Seguimos en este año 2019 en el que te deseo mucha Salud, y que la vida te sea muy favorable, no es perfecta, no es todo color de rosa, pero que sea lo más amable posible.
Otro MicroPost para hablar de una patología poco habitual en pediatría, pero que como figura patológica muy llamativa ecográficamente podemos ver es la Nefrocalcinosis, te lo enlazo para que conozcas más de esta patología. rara en pediatría como he dicho antes, pero es tan llamativo el caso que quería presentarlo aquí.
Datos básicos:
-Es la calcificación del parénquima renal. Puede se distrófica o metastásica.
-La calcificación distrófica se debe al depósito de calcio como consecuencia de una isquemia o necrosis.
-La nefrocalcinosis metastásica suele deberse a estados hipercalcémicos. (Insuficiencia renal, hipoparatiroidismo y neoplasias malignas.)
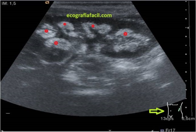
Vamos a ver unos riñones así en la ecografía:
We continue in this year 2019 in which I wish you much Health, and that life is very favorable, is not perfect, it is not all rosy, but that is as friendly as possible. Another MicroPost to talk about an unusual pathology in pediatrics, but that as a very striking pathological figure we can see ultrasound is Nephrocalcinosis, I link it to you to know more about this pathology. rare in pediatrics as I said before, but the case is so striking that I wanted to present it here. Basic data: – It is the calcification of the renal parenchyma. It can be dystrophic or metastatic. -Dystrophic calcification is due to the deposit of calcium as a result of ischemia or necrosis. -The metastatic nephrocalcinosis is usually due to hypercalcemic states. (Renal insufficiency, hypoparathyroidism and malignant neoplasms.) We are going to see some kidneys like this in the ultrasound:


En las imágenes superiores ves un corte longitudinal y otro axial del riñón.Marcado con círculos o flechas rojas, los pielones caliciales hiperecogénicos, muy llamativamente, indican patología a dicho nivel, la corteza renal, hipoecogénica y normal.
In the upper images you see a longitudinal and axial cut of the kidney. Marked with red circles or arrows, the hyperechoic calyceal skin, very strikingly, indicates pathology at this level, the renal cortex, hypoechoic and normal.
Vértigo…Soñar, Esfuerzo y Saber Esperar.