Al lío:
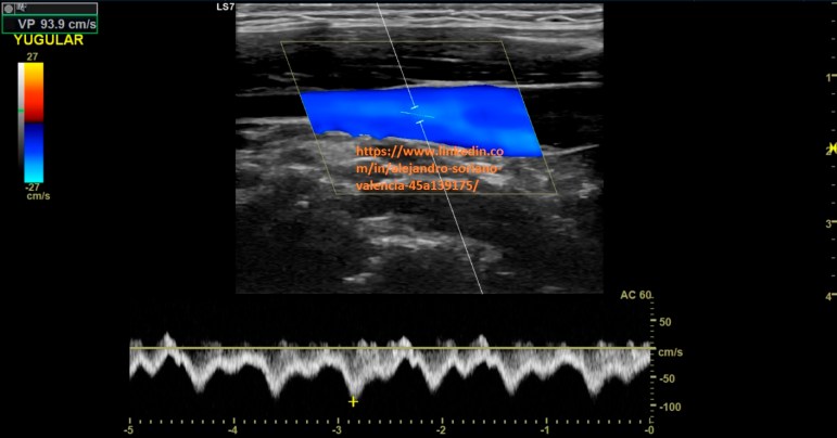
o Yugular interna.
Le pediremos al paciente que coloque el cuello en
hiperextensión para tener un buen acceso. La estudiaremos en su máximo
trayecto posible.
We will ask the patient to place the neck in hyperextension to have good access. We will study it in its maximum possible project.

1. Yugular interna transversal.

2. Yugular interna longitudinal. Estudio triplex.
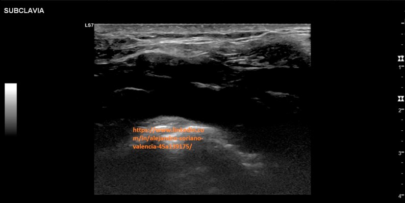
o Subclavia.
Generalmente su porción más proximal podremos estudiarla
de manera supraclavicular mientras que por su tercio medio y más distal,
Generally, its most proximal portion can be studied supraclavicularly, while its middle third and more distal
se hará infraclavicular. Es un vaso de muy difícil acceso, por lo no
seremos capaces de hacer cortes transversales y no podremos comprimir
adecuadamente.
Como vimos en el post nº 105 las venas tienen un patrón monofásico. Pues
bien, aquí tenemos dos excepciones, y es que, nos encontraremos con un
flujo pulsátil en las venas yugular interna y subclavia.
will become infraclavicular. It is a vessel with very difficult access, so we are not able to make transversal cuts and we will not be able to compress properly. As we saw in post no. 105, the veins have a monophasic pattern. Well, here we have two exceptions, and that is that, we will find a pulsating flow in the internal jugular and subclavian veins.

3. Subclavia longitudinal.

o Axilar.
Para esta vena el paciente tendrá que elevar y doblar el brazo para
colocar su mano detrás de la cabeza.
For this vein the patient will have to raise and bend the arm to place his hand behind the head.

5. Axilar transversal.

6. Axilar longitudinal. Estudio triplex.
o Braquiales.
Brazo extendido en posición anterior. Nos servirá de guía la
arteria braquial para identificar las dos venas adyacentes a ella.
Arm extended in anterior position. The brachial artery will guide us to identify the two veins adjacent to it.

7. Braquiales transversal.

8. Braquial longitudinal. Estudio triplex.
o Radiales.
Antebrazo extendido en posición anterior.
o Cubitales.
Antebrazo extendido en posición anterior.
Radials. Forearm extended in anterior position.
Cubitals. Forearm extended in anterior position


Tendremos gran dificultad en ver y estudiar las venas radiales y cubitales si no son
patológicas debido a su pequeño tamaño y que con la más mínima presión las
colapsaremos.
El truco está en seguir las correspondientes arterias. Junto a ellas encontraremos dichas
venas (un par por arteria).
Sigo buscando unas buenas gafas de aumento para facilitar la búsqueda de los vasos.
¿Alguien sabe de algún sitio donde estén a buen precio?
We will have great difficulty in seeing and studying the radial and ulnar veins if they are not pathological due to their small size and that with the slightest pressure we will beat them. The trick is to follow the corresponding arteries. Next to them we will find said arteries (one pair per artery). I am looking for good magnifying glasses to facilitate the search of the glasses. Does anyone know of any place where they are at a good price?