Iatrogenia: Un caso clínico que ilustra en ecografía los efectos adversos no intencionados de un tratamiento
En el ámbito médico, la iatrogenia se refiere a los efectos adversos no deseados que resultan de un tratamiento médico o procedimiento.
Estos efectos pueden ser consecuencia de una intervención necesaria, pero aún así afectan negativamente al paciente. Un ejemplo interesante de iatrogenia puede observarse en el siguiente caso clínico:
Caso Clínico y Semiología
Una paciente, previamente sana, fue vacunada como parte de un esquema de inmunización de rutina. Sin embargo, a los pocos días de la inyección comenzó a experimentar dolor focal en la zona de la inoculación, acompañado de picor e inflamación que se mantuvieron por un periodo prolongado de más de 12 meses. A lo largo de este tiempo, la paciente consultó con diversos especialistas debido a la persistencia de los síntomas.

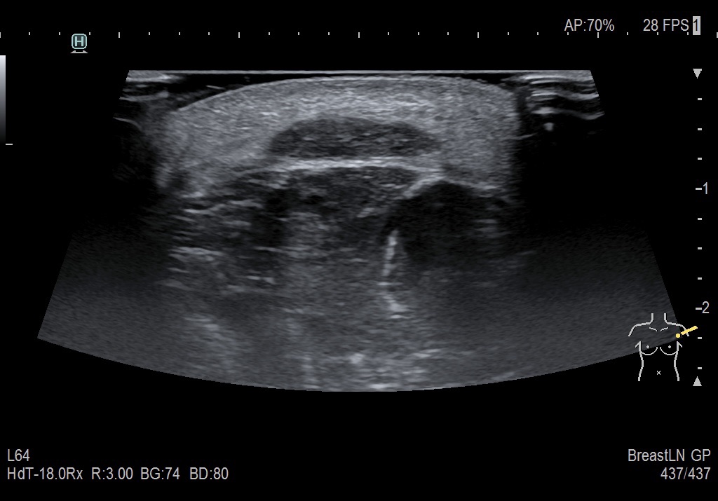
Finalmente, se le realizó una ecografía de la zona afectada, donde se observó una imagen ovalada, hipoecoica, sin signos de vascularidad. Inicialmente, esta imagen fue interpretada como un lipoma, dada su forma y apariencia. Sin embargo, tras revisar detalladamente la historia clínica de la paciente y conocer que el inicio de los síntomas ocurrió después de la vacunación, el radiólogo concluyó que era probable que este hallazgo se tratara de un efecto adverso causado por la inoculación de la vacuna.
Siempre debemos informarnos y realizar la técnica con la máxima información posible respecto de la causa que provoca la petición de la misma.
