135. El Tórax.

Así de repente te habrá parecido raro que estudiemos el Tórax con ecografía ya que el aire que contienen los pulmones hace que el estudio de esta anatomía sea prácticamente inservible, pero hay casos en los que es muy útil esta técnica, y es en aquellos casos donde dentro de los pulmones hay agua en cualquiera de sus densidades, por ejemplo, derrame pleural, pus o sangre…

TÉCNICA ECOGRÁFICA:

–SEGÚN TAMAÑO DEL PACIENTE, GENERALMENTE SE USARÁ SONDA DE 3,5 MHZ, pero en pacientes pediátricos podemos usar otras de frecuencia mayor.

–ABORDAJE SEGÚN PATOLOGÍA, si es un proceso neumónico o derrame pleural el abordaje será muy diferente. Desde luego si se trata de algún tipo de masa la técnica se adaptará a dicha patología.

La sonda lineal será muy buena para estudiar procesos que tengan que ver con la pleura.

La sonda cónvex para aquellos procesos más profundos que requieran, por ejemplo medidas previos a Toracocentesis.

EL PACIENTE:

Normalmente la/el paciente debe estar sentadx dándonos la espalda, podemos subir el brazo del lado afectado y apoyarlo relajadamente en la cabeza.

Debemos buscar el espacio intercostal, las costillas serán nuestras peores enemigas, a través de los espacios que nos dejen veremos la patología.

Si van a pinchar el derrame, marcaremos con una cruz la zona de punción, donde la cámara de líquido es mayor y mediremos dicha cámara y la distancia de la piel al derrame.

INDICACIONES

–MASAS QUÍSTICAS Y SÓLIDAS

–MASAS MEDIASTÍNICAS Y TIMO

–GUÍA ECOGRÁFICA PARA TORACOCENTESIS Y BIOPSIAS CON AGUJA fina o gruesa

–DERRAME PLEURAL

SIGNOS ECOGRÁFICOS:

–DETECCIÓN DE UN ESPACIO ANECOICO INMEDIATAMENTE POR DEBAJO DE LA PARED TORÁCICA

–PUEDE TENER SEPTOS

Podemos ver líquido, que se verá anecoico, normalmente derrames pleurales.

Podemos ver zona septadas, derrames «organizados», es decir, ya no son anecoicos, son heterogéneos y ecogénicos y están en relación con procesos infecciosos normalmente.

So suddenly it would have seemed strange to you to study the thorax with ultrasound since the air contained in the lungs makes the study of this anatomy practically useless, but there are cases in which this technique is very useful, and it is in those cases where within the lungs there is water in any of its densities, for example, pleural effusion, pus or blood …
ECHOGRAPHIC TECHNIQUE:
-PATIENT SIZE, USUALLY USED 3.5 MHZ PROBE, but in pediatric patients we can use other .
– APPROACH ACCORDING TO PATHOLOGY, if it is a pneumonic process or pleural effusion, the approach will be very different. Of course if it is some kind of mass the technique will adapt to this pathology. The linear probe will be very good to study processes that have to do with the pleura.The probe convex for those deeper processes that require, for example, previous measurements Toracocentesis.
THE PATIENT: Normally the patient must be seated with his back to us, we can raise the arm of the affected side and support it in the head relaxed.We must look for the intercostal space, the ribs will be our worst enemies, through the spaces Let us see the pathology.If they are going to puncture the effusion, we will mark with a cross the puncture area, where the liquid chamber is larger and we will measure said chamber and the distance of the skin to the effusion.
INDICATIONS
-CHEMISTRY AND SOLID MASSES
-MEDIASTÍNICS MASSES AND TIMO
-ECOGRAPHIC GUIDE FOR TORACOCENTESIS AND BIOPSIES WITH THICK OR LARGE NEEDLE
-ECHOGRAPHIC PLEURALSIGNAL SPILL:
-DETECTION OF AN ANECOTIC SPACE and INMEDIATELY UNDER THE THORACIC WALL
-MAY BE SEPED We can see fluid, which will look anechoic, usually pleural effusions. We can see septate area, «organized» spills, that is, they are no longer anechoic, they are heterogeneous and echogenic and are related to infectious processes normally.

En esta primera imagen vemos una cámara líquida correspondiente a un derrame pleural y las medidas estándar que realizamos como información previa a la Toracocentesis.

In this first image we see a liquid chamber corresponding to a pleural effusion and the standard measurements that we made as prior information to the Toracocentesis.

