178. ¿Dilatación Renal o Quistes Renales?

¿Te ha pasado que realizando una ecografía urológica has dudado entre si estabas frente a quistes renales en el seno renal o ante una dilatación renal?, sí, ya lo sé, muchas veces…En muchas ocasiones nos vemos en la tesitura de tener que discernir entre una dilatación del sistema pielocalicial o la presencia de quistes sinusalesson patologías distintas, unos quistes sinusales normalmente no revisten gravedad, la dilatación renal puede ser un signo radiológico de una obstrucción, que puede poner en peligro al riñón afecto.

Los quistes renales, semiológicamente son anecoicos, presentan refuerzo posterior y su forma es redondeada u ovalada y su borde liso. En ocasiones pueden complicarse que contienen ecos en su interior, presentan septos y calcificaciones, en este caso el facultativo deberá clasificarlo si lo estima oportuno en una escala conocida como Bosniak.

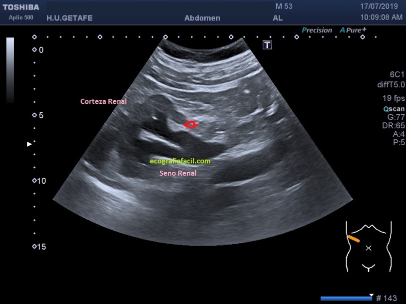
Es importante conocer la anatomía renal normal para poder diferenciar las estructuras renales y poder conocer la normalidad para crecer a partir de ahí.

En ocasiones, como decía en el párrafo primero, los quistes sinusales son tan grandes y están tan apelmazados que nos puede llevar a pensar que existe una obstrucción renal. El diagnóstico ecográfico de la obstrucción se basa en la detección de dilatación del sistema colector.

Ecográficamente se reflejan como espacios anecoicos que sustituyen a los cálices e Infundíbulos renales. Cuando el riñón está dilatado por una obstrucción el seno renal aumenta al no poder drenar normalmente la orina a la vejiga, se empezarán a rellenar los pielones caliciales y dará lugar a una hidronefrosis, a valorar por el radiólogo, ya que hay diferentes niveles.

La uropatía obstructiva puede provocar una hidronefrosis que podemos confundir con un seno renal poliquístico, pero es importante buscar las interconexiones que tienen los cálices renales que son confluyentes todos en la pelvis renal, poder demostrar dicha confluencia puede ser una dato que permita a la radióloga emitir un informe en este sentido.

La manera de demostrar esto es buscando angulaciones con la sonda y movilización del paciente hasta conseguir una imagen como esta:

1

Si conseguimos demostrar la confluencia de los pielones caliciales y seguir el uréter, habremos demostrado la dilatación del sistema calicial (imagen1).

2

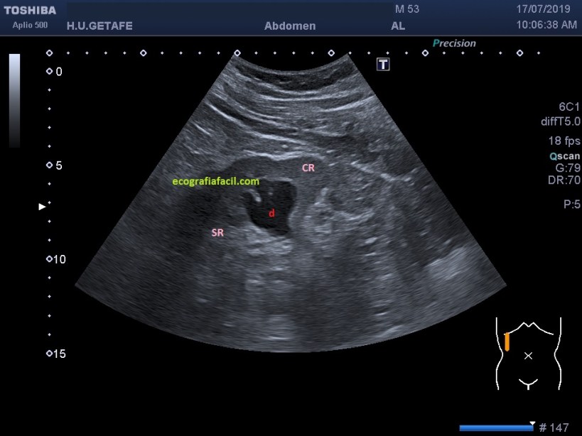
En ocasiones los quistes renales sinusales no tienen una forma de círculo, adoptan este tipo de presencia ecográfica psudoalargada que puedes ver en la imagen 2. Cuando estos quistes son de gran tamaño pueden simular una dilatación. En la imagen 2, podríamos llegar a pensar que el riñón podría estar haciendo una hidronefrosis de bajo grado, pero no, en realidad lo que ves es una gran cantidad de quistes en el seno renal. Demostrar esa especie de «arbolito de brocoli» como en la imagen 1, va a hacer que el diagnóstico sea muy diferente. Recordemos que en ocasiones una uropatía obstructiva con hidronefrosis puede no provocar dolor, igual que los quistes.

3
4

En esta imagen puedes ver una imagen hiperecogénica muy densa que parece una litiasis, pero llamativamente no deja sombra acústica posterior. Tiene una explicación, en la pirámides renales (flechas rojas) se puede acumular calcio en forma de «leche cálcica» que no tiene la densidad apropiada para dejar la sombra acústica, es decir, en vez de ser piedra es un tipo de líquido denso con mucha cantidad de calcio en su composición, por eso tiene una línea de nivel hidro-hidro.

