Hoy es Viernes y toca Post, de la mano de Alejandro, seguimos recorriendo este apasionante mundo del Doppler…
Doppler pulsado
Nos sirve para conocer la velocidad en un punto determinado del flujo que queremos estudiar.
Su ventaja es que nos permite seleccionar la profundidad y el tamaño del volumen de la muestra que queremos estudiar.
Los parámetros básicos que usaremos son:
- Volumen de la muestra: se situará en el centro del vaso y deberá tener un tamaño acorde a éste.
- Tendremos que tener un comando en la botonera o en el submenú digital que se denomine «muestra» y con él regular convenientemente el tamaño de ésta.
It helps us to know the speed at a certain point in the flow we want to study. Its advantage is that it allows us to select the depth and size of the volume of the sample that we want to study. The basic parameters that we will use are: Volume of the sample: it will be placed in the center of the glass and it will have to have a size according to it. We will have to have a command in the keypad or in the digital submenu that is called «sample» and with it conveniently regulate the size of this.



- Ángulo: la línea de la angulación debe quedar paralela a las paredes del vaso para obtener datos precisos.
- Disponemos un comando en la botonera o en el submenú digital que se denomine «Angle o Ángulo» y con él regular convenientemente el tamaño de ésta.
Angle: the line of the angulation must be parallel to the walls of the vessel to obtain accurate data. We have a command in the keypad or in the digital submenu that is called «Angle» and with it, conveniently regulate the size of it.



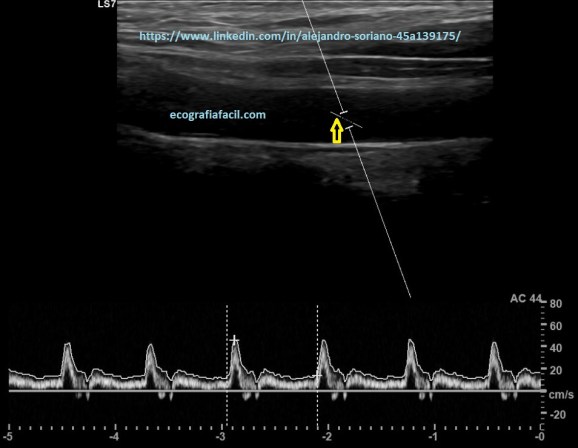
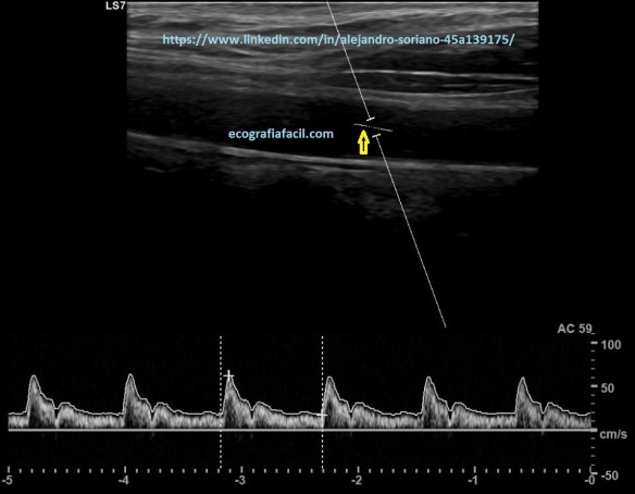
Como vemos en las tres imágenes con distintas angulaciones obtendremos un espectro bastante decente pero no en todos los casos obtendremos datos suficientemente fiables.
En la imagen 10 tenemos un ángulo inferior a 60º pero la línea de la angulación no es paralela.
En la imagen 11 hemos conseguido poner la línea paralela pero a cambio de una angulación superior a 60º; por tanto, tendremos que “jugar” con la angulación del vaso y la del propio Doppler para tener un ángulo inferior a 60º y que quede la línea paralela a la pared del vaso como tenemos en la imagen 12. Esto nos permitirá tener la tranquilidad de que los datos obtenidos serán más fiables.
As we see in the three images with different angulations we will obtain a good spectrum but not in all the cases we will obtain sufficiently reliable data. In the picture 10 we have an angle inferior to 60º but the line of the angulation is not parallel. In the image 11 we have managed to put the parallel line but in exchange for an angulation superior to 60º; therefore, we will have to «play» with the angulation of the vessel and that of the Doppler itself to have an angle less than 60º and that the line be parallel to the vessel wall as we have in image 12. This will allow us to have the tranquility of that the data obtained will be more reliable.
- Línea base: línea continua que aparece en el espectro. La modificaremos por tres motivos:
- Para medir adecuadamente el espectro.
- Para evitar “aliasing”.
- Para representar los flujos que se alejan y los que se acercan a la sonda. Los que se alejan aparecerán debajo de la línea base, mientras que los que se acercan por encima.
- En la botonera o menú encontraremos «línea base» para regular esta línea.
Baseline: continuous line that appears in the spectrum. We will modify it for three reasons: To properly measure the spectrum. To avoid «aliasing.» To represent the flows that move away and those that approach the probe. Those that move away will appear below the baseline, while those that are approaching above. In the keypad or menu we will find «baseline» to regulate this line.




- Frecuencia de repetición de pulsos o escala de velocidades: la ajustaremos a las velocidades del estudio.
- Con un rango de velocidades altas tendremos un espectro demasiado pequeño, lo que nos dificultará su evaluación; un rango demasiado bajo producirá “aliasing”.
- El comando que buscaremos será el de la «escala»
Frequency of repetition of pulses or scale of speeds: we will adjust it to the speeds of the study. With a range of high speeds we will have a spectrum that is too small, which will make it difficult for us to evaluate it; a too low range will produce «aliasing». The command that we will look for will be the «scale»




Junto a la imagen 2D podemos usar al mismo tiempo el Doppler color y pulsado (modo triplex) pero no es recomendable ya que el equipo utilizará demasiados recursos y los datos obtenidos no serán tan fiables.
Along with the 2D image we can use the color and pulsed Doppler at the same time (triplex mode) but it is not recommended, the equipment will use too many resources and the data obtained will not be reliable.
muybien explicado. te felicito. Gracias
Me gustaMe gusta
Alejandro Soriano Valencia es el autor. Le extiendo su felicitación.
Me gustaMe gusta