Feliz año¡¡¡ Espero que hayas pasado una muy feliz Navidad. Llega el momento de retomar la vida real y lo mejor es con un nuevo Post, un post suave, para empezar el año despacio.
Te presento hoy un caso curioso, muy de estas fiestas que han pasado.
Paciente mujer con lesión en región aquílea tipo bultoma, se sospecha una tendinopatía aquílea.
Sonda lineal de alta frecuencia, paciente tumbada en decúbito prono, pies colgando al final de la camilla. Flexión dorsal del pie con el aquiles afectado.
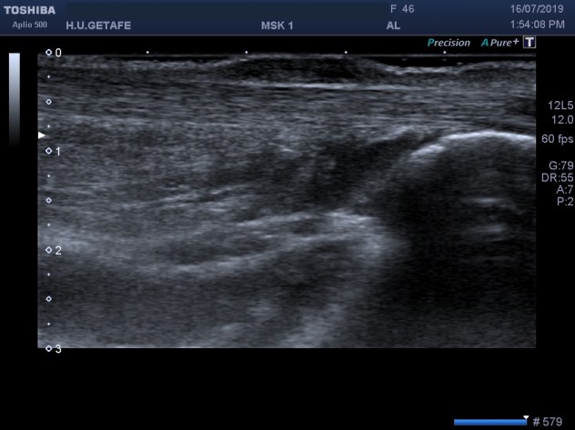
La exploración del Aquiles estándar en este caso revela un aquiles perfectamente normal, hiperecogénico, sin aumento de calibre. Existe a cinco centímetros de la inserción una lesión ovoidea, superficial, heterogénea, extramuros del Aquiles, justo debajo de la piel, dolorosa, no capta señal doppler. Grasa de Kager conservada.
La lesión no comprime al tendón y es compresible. Imagen 8.

En la imagen número 1 podemos ver una imagen bastante habitual en el estudio del aquiles, marcado con flecha roja, vemos una zona de hipoecogenicidad que corresponde al cambio de angulación de las fibras que en la zona de inserción se objetivan claramente hipoecogénicas en relación con anisotropía.

En la imagen 2 puedes ver como la lesión no corresponde ni está en contacto con el aquiles, pertenece claramente al tejido celular subcutáneo.

Quedó descartada la lesión tendinopática, preguntando a la paciente, refiere el uso de unos zapatos de tacón que con el uso repetido le provoca dolor en dicha localización.
La lesión viene provocada por un microtraumatismo repetido en esa región que ocasiona una irritación y edema encapsulado en la región afectada por el uso de esos zapatos cuyos impactos repetidos en esa misma zona han provocado en dicha región.




La afectación tendinosa del Aquiles cursa ecográficamente con cambios hipoecogénicos y de aumento del tamaño como puedes ver en la imagen 6 y 7, respecto de la normalidad, que vemos en la 4 y 5.

En la imagen 8, como te he contado arriba te enseño como la lesión se aplana con la compresión sin afectar al aquiles.
Las fibras alargadas, homogéneas, sin alteración de la ecoestructura hiperecogénica del tendón, demuestran que es un tendón sano.
Proyectando…Quién sabe dónde nos llevará este camino…
Excelentes imágenes.Gracias por compartír
Me gustaMe gusta
Gracias Dr.Un placer.
Me gustaMe gusta