Gracias, antes de nada, por hacer que este Blog siga creciendo, en Insta, más de 500 seguidores y me encanta porque es mi red favorita…os espero para que visites el perfil y sigas el Blog…
Thanks, first of all, for making this Blog keep growing, in Insta, more than 500 followers and I love it because it’s my favorite network … I’m waiting for you to visit the profile and follow the Blog …
Tenemos, dentro de las malformaciones habituales a nivel renal que podemos encontrar por «casualidad» en la edad infantil, los Riñones en Herradura.
Es una figura que en ecografía suele ser un hallazgo, a veces en la edad adulta si nunca se exploró el abdomen, casi siempre en la edad pediátrica…
Te enlazo aquí para que conozcas en imágenes esta figura malformativa y te presento la imagen ecográfica, que es a veces difícil de explorar, puesto que vamos a ver unos riñones malrotados o situados de forma anómala y tenemos que ver siempre la independencia morfológica de ambos polos renales…
We have, in the usual malformations at the renal level that we can find by «chance» in childhood are the Kidneys in Horseshoe. It is a figure that in ultrasound is usually a finding, sometimes in adulthood if the abdomen was never explored, almost always in the pediatric age … I link you here so that you know in images this malformative figure and I present the sonographic image, which is sometimes difficult to explore, since we are going to see some malformed or abnormally located kidneys and we must always see the morphological independence of both poles kidney …

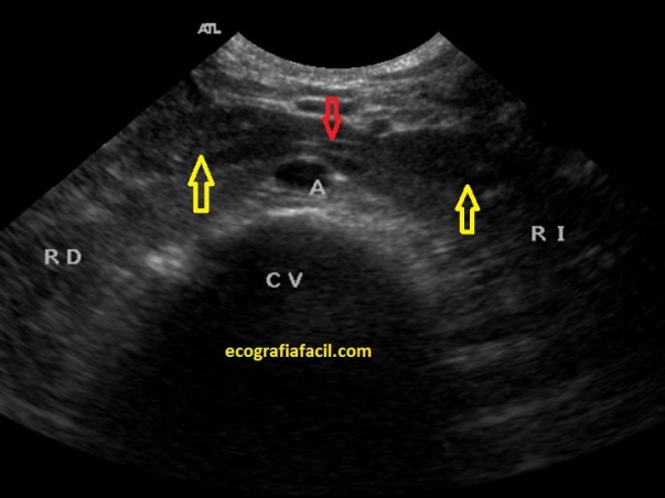
El aspecto del riñón en herradura en cuanto a su semiología es de lo más normal, pero cuando hacemos la exploración vamos a poder comprobar que el polo inferior del riñón, normalmente el derecho, porque es el que primero se explora, se orienta y continua buscando la línea media y comprobaremos como pasa por encima de Aorta, es decir, anterior a ésta y a la Cava Inferior, lógicamente.
Las flechas amarillas marcan ambos riñones y la flecha roja su unión.
Casi siempre se unen los polo inferiores de los riñones.
The aspect of the horseshoe kidney in terms of its semiology is the most normal, but when we do the exploration we will be able to verify that the lower pole of the kidney, usually the right one, because it is the one that is first explored, is oriented and continues to search the middle line and we will check how it passes over Aorta, that is, prior to this and to the Lower Cava, logically. The yellow arrows mark both kidneys and the red arrow their union. The lower poles of the kidneys are almost always joined.
El esfuerzo por aprender es costoso, pero más lo es el de desaprender, y es igual de necesario…