La paciente se llama Siena y es una Galga.
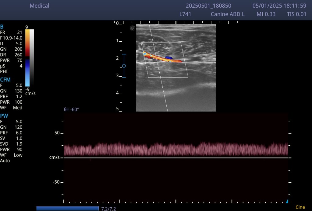
¿Cómo diferenciar una arteria de una vena en ecografía?
La clave está en la pulsatilidad
Una de las primeras cosas que aprendemos al comenzar en el mundo de la ecografía es a diferenciar estructuras. Y aunque muchas veces puede parecer sencillo, distinguir entre una arteria y una vena puede ser un reto al principio.
✅ La diferencia más evidente: la pulsatilidad
En la imagen que te compartimos hoy, puedes ver una representación muy clara:
- 🔴 Las arterias son pulsátiles, es decir, su pared se mueve rítmicamente con el latido cardíaco. Tienen una pared gruesa, su forma suele mantenerse redondeada y el flujo se puede visualizar con un patrón pulsado en Doppler.
- 🔵 Las venas, en cambio, no son pulsátiles (o apenas lo son). Su pared es más fina, colapsan fácilmente con la presión del transductor y el flujo sanguíneo suele ser más lento y continuo.
Esta información es clave para realizar estudios vasculares, colocar accesos venosos guiados o simplemente interpretar correctamente las estructuras del cuello, abdomen o extremidades.
💡 Consejo práctico para TSID y estudiantes:
Cuando tengas dudas, aplica una ligera compresión con el transductor:
- Si colapsa fácilmente, es muy probable que sea una vena.
- Si permanece abierta y ves latido con el Doppler, probablemente sea una arteria.
📸 Imagen educativa:


Arteria

Vena