, habitualmente, pero también de otras sustancias. Las que son de calcio, pueden no tener toda la carga de calcio que haga que sea suficientemente densa para crear una sombra acústica posterior. Una vez aclarado este concepto, te presento el caso de esta semana, una mujer con antecedentes de CRU que le piden ecografía de control de litiasis renales bilaterales.
Es muy recomendable tener en nuestro ecógrafo un preset exclusivo de litiasis (consultar a la técnica de aplicaciones) , donde la imagen sea más gris, poco filtrada, es ideal tener un preset de abdomen sin armónicos para usar en estas ocasiones donde no encontramos la litiasis y como recurso, puede ayudar, como recurso, repito.
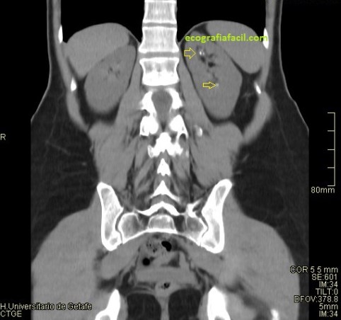
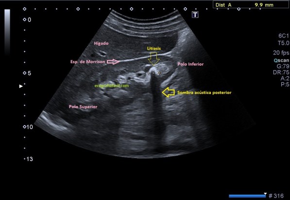
Al realizar la ecografía consigo demostrar una litiasis muy ecogénica con una potente sombra acústica posterior en el polo inferior del riñón derecho. En la petición del especialista se especificaba control de litiasis bilateral, sin embargo, en el otro riñón no había ni resto de litiasis. Pregunté a la paciente si había tenido cólicos nefríticos expulsivos (con expulsión de piedra) desde el último control, su respuesta fue negativa. Dado que tenía controles previos, los consulté, en la última eco realizada, 8 meses atrás no había piedras en el riñón izquierdo, donde yo no había visto en la actualidad, pero ví que entre una y otra ecografía había un TC de Abdomen sin contraste. En el TC se observaban litiasis renales milimétricas, varias, en el seno renal izquierdo, invisibles en la ecografía.
Las imágenes para que puedas evaluar el caso tu misma:








La secuencia de imágenes que has visto es el proceso que ha llevado la paciente, con una ecografía antes del TC con el mismo resultado en cuanto a litiasis que la última que corresponde con las imágenes 6, 7 y 8 donde puedes ver la litiasis renal derecha grande, en el grupo calicial inferior en longitudinal y en transverso. Riñón izquierdo rigurosamente normal, por más que pude buscar, aún a sabiendas de que en el TC habían salido piedras en ese riñón, además, agrupadas en los diferentes grupos caliciales, imágenes 2 y 5, en las reconstrucciones coronales como en los cortes axiales, pero llama poderosamente la atención como junto a la litiasis del RD en el TC, imagen 3, se ven otras dos pequeñas litiasis, imagen 4, que tampoco pude objetivar en la ecografía, ni se vieron en la ecografía anterior. La Rx señala la vista en las ecografías.
Conclusión, es obvia, la técnica más sensible para el estudio de la litiasis renal es la TC sin contraste intravenoso, protocolo específico para descartar litiasis renal, obviamente. La ecografía tiene dificultades con aquellas litiasis menores a 3 milímetros ya que pueden escapar al ojo humano y no marcar sombra acústica posterior, pero la radiación que emite el TC hace que sea usado por las radiólogas para diagnóstico solo en casos muy puntuales, siendo la ecografía la técnica de elección habitual para las especialistas para el seguimiento de estas piedras.
Tenía muchas ganas de sentarme y poder hacer un Post reposado y con fundamento, han sido estos dos últimos meses muy intensos profesionalmente hablando, los más potentes que he vivido, pero he aprendido mucho, espero que en el futuro de sus frutos, me he dejado el alma. Ahora el agua vuelve a su cauce, intentaré traerte nuevos casos, intentaré mejorar mi forma de escribir, y esperar que sigas ahí, leyéndome…no puedo pedir más.
Las fotografías de personas en color, fotografían su ropa, pero las fotografías de personas en blanco y negro, fotografían su alma…
Va ser por eso que me gusta tanto la eco…;)
Muchas gracias , una vez más. Fantástico!
Me gustaMe gusta
Muchas gracias Jordi.
Me gustaMe gusta
excelente analisis y totalmente de acuerdo, hay muchas imagenes que por su pequeño tamaño y por su composicion se escapan de ser detectados aunque seamos muy acuciosos y luego los vemos en la TAC, pero como mencionas, la dosis de radiacion es muy alta para estar haciendo seguimientos. Saludos Jordi
Me gustaMe gusta
Gracias Mil!!!!
Soy técnico también y hace pocos meses empece a realizar estudios ecograficos después de un periodo largo de formación y me esta ayudando muchísimo tu blog….El Rumack ya se me esta haciendo bola!!!
Me gustaMe gusta
Pues es la biblia¡¡
Me gustaMe gusta