Buscando imágenes para subir un nuevo Post de ecografía, pensaba hacerlo de MSK, he encontrado este y me ha parecido tan interesante que no me resisto a tratar de explicarlo y subirlo.
Vas a ver una serie de imágenes, quiero que las estudies muy bien. Es una hiperplasia nodular focal como muy bien has leído en el nombre de la entrada. Primero, debes saber que es una hiperplasia nodular focal. Muy básicamente, la HNF (siglas) es:
- Una frecuente patología hepática benigna que no suele malignizar.
- Tiene prevalencia en mujeres, entre los 30 y 40 años con historial de ingesta prolongada en el tiempo de anticonceptivos orales.
- LOE asintomática, suele verse de manera incidental que suele ser una respuesta respuesta hiperplásica a una anomalía vascular focalizada.
- Suelen ser lesiones solitarias, habitualmente isoecógenicas con el parénquima hepático. Formas atípicas de presentación presentan hipoecogenicidad o hiperecogenicidad.
Ahora observa las imágenes:





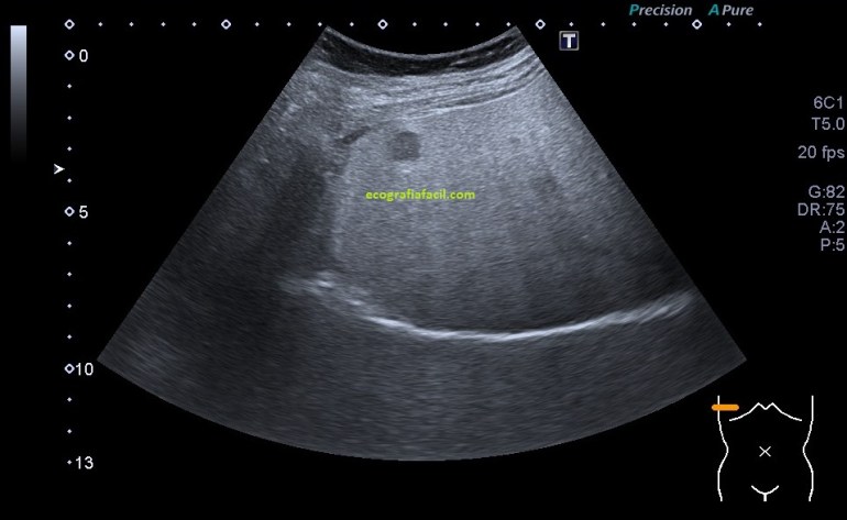
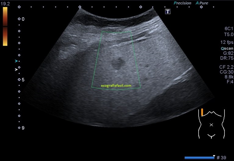
En las imágenes puedes ver una LOE hepática que es cumple muchos criterios de los que hemos señalado arriba, pero el de la semiología, que es de los más importantes, no lo cumple. Se habla de que la HNF es una lesión isoecogénica con el parénquima hepático, ésta LOE es evidentemente hipoecogénica.
La paciente cumplía el resto de los requisitos, la edad y contestó afirmativamente cuando fue preguntada si tomaba o había tomado anticonceptivos vía oral, pero la LOE, era hipoecogénica…
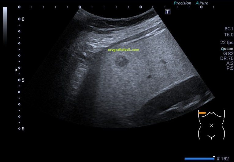
La LOE fue estudiada de manera protocolaria, haciendo medidas y aplicándose el Doppler, en este caso el modo angio o doppler power.
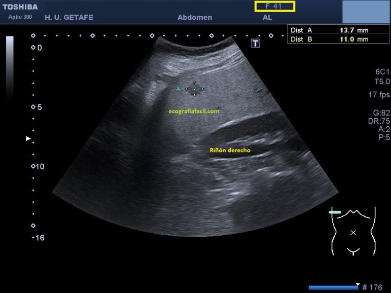
Finalmente la Radióloga informó la lesión como HNF aún siendo marcadamente hipoecogénica, si te fijas bien en las imágenes, sobre todo en la imagen 3, donde se observa el riñón derecho, verás que existe una marcada hiperecogenicidad hepática en relación con el riñón derecho, que como muy bien sabes, deben ser isoecogénicos.
La paciente por tanto padece una esteatosis hepática, la lesión es hipoecogénica con respecto al parénquima hepático infiltrado de grasa, pero isoecogénica con el patrón ecográfico de la corteza renal, donde quiero ir a parar es a que la LOE de HNF sería isoecogénica con el parénquima hepático si eventualmente, éste, estuviese sano, es decir, si no estuviese infiltrado de grasa.
Esta LOE podría ser estudiada a modo de ampliación de estudio con 2 técnicas, la Ecografía de Contraste y/o la RMN a criterio de la Radióloga. Te enlazo con Post donde puedes repasar el uso de este contraste en un nódulo hepático.
Si se estudiase con contraste ecográfico, la respuesta de esta lesión debiera ser:
REALCE COMPLETO HOMOGÉNEO (rueda de carro) en fase arterial + HIPER o ISO (lavado lento) en fase portal + ISO o HIPER en fase tardía, mayoritariamente isoecogénica.
No quiero acabar sin pedirte que cuando hagas una ecografía abdominal, a la hora de estudiar el lóbulo hepático derecho, pongamos al paciente en decúbito lateral izquierdo, esta lesión era tan excéntrica que sin haber movilizado a la paciente, hubiese sido imposible visualizarla, era además muy subcostal, de facto, parte del estudio se hace intercostal.
Estudia cada hallazgo de manera individual, pero que el árbol no te impida ver el bosque, siempre todo debe ser estudiado individual y globalmente…en este caso comparar con el riñón fue vital…
Son las 20:00, libro, es hora de aplaudir por quien se está dejando la piel…mañana, estaré en el frente.
Gracias por las enseñanzas. Entiendo mas y mejor y me siento mas seguro.
Me gustaMe gusta