La colocación de la/el paciente, como buscamos el lugar idóneo donde la cámara líquida o lo que vaya a ser pinchado y cómo marcar el lugar correcto.

The placement of the patient, as we look for the ideal place where the liquid chamber or what is going to be punctured and how to mark the right place.

No siempre vemos una cámara líquida, también podemos ver diferentes tipos de formas de «agua», como la sangre o el moco y el pus de un proceso neumónico y como todas esas densidades se diferencia maravillosamente con ecografía.Esta imagen superior es un ejemplo perfecto.

We do not always see a liquid chamber, we can also see different types of «water» forms, like blood or mucus and pus from a pneumonic process and like all those densities it differs beautifully with ultrasound. This superior image is a perfect example.

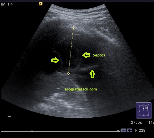
En algunas ocasiones cuando el derrame evoluciona negativamente, podemos ver septos en su interior, como imágenes hiperecogénicas lineales dentro de la cámara.

On some occasions when the effusion evolves negatively, we can see septa inside it, as linear hyperechoic images inside the camera.

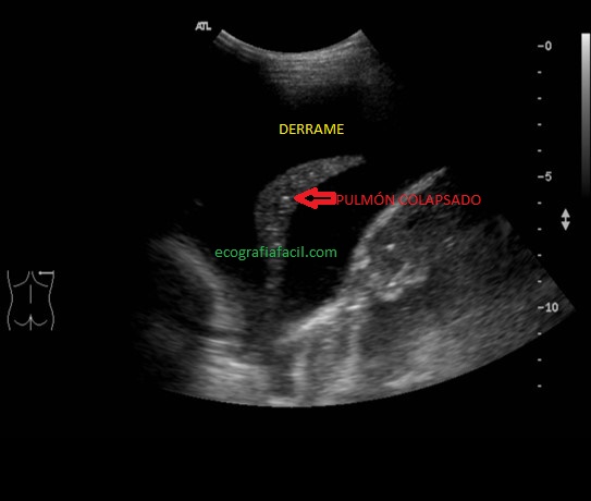
En otras ocasiones podemos ver pulmón colapsado y «flotando» literalmente en la cámara líquida, como señala la flecha roja de la imagen superior.

At other times we can see lung collapsed and «floating» literally in the liquid chamber, as indicated by the red arrow in the image above.

Una preciosa imagen que podemos ver habitualmente es estas patologías es el «Pulmón Hepatizado».Es una figura patológica producida por la compactación patológica del pulmón a consecuencia de un proceso infeccioso habitualmente. Tiene un aspecto muy similar al Hígado, y a veces solo podemos diferenciarlos por la separación que se produce por el Diafragma, como te enseño en la imagen superior.

A precious image that we can usually see is these pathologies is the «Hepatized Lung». It is a pathological figure produced by the pathological compaction of the lung as a result of an infectious process usually. It looks very similar to the Liver, and sometimes we can only differentiate them by the separation produced by the Diaphragm, as I show you in the image above.

Las fracturas costales, a veces muy difíciles de ver con RX, podemos verlas en ecografía, como en esta imagen donde puedes ver costilla normal, lineal e hiperecogénica y a su lado la fractura en una costilla rota y su representación sobre la placa, prácticamente inapreciable.

The rib fractures, sometimes very difficult to see with RX, we can see them in ultrasound, as in this image where you can see normal, linear and hyperechoic rib and next to it the fracture in a broken rib and its representation on the plate, practically inappreciable.

Finalmente y como método de estudio del diafragma, tenemos la representación en modo M donde vemos como colocar el roi lineal de puntos que mide la actividad del diafragma con la respiración y su representación como una línea curva en la gráfica mostrando el movimiento de dicho músculo en ese punto concreto.

Finally and as a method of studying the diaphragm, we have the M-mode representation where we see how to place the linear roi of points that measures the activity of the diaphragm with the breath and its representation as a curved line in the graph showing the movement of that muscle in that particular point.

Quiero agradecer a Paloma y a Gus por colaborar de un modo u otro a este Post…Muy afortunado de tener compis así…Muy afortunado.Muak.

A veces hay días duros, donde la creatividad y las ganas flojean, donde busco y no encuentro, donde no queda más remedio que seguir…escribiendo…

 

 

 

4 comentarios sobre “135. El Tórax.

Deja un comentario