5

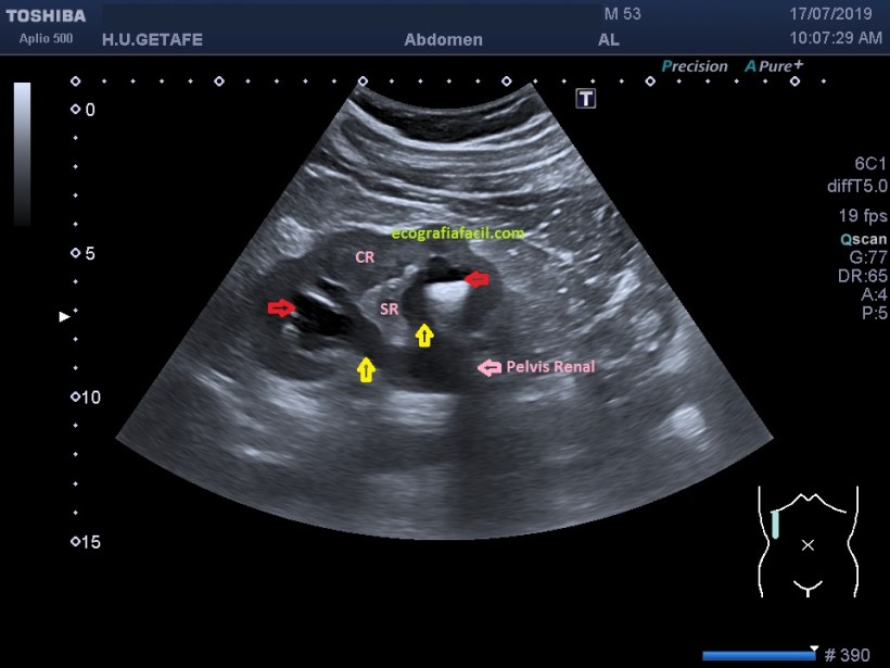
En la imagen 4,5 y 6 ves clarísimamente una dilatación renal, cómo los cálices están dilatados, y que están todos unidos y son confluentes (flechas amarillas imagen 4) con la pelvis renal. Cuando lleguemos a la pelvis renal como te enseño en la imagen 4 marcado en rosa debemos continuar por el uréter con objeto de intentar seguirlo y poder demostrar el origen de esa posible obstrucción, en la imagen 6 puedes verlo.

6

El uréter no se ve de manera habitual cuando está sano, en la imagen puedes ver una imagen tubular anecoica con presencia de una imagen hiperecogénica con sombra acústica posterior, que tiene aspecto ecográfico de litiasis y que posiblemente sea el origen de la dilatación. Es decir, el uréter también está dilatado.

7

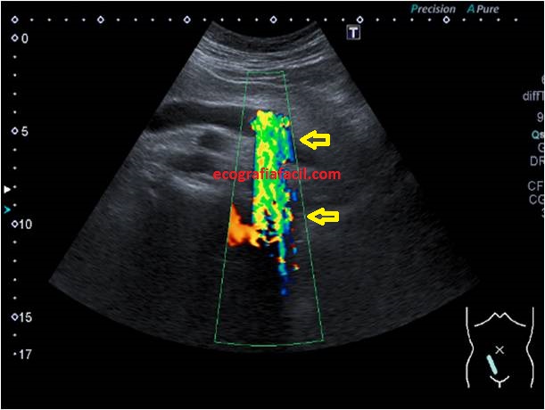
La imagen 7 te demuestra una imagen como de flujo cuando colocamos en la zona de la sombra acústica, es un artefacto ecográfico provocado por una lectura anómala o incoherente provocado por el conflicto que le supone al equipo la densidad cálcica de la litiasis. Es un artefacto característico de la litiasis, se llama aliasing y podemos usarlo para esclarecer este tipo de patologías. Te recomiendo usarlo en tu próximo hallazgo de este tipo.

Por último comprobamos si la orina está llegando a la vejiga y lo hacemos con el Jet, que te lo expliqué en el Post 55.

Te recuerdo la imagen…

8

Si vemos que existe eyección urinaria a la vejiga, podremos decir que el origen de la obstrucción no está taponando el paso de toda la orina producida en el riñón afectado.

Las causas de la obstrucción renal son variadas, litiásicas, tumorales, etc. En ocasiones no podremos demostrar la causa, pero espero haberte ayudado a saber diferenciar este tipo de patologías.


Felices fiestas, Salud, Paz y Compasión.

Deja un comentario